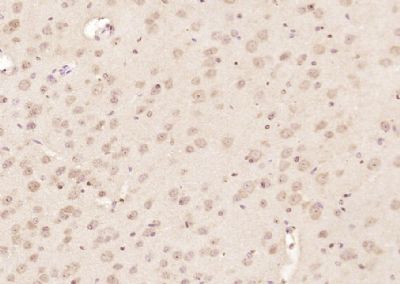
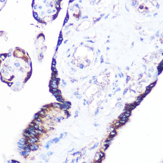
Rabbit RRAGA/B Polyclonal Antibody | anti-RRAGA antibody
RRAGA/B Antibody
Phosphate buffered saline, pH 7.4, 150mM NaCl, 0.02% sodium azide and 50% glycerol.
IF (Immunofluorescence)
(AAA325045 staining HepG2 cells by IF/ICC. The sample were fixed with PFA and permeabilized in 0.1% Triton X-100, then blocked in 10% serum for 45 minutes at 25 degree C. The primary antibody was diluted at 1/200 and incubated with the sample for 1 hour at 37 degree C. An Alexa Fluor 594 conjugated goat anti-rabbit IgG (H+L) antibody, diluted at 1/600, was used as secondary antibody.)
Subunit Structure: Can occur as a homodimer or as a heterodimer with RRAGC or RRAGD in a sequence-independent manner; heterodimerization stabilizes proteins of the heterodimer (PubMed:11073942, PubMed:20381137). In complex with RRAGC, but not with RRAGB, interacts with RPTOR (PubMed:18497260). The GTP-bound form of RRAGA interacts with NOL8 (PubMed:14660641). Interacts with SH3BP4; the interaction with this negative regulator is most probably direct, preferentially occurs with the inactive GDP-bound form of RRAGA and is negatively regulated by amino acids (PubMed:22575674). The Rag heterodimer interacts with SLC38A9; the probable amino acid sensor (PubMed:25561175, PubMed:25567906). Interacts (inactive GDP-bound form) with RNF152; stimulated by amino acid starvation (PubMed:25936802). Interacts (polyubiquitinated) with the GATOR1 complex; inactivates RRAGA (PubMed:25936802). Interacts (polyubiquitinated) with TSC2 (PubMed:25936802). Interacts with adenovirus E3 14.7 kDa protein (PubMed:8995684). Interacts with SESN1, SESN2 AND SESN3 (PubMed:25259925).
Post-translational Modifications: Ubiquitinated. 'Lys-68'-linked polyubiquitination of the GDP-bound inactive form of RRAGA by RNF152 is increased in response to amino acid starvation. Polyubiquitination promotes interaction with the GATOR1 complex. This does not affect RRAGA degradation.
Similarity: Belongs to the GTR/RAG GTP-binding protein family.
NCBI and Uniprot Product Information
Predicted: 37 kDa
Customer Reviews
Loading reviews...
Share Your Experience
Similar Products
Product Notes
The RRAGA rraga (Catalog #AAA325045) is an Antibody produced from Rabbit and is intended for research purposes only. The product is available for immediate purchase. The RRAGA/B Antibody reacts with Human, Mouse, Rat and may cross-react with other species as described in the data sheet. AAA Biotech's RRAGA/B can be used in a range of immunoassay formats including, but not limited to, ELISA, ICC (Immunocytochemistry), IF (Immunofluorescence), WB (Western Blot). Researchers should empirically determine the suitability of the RRAGA rraga for an application not listed in the data sheet. Researchers commonly develop new applications and it is an integral, important part of the investigative research process. It is sometimes possible for the material contained within the vial of "RRAGA/B, Polyclonal Antibody" to become dispersed throughout the inside of the vial, particularly around the seal of said vial, during shipment and storage. We always suggest centrifuging these vials to consolidate all of the liquid away from the lid and to the bottom of the vial prior to opening. Please be advised that certain products may require dry ice for shipping and that, if this is the case, an additional dry ice fee may also be required.Precautions
All products in the AAA Biotech catalog are strictly for research-use only, and are absolutely not suitable for use in any sort of medical, therapeutic, prophylactic, in-vivo, or diagnostic capacity. By purchasing a product from AAA Biotech, you are explicitly certifying that said products will be properly tested and used in line with industry standard. AAA Biotech and its authorized distribution partners reserve the right to refuse to fulfill any order if we have any indication that a purchaser may be intending to use a product outside of our accepted criteria.Disclaimer
Though we do strive to guarantee the information represented in this datasheet, AAA Biotech cannot be held responsible for any oversights or imprecisions. AAA Biotech reserves the right to adjust any aspect of this datasheet at any time and without notice. It is the responsibility of the customer to inform AAA Biotech of any product performance issues observed or experienced within 30 days of receipt of said product. To see additional details on this or any of our other policies, please see our Terms & Conditions page.Item has been added to Shopping Cart
If you are ready to order, navigate to Shopping Cart and get ready to checkout.
