Host
Rabbit
Reactivity
Human, Rat
Clonality
Polyclonal
Specificity
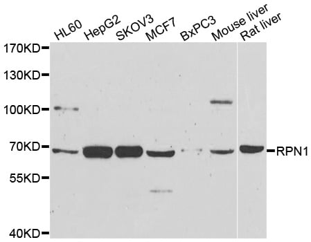
The antibody detects endogenous level of total RPN1 antibody.
Purity/Purification
Affinity Purification
Form/Format
PBS with 0.2% sodium azide, 50% glycerol, pH 7.3
Concentration
0.3 mg/ml (varies by lot)
Sequence Length
607
Applicable Applications for anti-RPN1 antibody
WB (Western Blot)
Immunogen Type
Recombinant Protein
Immunogen Description
Recombinant protein of human RPN1. (NP_002941.1)
Target Name
RPN1
Preparation and Storage
Store at -20 degree C. Avoid freeze/thaw cycles
Related Product Information for anti-RPN1 antibody
This gene encodes a type I integral membrane protein found only in the rough endoplasmic reticulum. The encoded protein is part of an N-oligosaccharyl transferase complex that links high mannose oligosaccharides to asparagine residues found in the Asn-X-Ser/Thr consensus motif of nascent polypeptide chains. This protein forms part of the regulatory subunit of the 26S proteasome and may mediate binding of ubiquitin-like domains to this proteasome.
Product Categories/Family for anti-RPN1 antibody
NCBI and Uniprot Product Information
NCBI GI #
NCBI GeneID
NCBI Accession #
NCBI GenBank Nucleotide #
Molecular Weight
SDS-PAGE MW: 68 kDa
NCBI Official Full Name
dolichyl-diphosphooligosaccharide--protein glycosyltransferase subunit 1
NCBI Official Synonym Full Names
ribophorin I
NCBI Official Symbol
RPN1
NCBI Official Synonym Symbols
OST1; RBPH1
NCBI Protein Information
dolichyl-diphosphooligosaccharide--protein glycosyltransferase subunit 1
UniProt Protein Name
Dolichyl-diphosphooligosaccharide--protein glycosyltransferase subunit 1
UniProt Gene Name
RPN1
UniProt Synonym Gene Names
RPN-I
UniProt Entry Name
RPN1_HUMAN
Customer Reviews
Loading reviews...
Share Your Experience
Similar Products
Product Notes
The RPN1 rpn1 (Catalog #AAA305936) is an Antibody produced from Rabbit and is intended for research purposes only. The product is available for immediate purchase. The RPN1 antibody reacts with Human, Rat and may cross-react with other species as described in the data sheet. AAA Biotech's RPN1 can be used in a range of immunoassay formats including, but not limited to, WB (Western Blot). Researchers should empirically determine the suitability of the RPN1 rpn1 for an application not listed in the data sheet. Researchers commonly develop new applications and it is an integral, important part of the investigative research process. It is sometimes possible for the material contained within the vial of "RPN1, Polyclonal Antibody" to become dispersed throughout the inside of the vial, particularly around the seal of said vial, during shipment and storage. We always suggest centrifuging these vials to consolidate all of the liquid away from the lid and to the bottom of the vial prior to opening. Please be advised that certain products may require dry ice for shipping and that, if this is the case, an additional dry ice fee may also be required.Precautions
All products in the AAA Biotech catalog are strictly for research-use only, and are absolutely not suitable for use in any sort of medical, therapeutic, prophylactic, in-vivo, or diagnostic capacity. By purchasing a product from AAA Biotech, you are explicitly certifying that said products will be properly tested and used in line with industry standard. AAA Biotech and its authorized distribution partners reserve the right to refuse to fulfill any order if we have any indication that a purchaser may be intending to use a product outside of our accepted criteria.Disclaimer
Though we do strive to guarantee the information represented in this datasheet, AAA Biotech cannot be held responsible for any oversights or imprecisions. AAA Biotech reserves the right to adjust any aspect of this datasheet at any time and without notice. It is the responsibility of the customer to inform AAA Biotech of any product performance issues observed or experienced within 30 days of receipt of said product. To see additional details on this or any of our other policies, please see our Terms & Conditions page.Item has been added to Shopping Cart
If you are ready to order, navigate to Shopping Cart and get ready to checkout.
