Rabbit anti-Human RPF2 Polyclonal Antibody | anti-RPF2 antibody
RPF2 Polyclonal Antibody
Gene Names
RPF2; BXDC1; bA397G5.4
Reactivity
Human
Applications
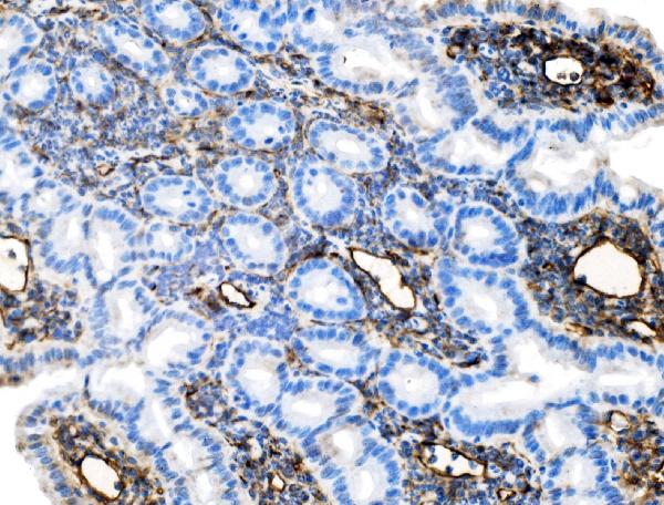
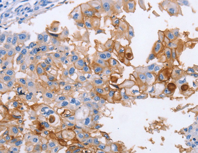
ELISA, Immunohistochemistry, Western Blot
Purity
Antigen Affinity Purification
Synonyms
RPF2, Antibody; RPF2 Polyclonal Antibody; bA397G5.4; Brix domain containing 1; Brix domain containing protein 1; Brix domain-containing protein 1; BXDC1; Homolog of Rpf2; Ribosomal processing factor 2 homolog; Ribosome biogenesis protein RPF2 homolog; Ribosome production factor 2 homolog (S. cerevisiae); Ribosome production factor 2 homolog; RPF2; anti-RPF2 antibody
Host
Rabbit
Reactivity
Human
Clonality
Polyclonal
Isotype
IgG
Purity/Purification
Antigen Affinity Purification
Form/Format
PBS with 0.05% NaN3 and 40% Glycerol, pH7.4
Concentration
0.8mg/mL (varies by lot)
Sequence Length
306
Applicable Applications for anti-RPF2 antibody
ELISA, IHC (Immunohistochemistry), WB (Western Blot)
Immunogen
Synthetic peptide of human RPF2
Conjugation
Unconjugated
Preparation and Storage
Store at -20 degree C. Avoid freeze/thaw cycles.
Related Product Information for anti-RPF2 antibody
BXDC1 (Brix domain-containing protein 1) is a 306 amino acid protein encoded by the human gene BXDC1. BXDC1 is a nuclear protein that contains one Brix domain. Brix domain containing proteins represent a family of proteins involved in the biogenesis of large ribosomal subunits. The Brix domain is a region with homology to the yeast protein Pitx1 (Ribosome biogenesis protein BRX1). Pitx1 is part of a complex that includes RPF1, RPF2 and SSF1 or SSF2. This complex is required for the biogenesis of the 60S ribosomal subunit.
Product Categories/Family for anti-RPF2 antibody
NCBI and Uniprot Product Information
NCBI GI #
NCBI GeneID
NCBI Accession #
NCBI GenBank Nucleotide #
UniProt Accession #
Molecular Weight
36 kDa
NCBI Official Full Name
ribosome production factor 2 homolog isoform 1
NCBI Official Synonym Full Names
ribosome production factor 2 homolog
NCBI Official Symbol
RPF2
NCBI Official Synonym Symbols
BXDC1; bA397G5.4
NCBI Protein Information
ribosome production factor 2 homolog
UniProt Protein Name
Ribosome production factor 2 homolog
UniProt Gene Name
RPF2
UniProt Synonym Gene Names
BXDC1
UniProt Entry Name
RPF2_HUMAN
Customer Reviews
Loading reviews...
Share Your Experience
Similar Products
Product Notes
The RPF2 rpf2 (Catalog #AAA176952) is an Antibody produced from Rabbit and is intended for research purposes only. The product is available for immediate purchase. The RPF2 Polyclonal Antibody reacts with Human and may cross-react with other species as described in the data sheet. AAA Biotech's RPF2 can be used in a range of immunoassay formats including, but not limited to, ELISA, IHC (Immunohistochemistry), WB (Western Blot). Researchers should empirically determine the suitability of the RPF2 rpf2 for an application not listed in the data sheet. Researchers commonly develop new applications and it is an integral, important part of the investigative research process. It is sometimes possible for the material contained within the vial of "RPF2, Polyclonal Antibody" to become dispersed throughout the inside of the vial, particularly around the seal of said vial, during shipment and storage. We always suggest centrifuging these vials to consolidate all of the liquid away from the lid and to the bottom of the vial prior to opening. Please be advised that certain products may require dry ice for shipping and that, if this is the case, an additional dry ice fee may also be required.Precautions
All products in the AAA Biotech catalog are strictly for research-use only, and are absolutely not suitable for use in any sort of medical, therapeutic, prophylactic, in-vivo, or diagnostic capacity. By purchasing a product from AAA Biotech, you are explicitly certifying that said products will be properly tested and used in line with industry standard. AAA Biotech and its authorized distribution partners reserve the right to refuse to fulfill any order if we have any indication that a purchaser may be intending to use a product outside of our accepted criteria.Disclaimer
Though we do strive to guarantee the information represented in this datasheet, AAA Biotech cannot be held responsible for any oversights or imprecisions. AAA Biotech reserves the right to adjust any aspect of this datasheet at any time and without notice. It is the responsibility of the customer to inform AAA Biotech of any product performance issues observed or experienced within 30 days of receipt of said product. To see additional details on this or any of our other policies, please see our Terms & Conditions page.Item has been added to Shopping Cart
If you are ready to order, navigate to Shopping Cart and get ready to checkout.
