Rabbit anti-Human S1PR2 Polyclonal Antibody | anti-S1PR2 antibody
S1PR2 Antibody
Gene Names
S1PR2; EDG5; H218; LPB2; S1P2; AGR16; EDG-5; Gpcr13
Reactivity
Human
Applications
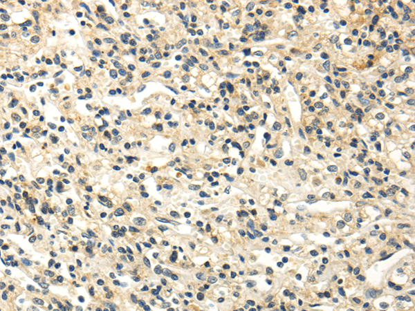
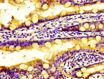
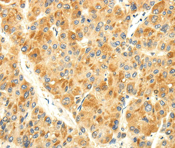
Immunohistochemistry
Purity
Antigen affinity purification.
Synonyms
S1PR2, Antibody; S1PR2 Antibody; EDG5; H218; LPB2; S1P2; AGR16; EDG-5; Gpcr13; anti-S1PR2 antibody
Host
Rabbit
Reactivity
Human
Clonality
Polyclonal
Specificity
The antibody detects endogenous levels of total S1PR2 protein.
Purity/Purification
Antigen affinity purification.
Form/Format
Rabbit IgG in pH7.4 PBS, 0.05% NaN3, 40% Glycerol.
Concentration
2 mg/ml (varies by lot)
Sequence Length
353
Applicable Applications for anti-S1PR2 antibody
IHC (Immunohistochemistry)
Immunogen Type
Peptide
Immunogen Description
Synthetic peptide of human sphingosine-1-phosphate receptor 2
Target Name
S1PR2
Preparation and Storage
Store at -20 degree C
Related Product Information for anti-S1PR2 antibody
This gene encodes a member of the G protein-coupled receptors, as well as the EDG family of proteins. This protein participates in sphingosine 1-phosphate-induced cell proliferation, survival, and transcriptional activation
Product Categories/Family for anti-S1PR2 antibody
NCBI and Uniprot Product Information
NCBI GI #
NCBI GeneID
NCBI Accession #
NCBI GenBank Nucleotide #
Molecular Weight
38,867 Da
NCBI Official Full Name
sphingosine 1-phosphate receptor 2
NCBI Official Synonym Full Names
sphingosine-1-phosphate receptor 2
NCBI Official Symbol
S1PR2
NCBI Official Synonym Symbols
EDG5; H218; LPB2; S1P2; AGR16; EDG-5; Gpcr13
NCBI Protein Information
sphingosine 1-phosphate receptor 2
UniProt Protein Name
Sphingosine 1-phosphate receptor 2
UniProt Gene Name
S1PR2
UniProt Synonym Gene Names
EDG5; S1P receptor 2; S1P2; S1P receptor Edg-5
UniProt Entry Name
S1PR2_HUMAN
Customer Reviews
Loading reviews...
Share Your Experience
Similar Products
Product Notes
The S1PR2 s1pr2 (Catalog #AAA303560) is an Antibody produced from Rabbit and is intended for research purposes only. The product is available for immediate purchase. The S1PR2 Antibody reacts with Human and may cross-react with other species as described in the data sheet. AAA Biotech's S1PR2 can be used in a range of immunoassay formats including, but not limited to, IHC (Immunohistochemistry). Researchers should empirically determine the suitability of the S1PR2 s1pr2 for an application not listed in the data sheet. Researchers commonly develop new applications and it is an integral, important part of the investigative research process. It is sometimes possible for the material contained within the vial of "S1PR2, Polyclonal Antibody" to become dispersed throughout the inside of the vial, particularly around the seal of said vial, during shipment and storage. We always suggest centrifuging these vials to consolidate all of the liquid away from the lid and to the bottom of the vial prior to opening. Please be advised that certain products may require dry ice for shipping and that, if this is the case, an additional dry ice fee may also be required.Precautions
All products in the AAA Biotech catalog are strictly for research-use only, and are absolutely not suitable for use in any sort of medical, therapeutic, prophylactic, in-vivo, or diagnostic capacity. By purchasing a product from AAA Biotech, you are explicitly certifying that said products will be properly tested and used in line with industry standard. AAA Biotech and its authorized distribution partners reserve the right to refuse to fulfill any order if we have any indication that a purchaser may be intending to use a product outside of our accepted criteria.Disclaimer
Though we do strive to guarantee the information represented in this datasheet, AAA Biotech cannot be held responsible for any oversights or imprecisions. AAA Biotech reserves the right to adjust any aspect of this datasheet at any time and without notice. It is the responsibility of the customer to inform AAA Biotech of any product performance issues observed or experienced within 30 days of receipt of said product. To see additional details on this or any of our other policies, please see our Terms & Conditions page.Item has been added to Shopping Cart
If you are ready to order, navigate to Shopping Cart and get ready to checkout.
