Rabbit RYR2 Polyclonal Antibody | anti-RYR2 antibody
RYR2 Antibody
Phosphate buffered saline, pH 7.4, 150mM NaCl, 0.02% sodium azide and 50% glycerol.
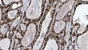
IHC (Immunohiostchemistry)
(AAA320726 at 1/100 staining Human thyroid cancer tissue by IHC-P. The sample was formaldehyde fixed and a heat mediated antigen retrieval step in citrate buffer was performed. The sample was then blocked and incubated with the antibody for 1.5 hours at 22 degree C. An HRP conjugated goat anti-rabbit antibody was used as the secondary.)
WB (Western Blot)
(Western blot analysis of extracts from mouse skeletal muscle, using RYR2 Antibody. The lane on the left was treated with blocking peptide.)
Subunit Structure: Homotetramer. Can also form heterotetramers with RYR1 and RYR3 (By similarity). Interacts with FKBP1A and FKBP1B; these interactions may stabilize the channel in its closed state and prevent Ca2+ leaks. Interacts with CALM and S100A1; these interactions regulate channel activity. Identified in a complex composed of RYR2, FKBP1B, PKA catalytic subunit, PRKAR2A, AKAP6, and the protein phosphatases PP2A and PP1. Interacts directly with FKBP1B, PKA, PP1 and PP2A. Interacts with SELENON (By similarity).
Post-translational Modifications: Channel activity is modulated by phosphorylation. Phosphorylation at Ser-2808 and Ser-2814 increases the open probability of the calcium channel. Phosphorylation is increased in failing heart, leading to calcium leaks and increased cytoplasmic Ca2+ levels. Phosphorylation at Ser-2031 by PKA enhances the response to lumenal calcium.
Similarity: The calcium release channel activity resides in the C-terminal region while the remaining part of the protein resides in the cytoplasm. Belongs to the ryanodine receptor (TC 1.A.3.1) family. RYR2 subfamily.
NCBI and Uniprot Product Information
Customer Reviews
Loading reviews...
Share Your Experience
Similar Products
Product Notes
The RYR2 ryr2 (Catalog #AAA320726) is an Antibody produced from Rabbit and is intended for research purposes only. The product is available for immediate purchase. The RYR2 Antibody reacts with Human, Mouse, Rat and may cross-react with other species as described in the data sheet. AAA Biotech's RYR2 can be used in a range of immunoassay formats including, but not limited to, IHC (Immunohistochemistry), WB (Western Blot). Researchers should empirically determine the suitability of the RYR2 ryr2 for an application not listed in the data sheet. Researchers commonly develop new applications and it is an integral, important part of the investigative research process. It is sometimes possible for the material contained within the vial of "RYR2, Polyclonal Antibody" to become dispersed throughout the inside of the vial, particularly around the seal of said vial, during shipment and storage. We always suggest centrifuging these vials to consolidate all of the liquid away from the lid and to the bottom of the vial prior to opening. Please be advised that certain products may require dry ice for shipping and that, if this is the case, an additional dry ice fee may also be required.Precautions
All products in the AAA Biotech catalog are strictly for research-use only, and are absolutely not suitable for use in any sort of medical, therapeutic, prophylactic, in-vivo, or diagnostic capacity. By purchasing a product from AAA Biotech, you are explicitly certifying that said products will be properly tested and used in line with industry standard. AAA Biotech and its authorized distribution partners reserve the right to refuse to fulfill any order if we have any indication that a purchaser may be intending to use a product outside of our accepted criteria.Disclaimer
Though we do strive to guarantee the information represented in this datasheet, AAA Biotech cannot be held responsible for any oversights or imprecisions. AAA Biotech reserves the right to adjust any aspect of this datasheet at any time and without notice. It is the responsibility of the customer to inform AAA Biotech of any product performance issues observed or experienced within 30 days of receipt of said product. To see additional details on this or any of our other policies, please see our Terms & Conditions page.Item has been added to Shopping Cart
If you are ready to order, navigate to Shopping Cart and get ready to checkout.
