Host
Rabbit
Reactivity
Human
Clonality
Polyclonal
Specificity
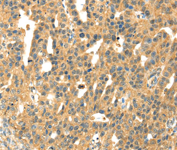
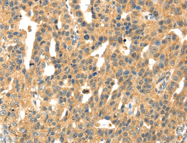
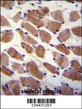
The antibody detects endogenous levels of total SAMD7 protein.
Purity/Purification
Antigen affinity purification.
Form/Format
Rabbit IgG in pH7.4 PBS, 0.05% NaN3, 40% Glycerol.
Concentration
2 mg/ml (varies by lot)
Sequence Length
446
Applicable Applications for anti-SAMD7 antibody
IHC (Immunohistochemistry)
Immunogen Type
Protein
Immunogen Description
Fusion protein corresponding to residues near the N terminal of human sterile alpha motif domain containing 7
Target Name
SAMD7
Preparation and Storage
Store at -20 degree C
Related Product Information for anti-SAMD7 antibody
SAMD7 (Sterile alpha motif domain-containing protein 7), is a 446 amino acid protein encoded by the SAMD7 gene which maps to human chromosome 3. Chromosome 3 is made up of about 214 million bases encoding over 1,100 genes, including a chemokine receptor (CKR) gene cluster and a variety of human cancer-related gene loci. Key tumor suppressing genes on chromosome 3 include those that encode the apoptosis mediator RASSF1, the cell migration regulator HYAL1 and the angiogenesis suppressor SEMA3B.
Product Categories/Family for anti-SAMD7 antibody
NCBI and Uniprot Product Information
NCBI GI #
NCBI GeneID
NCBI Accession #
NCBI GenBank Nucleotide #
UniProt Accession #
Molecular Weight
49,112 Da
NCBI Official Full Name
sterile alpha motif domain-containing protein 7
NCBI Official Synonym Full Names
sterile alpha motif domain containing 7
NCBI Official Symbol
SAMD7
NCBI Protein Information
sterile alpha motif domain-containing protein 7
UniProt Protein Name
Sterile alpha motif domain-containing protein 7
UniProt Gene Name
SAMD7
UniProt Synonym Gene Names
SAM domain-containing protein 7
UniProt Entry Name
SAMD7_HUMAN
Customer Reviews
Loading reviews...
Share Your Experience
Similar Products
Product Notes
The SAMD7 samd7 (Catalog #AAA306184) is an Antibody produced from Rabbit and is intended for research purposes only. The product is available for immediate purchase. The SAMD7 Antibody reacts with Human and may cross-react with other species as described in the data sheet. AAA Biotech's SAMD7 can be used in a range of immunoassay formats including, but not limited to, IHC (Immunohistochemistry). Researchers should empirically determine the suitability of the SAMD7 samd7 for an application not listed in the data sheet. Researchers commonly develop new applications and it is an integral, important part of the investigative research process. It is sometimes possible for the material contained within the vial of "SAMD7, Polyclonal Antibody" to become dispersed throughout the inside of the vial, particularly around the seal of said vial, during shipment and storage. We always suggest centrifuging these vials to consolidate all of the liquid away from the lid and to the bottom of the vial prior to opening. Please be advised that certain products may require dry ice for shipping and that, if this is the case, an additional dry ice fee may also be required.Precautions
All products in the AAA Biotech catalog are strictly for research-use only, and are absolutely not suitable for use in any sort of medical, therapeutic, prophylactic, in-vivo, or diagnostic capacity. By purchasing a product from AAA Biotech, you are explicitly certifying that said products will be properly tested and used in line with industry standard. AAA Biotech and its authorized distribution partners reserve the right to refuse to fulfill any order if we have any indication that a purchaser may be intending to use a product outside of our accepted criteria.Disclaimer
Though we do strive to guarantee the information represented in this datasheet, AAA Biotech cannot be held responsible for any oversights or imprecisions. AAA Biotech reserves the right to adjust any aspect of this datasheet at any time and without notice. It is the responsibility of the customer to inform AAA Biotech of any product performance issues observed or experienced within 30 days of receipt of said product. To see additional details on this or any of our other policies, please see our Terms & Conditions page.Item has been added to Shopping Cart
If you are ready to order, navigate to Shopping Cart and get ready to checkout.
