Rabbit anti-Human RPL26L1 Polyclonal Antibody | anti-RPL26L1 antibody
RPL26L1 Antibody
Gene Names
RPL26L1; RPL26P1
Reactivity
Human
Applications
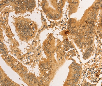
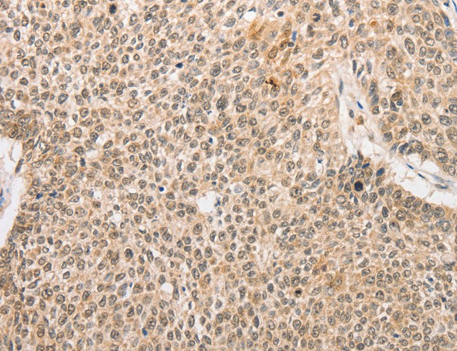
Immunohistochemistry
Purity
Antigen affinity purification.
Synonyms
RPL26L1, Antibody; RPL26L1 Antibody; RPL26P1; anti-RPL26L1 antibody
Host
Rabbit
Reactivity
Human
Clonality
Polyclonal
Specificity
The antibody detects endogenous levels of total RPL26L1 protein.
Purity/Purification
Antigen affinity purification.
Form/Format
Rabbit IgG in pH7.3 PBS, 0.05% NaN3, 50% Glycerol.
Concentration
1.2 mg/ml (varies by lot)
Sequence Length
145
Applicable Applications for anti-RPL26L1 antibody
IHC (Immunohistochemistry)
Immunogen Type
Recombinant Protein
Immunogen Description
Full length fusion protein
Target Name
RPL26L1
Preparation and Storage
Store at -20 degree C
Related Product Information for anti-RPL26L1 antibody
This gene encodes a protein that shares high sequence similarity with ribosomal protein L26. It is not currently known whether the encoded protein is a functional ribosomal protein or whether it has evolved a function that is independent of the ribosome. Transcript variants utilizing alternative polyA signals exist.
Product Categories/Family for anti-RPL26L1 antibody
NCBI and Uniprot Product Information
NCBI GI #
NCBI GeneID
NCBI Accession #
NCBI GenBank Nucleotide #
Molecular Weight
17,256 Da
NCBI Official Full Name
60S ribosomal protein L26-like 1
NCBI Official Synonym Full Names
ribosomal protein L26-like 1
NCBI Official Symbol
RPL26L1
NCBI Official Synonym Symbols
RPL26P1
NCBI Protein Information
60S ribosomal protein L26-like 1
UniProt Protein Name
60S ribosomal protein L26-like 1
UniProt Gene Name
RPL26L1
UniProt Synonym Gene Names
RPL26P1
UniProt Entry Name
RL26L_HUMAN
Customer Reviews
Loading reviews...
Share Your Experience
Similar Products
Product Notes
The RPL26L1 rpl26l1 (Catalog #AAA307064) is an Antibody produced from Rabbit and is intended for research purposes only. The product is available for immediate purchase. The RPL26L1 Antibody reacts with Human and may cross-react with other species as described in the data sheet. AAA Biotech's RPL26L1 can be used in a range of immunoassay formats including, but not limited to, IHC (Immunohistochemistry). Researchers should empirically determine the suitability of the RPL26L1 rpl26l1 for an application not listed in the data sheet. Researchers commonly develop new applications and it is an integral, important part of the investigative research process. It is sometimes possible for the material contained within the vial of "RPL26L1, Polyclonal Antibody" to become dispersed throughout the inside of the vial, particularly around the seal of said vial, during shipment and storage. We always suggest centrifuging these vials to consolidate all of the liquid away from the lid and to the bottom of the vial prior to opening. Please be advised that certain products may require dry ice for shipping and that, if this is the case, an additional dry ice fee may also be required.Precautions
All products in the AAA Biotech catalog are strictly for research-use only, and are absolutely not suitable for use in any sort of medical, therapeutic, prophylactic, in-vivo, or diagnostic capacity. By purchasing a product from AAA Biotech, you are explicitly certifying that said products will be properly tested and used in line with industry standard. AAA Biotech and its authorized distribution partners reserve the right to refuse to fulfill any order if we have any indication that a purchaser may be intending to use a product outside of our accepted criteria.Disclaimer
Though we do strive to guarantee the information represented in this datasheet, AAA Biotech cannot be held responsible for any oversights or imprecisions. AAA Biotech reserves the right to adjust any aspect of this datasheet at any time and without notice. It is the responsibility of the customer to inform AAA Biotech of any product performance issues observed or experienced within 30 days of receipt of said product. To see additional details on this or any of our other policies, please see our Terms & Conditions page.Item has been added to Shopping Cart
If you are ready to order, navigate to Shopping Cart and get ready to checkout.
