Rabbit anti-Mouse, Rat S100 Calcium Binding Protein B (S100B) Polyclonal Antibody | anti-S100B antibody
Polyclonal Antibody to S100 Calcium Binding Protein B (S100B)
Gene Names
S100b; Bpb; AI850290
Reactivity
Mouse, Rat
Applications
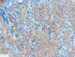
Immunoprecipitation, Immunocytochemistry, Immunohistochemistry, Western Blot
Purity
Antigen-specific affinity chromatography followed by Protein A affinity chromatography
Synonyms
S100 Calcium Binding Protein B (S100B), Antibody; Polyclonal Antibody to S100 Calcium Binding Protein B (S100B); anti-S100B antibody
Host
Rabbit
Reactivity
Mouse, Rat
Clonality
Polyclonal
Purity/Purification
Antigen-specific affinity chromatography followed by Protein A affinity chromatography
Form/Format
Supplied as solution form in 0.01M PBS, pH7.4, containing 0.05% Proclin-300, 50% glycerol.
Concentration
1mg/ml (varies by lot)
Applicable Applications for anti-S100B antibody
IP (Immunoprecipitation), ICC (Immunocytochemistry), IHC (Immunohistochemistry), WB (Western Blot)
Source
Polyclonal antibody preparation
Traits
Liquid
Cross Reactivity
Human, Rat
Immunogen
Recombinant S100B (Met1~Glu92) expressed in E.coli ( )
Preparation and Storage
Storage:
Avoid repeated freeze/thaw cycles.
Store at 4° for frequent use.
Aliquot and store at -20°C for 24 months.
Stability Test:
thermal stability is described by the loss rate. The loss rate was determined by accelerated thermal degradation test, that is, incubate the protein at 37°C for 48h, and no obvious degradation and precipitation were observed. The loss rate is less than 5% within the expiration date under appropriate storage condition.
Avoid repeated freeze/thaw cycles.
Store at 4° for frequent use.
Aliquot and store at -20°C for 24 months.
Stability Test:
thermal stability is described by the loss rate. The loss rate was determined by accelerated thermal degradation test, that is, incubate the protein at 37°C for 48h, and no obvious degradation and precipitation were observed. The loss rate is less than 5% within the expiration date under appropriate storage condition.
NCBI and Uniprot Product Information
NCBI GI #
NCBI GeneID
NCBI Accession #
NCBI GenBank Nucleotide #
UniProt Accession #
NCBI Official Full Name
protein S100-B
NCBI Official Synonym Full Names
S100 protein, beta polypeptide, neural
NCBI Official Symbol
S100b
NCBI Official Synonym Symbols
Bpb; AI850290
NCBI Protein Information
protein S100-B
UniProt Protein Name
Protein S100-B
UniProt Gene Name
S100b
Customer Reviews
Loading reviews...
Share Your Experience
Similar Products
Product Notes
The S100B s100b (Catalog #AAA132302) is an Antibody produced from Rabbit and is intended for research purposes only. The product is available for immediate purchase. The Polyclonal Antibody to S100 Calcium Binding Protein B (S100B) reacts with Mouse, Rat and may cross-react with other species as described in the data sheet. AAA Biotech's S100 Calcium Binding Protein B (S100B) can be used in a range of immunoassay formats including, but not limited to, IP (Immunoprecipitation), ICC (Immunocytochemistry), IHC (Immunohistochemistry), WB (Western Blot). Researchers should empirically determine the suitability of the S100B s100b for an application not listed in the data sheet. Researchers commonly develop new applications and it is an integral, important part of the investigative research process. It is sometimes possible for the material contained within the vial of "S100 Calcium Binding Protein B (S100B), Polyclonal Antibody" to become dispersed throughout the inside of the vial, particularly around the seal of said vial, during shipment and storage. We always suggest centrifuging these vials to consolidate all of the liquid away from the lid and to the bottom of the vial prior to opening. Please be advised that certain products may require dry ice for shipping and that, if this is the case, an additional dry ice fee may also be required.Precautions
All products in the AAA Biotech catalog are strictly for research-use only, and are absolutely not suitable for use in any sort of medical, therapeutic, prophylactic, in-vivo, or diagnostic capacity. By purchasing a product from AAA Biotech, you are explicitly certifying that said products will be properly tested and used in line with industry standard. AAA Biotech and its authorized distribution partners reserve the right to refuse to fulfill any order if we have any indication that a purchaser may be intending to use a product outside of our accepted criteria.Disclaimer
Though we do strive to guarantee the information represented in this datasheet, AAA Biotech cannot be held responsible for any oversights or imprecisions. AAA Biotech reserves the right to adjust any aspect of this datasheet at any time and without notice. It is the responsibility of the customer to inform AAA Biotech of any product performance issues observed or experienced within 30 days of receipt of said product. To see additional details on this or any of our other policies, please see our Terms & Conditions page.Item has been added to Shopping Cart
If you are ready to order, navigate to Shopping Cart and get ready to checkout.
