Rabbit anti-Human, Mouse S100A12 Polyclonal Antibody | anti-S100A12 antibody
S100A12 Antibody
Phosphate buffered saline, pH 7.4, 150mM NaCl, 0.02% sodium azide and 50% glycerol.
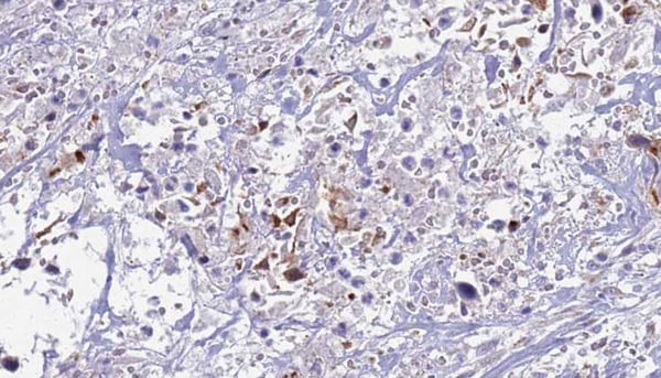
IHC (Immunohiostchemistry)
(AAA326980 at 1/100 staining Human urothelial cancer tissue by IHC-P. The sample was formaldehyde fixed and a heat mediated antigen retrieval step in citrate buffer was performed. The sample was then blocked and incubated with the antibody for 1.5 hours at 22 degree C. An HRP conjugated goat anti-rabbit antibody was used as the secondary.)
WB (Western Blot)
(Western blot analysis of K562 cell lysate, using S100A12 Antibody. The lane on the left is treated with the antigen-specific peptide.)
Function: S100A12 is a calcium-, zinc-and copper-binding protein which plays a prominent role in the regulation of inflammatory processes and immune response. Its proinflammatory activity involves recruitment of leukocytes, promotion of cytokine and chemokine production, and regulation of leukocyte adhesion and migration. Acts as an alarmin or a danger associated molecular pattern (DAMP) molecule and stimulates innate immune cells via binding to receptor for advanced glycation endproducts (AGER). Binding to AGER activates the MAP-kinase and NF-kappa-B signaling pathways leading to production of proinflammatory cytokines and up-regulation of cell adhesion molecules ICAM1 and VCAM1. Acts as a monocyte and mast cell chemoattractant. Can stimulate mast cell degranulation and activation which generates chemokines, histamine and cytokines inducing further leukocyte recruitment to the sites of inflammation. Can inhibit the activity of matrix metalloproteinases; MMP2, MMP3 and MMP9 by chelating Zn2+ from their active sites. Possesses filariacidal and filariastatic activity. Calcitermin possesses antifungal activity against C.albicans and is also active against E.coli and P.aeruginosa but not L.monocytogenes and S.aureus.
Subunit Structure: Homodimer. Homooligomer (tetramer or hexamer) in the presence of calcium, zinc and copper ions. Interacts with AGER and both calcium and zinc are essential for the interaction. Interacts with CACYBP in a calcium-dependent manner.
Similarity: The hinge domain contributes significantly to its chemotactic properties. Belongs to the S-100 family.
NCBI and Uniprot Product Information
Predicted: 11 kDa
Customer Reviews
Loading reviews...
Share Your Experience
Similar Products
Product Notes
The S100A12 s100a12 (Catalog #AAA326980) is an Antibody produced from Rabbit and is intended for research purposes only. The product is available for immediate purchase. The S100A12 Antibody reacts with Human, Mouse and may cross-react with other species as described in the data sheet. AAA Biotech's S100A12 can be used in a range of immunoassay formats including, but not limited to, ELISA, IHC (Immunohistochemistry), WB (Western Blot). Researchers should empirically determine the suitability of the S100A12 s100a12 for an application not listed in the data sheet. Researchers commonly develop new applications and it is an integral, important part of the investigative research process. It is sometimes possible for the material contained within the vial of "S100A12, Polyclonal Antibody" to become dispersed throughout the inside of the vial, particularly around the seal of said vial, during shipment and storage. We always suggest centrifuging these vials to consolidate all of the liquid away from the lid and to the bottom of the vial prior to opening. Please be advised that certain products may require dry ice for shipping and that, if this is the case, an additional dry ice fee may also be required.Precautions
All products in the AAA Biotech catalog are strictly for research-use only, and are absolutely not suitable for use in any sort of medical, therapeutic, prophylactic, in-vivo, or diagnostic capacity. By purchasing a product from AAA Biotech, you are explicitly certifying that said products will be properly tested and used in line with industry standard. AAA Biotech and its authorized distribution partners reserve the right to refuse to fulfill any order if we have any indication that a purchaser may be intending to use a product outside of our accepted criteria.Disclaimer
Though we do strive to guarantee the information represented in this datasheet, AAA Biotech cannot be held responsible for any oversights or imprecisions. AAA Biotech reserves the right to adjust any aspect of this datasheet at any time and without notice. It is the responsibility of the customer to inform AAA Biotech of any product performance issues observed or experienced within 30 days of receipt of said product. To see additional details on this or any of our other policies, please see our Terms & Conditions page.Item has been added to Shopping Cart
If you are ready to order, navigate to Shopping Cart and get ready to checkout.
