Rabbit anti-Human, Mouse S100 Calcium Binding Protein A4 (S100A4) Polyclonal Antibody | anti-S100A4 antibody
Polyclonal Antibody to S100 Calcium Binding Protein A4 (S100A4)
Gene Names
S100A4; 42A; 18A2; CAPL; FSP1; MTS1; P9KA; PEL98
Reactivity
Human, Mouse
Applications
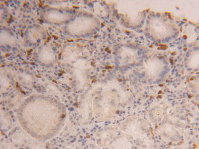
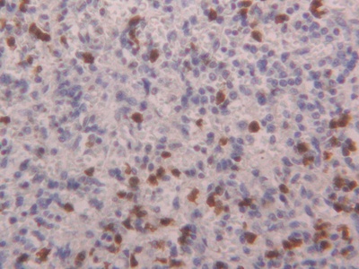
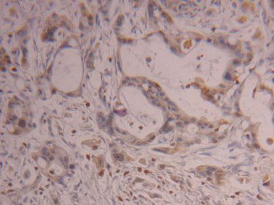
Western Blot, ELISA, Immunohistochemistry, Immunocytochemistry
Purity
Affinity Chromatography
Synonyms
S100 Calcium Binding Protein A4 (S100A4), Antibody; Polyclonal Antibody to S100 Calcium Binding Protein A4 (S100A4); anti-S100A4 antibody
Host
Rabbit
Reactivity
Human, Mouse
Clonality
Polyclonal
Specificity
The antibody is a rabbit polyclonal antibody raised against S100A4. It has been selected for its ability to recognize S100A4 in immunohistochemical staining andwestern blotting.
Purity/Purification
Affinity Chromatography
Form/Format
Supplied as solution form in PBS, pH7.4, containing 0.02% NaN3,50% glycerol.
Concentration
500ug/mL (varies by lot)
Sequence
Antigen: The target protein is fused with a His-tag and its sequence is listed below.
MGHHHHHHSGS-ACPLEKALD VMVSTFHKYS GKEGDKFKLN KSELKELLTR ELPSFLGKRT DEAAFQKLMS NLDSNRDNEV DFQEYCVFLS CIAMMCNEFF EGFPDKQPRK K
MGHHHHHHSGS-ACPLEKALD VMVSTFHKYS GKEGDKFKLN KSELKELLTR ELPSFLGKRT DEAAFQKLMS NLDSNRDNEV DFQEYCVFLS CIAMMCNEFF EGFPDKQPRK K
Sequence Length
101
Applicable Applications for anti-S100A4 antibody
WB (Western Blot), ELISA, IHC (Immunohistochemistry), ICC (Immunocytochemistry)
Immunogen
Recombinant S100A4 (Ala2~Lys101) expressed in E.coli.
Cross Reactivity
Human, Mouse
Conjugated Antibody
The APC conjugated antibody version of this item is also available as
Preparation and Storage
Store at 4 degree C for frequent use. Stored at -20 degree C to -80 degree C in a manual defrost freezer for one year without detectable loss of activity. Avoid repeated freeze-thaw cycles.
NCBI and Uniprot Product Information
NCBI GI #
NCBI GeneID
NCBI Accession #
NCBI GenBank Nucleotide #
Molecular Weight
11,729 Da
NCBI Official Full Name
protein S100-A4
NCBI Official Synonym Full Names
S100 calcium binding protein A4
NCBI Official Symbol
S100A4
NCBI Official Synonym Symbols
42A; 18A2; CAPL; FSP1; MTS1; P9KA; PEL98
NCBI Protein Information
protein S100-A4
UniProt Protein Name
Protein S100-A4
UniProt Gene Name
S100A4
UniProt Synonym Gene Names
CAPL; MTS1
Customer Reviews
Loading reviews...
Share Your Experience
Similar Products
Product Notes
The S100A4 s100a4 (Catalog #AAA132501) is an Antibody produced from Rabbit and is intended for research purposes only. The product is available for immediate purchase. The Polyclonal Antibody to S100 Calcium Binding Protein A4 (S100A4) reacts with Human, Mouse and may cross-react with other species as described in the data sheet. AAA Biotech's S100 Calcium Binding Protein A4 (S100A4) can be used in a range of immunoassay formats including, but not limited to, WB (Western Blot), ELISA, IHC (Immunohistochemistry), ICC (Immunocytochemistry). Researchers should empirically determine the suitability of the S100A4 s100a4 for an application not listed in the data sheet. Researchers commonly develop new applications and it is an integral, important part of the investigative research process. The amino acid sequence is listed below: Antigen: The target protein is fused with a His-tag and its sequence is listed below. MGHHHHHHSG S-ACPLEKAL D VMVSTFHKYS GKEGDKFKLN KSELKELLTR ELPSFLGKRT DEAAFQKLMS NLDSNRDNEV DFQEYCVFLS CIAMMCNEFF EGFPDKQPRK K. It is sometimes possible for the material contained within the vial of "S100 Calcium Binding Protein A4 (S100A4), Polyclonal Antibody" to become dispersed throughout the inside of the vial, particularly around the seal of said vial, during shipment and storage. We always suggest centrifuging these vials to consolidate all of the liquid away from the lid and to the bottom of the vial prior to opening. Please be advised that certain products may require dry ice for shipping and that, if this is the case, an additional dry ice fee may also be required.Precautions
All products in the AAA Biotech catalog are strictly for research-use only, and are absolutely not suitable for use in any sort of medical, therapeutic, prophylactic, in-vivo, or diagnostic capacity. By purchasing a product from AAA Biotech, you are explicitly certifying that said products will be properly tested and used in line with industry standard. AAA Biotech and its authorized distribution partners reserve the right to refuse to fulfill any order if we have any indication that a purchaser may be intending to use a product outside of our accepted criteria.Disclaimer
Though we do strive to guarantee the information represented in this datasheet, AAA Biotech cannot be held responsible for any oversights or imprecisions. AAA Biotech reserves the right to adjust any aspect of this datasheet at any time and without notice. It is the responsibility of the customer to inform AAA Biotech of any product performance issues observed or experienced within 30 days of receipt of said product. To see additional details on this or any of our other policies, please see our Terms & Conditions page.Item has been added to Shopping Cart
If you are ready to order, navigate to Shopping Cart and get ready to checkout.
