Rabbit S100A12 Polyclonal Antibody | anti-S100A12 antibody
S100A12 Polyclonal Antibody
Gene Names
S100A12; p6; CAGC; CGRP; MRP6; CAAF1; MRP-6; ENRAGE
Reactivity
Human, Mouse, Rat
Applications
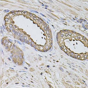
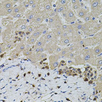
Immunohistochemistry, Western Blot
Purity
Affinity Purification
Synonyms
S100A12, Antibody; S100A12 Polyclonal Antibody; p6; CAGC; CGRP; MRP6; CAAF1; MRP-6; ENRAGE; anti-S100A12 antibody
Host
Rabbit
Reactivity
Human, Mouse, Rat
Clonality
Polyclonal
Isotype
IgG
Purity/Purification
Affinity Purification
Concentration
1mg/ml (varies by lot)
Sequence Length
92
Applicable Applications for anti-S100A12 antibody
IHC (Immunohistochemistry), WB (Western Blot)
Species
Human
Immunogen
Recombinant Protein
Immunogen
Recombinant protein of human S100A12
Calculated Molecular Weight
10kDa
Preparation and Storage
Store at -20 degree C (regular) or -80 degree C (long term). Avoid freeze / thaw cycles.
Buffer: PBS with 0.02% sodium azide, 50% glycerol, pH7.3.
Buffer: PBS with 0.02% sodium azide, 50% glycerol, pH7.3.
Related Product Information for anti-S100A12 antibody
The protein encoded by this gene is a member of the S100 family of proteins containing 2 EF-hand calcium-binding motifs. S100 proteins are localized in the cytoplasm and/or nucleus of a wide range of cells, and involved in the regulation of a number of cellular processes such as cell cycle progression and differentiation. S100 genes include at least 13 members which are located as a cluster on chromosome 1q21. This protein is proposed to be involved in specific calcium-dependent signal transduction pathways and its regulatory effect on cytoskeletal components may modulate various neutrophil activities.
Product Categories/Family for anti-S100A12 antibody
NCBI and Uniprot Product Information
NCBI GI #
NCBI GeneID
Molecular Weight
92
NCBI Official Full Name
Protein S100-A12
NCBI Official Synonym Full Names
S100 calcium binding protein A12
NCBI Official Symbol
S100A12
NCBI Official Synonym Symbols
p6; CAGC; CGRP; MRP6; CAAF1; MRP-6; ENRAGE
NCBI Protein Information
protein S100-A12; EN-RAGE; calcitermin; calgranulin C; calgranulin-C; neutrophil S100 protein; calcium-binding protein in amniotic fluid 1; migration inhibitory factor-related protein 6; S100 calcium-binding protein A12 (calgranulin C); extracellular newly identified RAGE-binding protein
UniProt Protein Name
Protein S100-A12
UniProt Gene Name
S100A12
UniProt Synonym Gene Names
CAAF1; CAGC; EN-RAGE; MRP-6; p6
UniProt Entry Name
S10AC_HUMAN
Customer Reviews
Loading reviews...
Share Your Experience
Similar Products
Product Notes
The S100A12 s100a12 (Catalog #AAA37570) is an Antibody produced from Rabbit and is intended for research purposes only. The product is available for immediate purchase. The S100A12 Polyclonal Antibody reacts with Human, Mouse, Rat and may cross-react with other species as described in the data sheet. AAA Biotech's S100A12 can be used in a range of immunoassay formats including, but not limited to, IHC (Immunohistochemistry), WB (Western Blot). Researchers should empirically determine the suitability of the S100A12 s100a12 for an application not listed in the data sheet. Researchers commonly develop new applications and it is an integral, important part of the investigative research process. It is sometimes possible for the material contained within the vial of "S100A12, Polyclonal Antibody" to become dispersed throughout the inside of the vial, particularly around the seal of said vial, during shipment and storage. We always suggest centrifuging these vials to consolidate all of the liquid away from the lid and to the bottom of the vial prior to opening. Please be advised that certain products may require dry ice for shipping and that, if this is the case, an additional dry ice fee may also be required.Precautions
All products in the AAA Biotech catalog are strictly for research-use only, and are absolutely not suitable for use in any sort of medical, therapeutic, prophylactic, in-vivo, or diagnostic capacity. By purchasing a product from AAA Biotech, you are explicitly certifying that said products will be properly tested and used in line with industry standard. AAA Biotech and its authorized distribution partners reserve the right to refuse to fulfill any order if we have any indication that a purchaser may be intending to use a product outside of our accepted criteria.Disclaimer
Though we do strive to guarantee the information represented in this datasheet, AAA Biotech cannot be held responsible for any oversights or imprecisions. AAA Biotech reserves the right to adjust any aspect of this datasheet at any time and without notice. It is the responsibility of the customer to inform AAA Biotech of any product performance issues observed or experienced within 30 days of receipt of said product. To see additional details on this or any of our other policies, please see our Terms & Conditions page.Item has been added to Shopping Cart
If you are ready to order, navigate to Shopping Cart and get ready to checkout.
