Rabbit RPS9 Polyclonal Antibody | anti-RPS9 antibody
RPS9 antibody - N-terminal region
WB (Western Blot)
(WB Suggested Anti-RPS9 AntibodyTitration: 1.0 ug/mlPositive Control: Hela Whole CellRPS9 is supported by BioGPS gene expression data to be expressed in HeLa)
WB (Western Blot)
(Host: RabbitTarget Name: RPS9Sample Type: Human MCF7Antibody Dilution: 1.0ug/mlRPS9 is supported by BioGPS gene expression data to be expressed in MCF7)
WB (Western Blot)
(Host: RabbitTarget Name: RPS9Sample Type: Human 721_BAntibody Dilution: 1.0ug/mlRPS9 is strongly supported by BioGPS gene expression data to be expressed in Human 721_B cells)
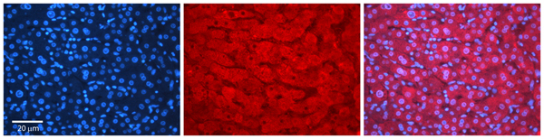
IHC (Immunohiostchemistry)
(Rabbit Anti-RPS9 antibodyFormalin Fixed Paraffin Embedded Tissue: Human Adult LiverObserved Staining: Cytoplasm in hepatocytesPrimary Antibody Concentration: 1:600Secondary Antibody: Donkey anti-Rabbit-Cy3Secondary Antibody Concentration: 1:200Magnification: 20XExposure Time: 0.5 - 2.0 sec)
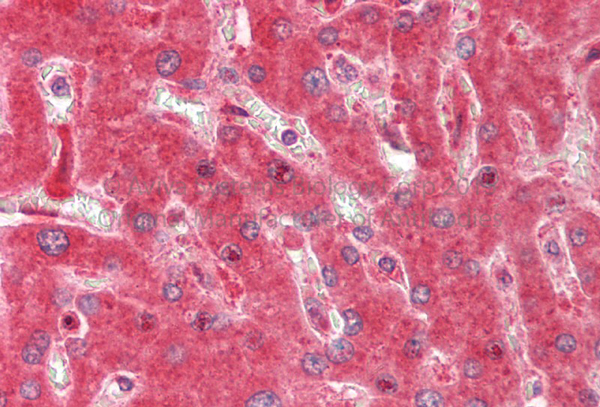
IHC (Immunohistochemistry)
(Rabbit Anti-RPS9 AntibodyFormalin Fixed Paraffin Embedded Tissue: Human Adult LiverObserved Staining: Cytoplasm in hepatocytes, strong signal, very wide tissue distributionPrimary Antibody Concentration: 1:100Secondary Antibody: Donkey anti-Rabbit-Cy3Secondary Antibody Concentration: 1:200Magnification: 20XExposure Time: 0.5 - 2.0 secProtocol located in Reviews and Data.)
Target Description: Ribosomes, the organelles that catalyze protein synthesis, consist of a small 40S subunit and a large 60S subunit. Together these subunits are composed of 4 RNA species and approximately 80 structurally distinct proteins. This gene encodes a ribosomal protein that is a component of the 40S subunit. The protein belongs to the S4P family of ribosomal proteins. It is located in the cytoplasm. Variable expression of this gene in colorectal cancers compared to adjacent normal tissues has been observed, although no correlation between the level of expression and the severity of the disease has been found. As is typical for genes encoding ribosomal proteins, multiple processed pseudogenes derived from this gene are dispersed through the genome.
NCBI and Uniprot Product Information
Customer Reviews
Loading reviews...
Share Your Experience
Similar Products
Product Notes
The RPS9 rps9 (Catalog #AAA201114) is an Antibody produced from Rabbit and is intended for research purposes only. The product is available for immediate purchase. The RPS9 antibody - N-terminal region reacts with Cow, Dog, Guinea Pig, Horse, Human, Mouse, Rabbit, Rat, Yeast, Zebrafish and may cross-react with other species as described in the data sheet. AAA Biotech's RPS9 can be used in a range of immunoassay formats including, but not limited to, WB (Western Blot), IHC (Immunohistochemistry). Researchers should empirically determine the suitability of the RPS9 rps9 for an application not listed in the data sheet. Researchers commonly develop new applications and it is an integral, important part of the investigative research process. The amino acid sequence is listed below: Synthetic peptide located within the following region: REVWRVKFTL AKIRKAAREL LTLDEKDPRR LFEGNALLRR LVRIGVLDEG. It is sometimes possible for the material contained within the vial of "RPS9, Polyclonal Antibody" to become dispersed throughout the inside of the vial, particularly around the seal of said vial, during shipment and storage. We always suggest centrifuging these vials to consolidate all of the liquid away from the lid and to the bottom of the vial prior to opening. Please be advised that certain products may require dry ice for shipping and that, if this is the case, an additional dry ice fee may also be required.Precautions
All products in the AAA Biotech catalog are strictly for research-use only, and are absolutely not suitable for use in any sort of medical, therapeutic, prophylactic, in-vivo, or diagnostic capacity. By purchasing a product from AAA Biotech, you are explicitly certifying that said products will be properly tested and used in line with industry standard. AAA Biotech and its authorized distribution partners reserve the right to refuse to fulfill any order if we have any indication that a purchaser may be intending to use a product outside of our accepted criteria.Disclaimer
Though we do strive to guarantee the information represented in this datasheet, AAA Biotech cannot be held responsible for any oversights or imprecisions. AAA Biotech reserves the right to adjust any aspect of this datasheet at any time and without notice. It is the responsibility of the customer to inform AAA Biotech of any product performance issues observed or experienced within 30 days of receipt of said product. To see additional details on this or any of our other policies, please see our Terms & Conditions page.Item has been added to Shopping Cart
If you are ready to order, navigate to Shopping Cart and get ready to checkout.
