Rabbit SAP155 Polyclonal Antibody | anti-SF3B1 antibody
SAP155 Antibody
Predicted Reactivity: Pig(100%), Bovine(100%), Horse(100%), Sheep(100%), Rabbit(100%), Dog(100%), Chicken(100%), Xenopus(100%)
Predicted Reactivity: Pig(100%), Bovine(100%), Horse(100%), Sheep(100%), Rabbit(100%), Dog(100%), Chicken(100%), Xenopus(100%)
IHC: 1:50-1:200
IF: 1:100-1:500
ICC: 1:100-1:500
ELISA(peptide): 1:20,000-1:40,000
IHC (Immunohistochemistry-Paraffin)
(AAA31255 at 1/100 staining Mouse colorectal tissue by IHC-P. The sample was formaldehyde fixed and a heat mediated antigen retrieval step in citrate buffer was performed. The sample was then blocked and incubated with the primary antibody at 4°C overnight. An HRP conjugated anti-Rabbit antibody was used as the secondary antibody.)
IHC (Immunohistchemistry-Paraffin)
(AAA31255 at 1/100 staining Rat heart tissue by IHC-P. The sample was formaldehyde fixed and a heat mediated antigen retrieval step in citrate buffer was performed. The sample was then blocked and incubated with the primary antibody at 4°C overnight. An HRP conjugated anti-Rabbit antibody was used as the secondary antibody.)
IHC (Immunohistochemistry-Paraffin)
(AAA31255 at 1/100 staining Rat liver tissue by IHC-P. The sample was formaldehyde fixed and a heat mediated antigen retrieval step in citrate buffer was performed. The sample was then blocked and incubated with the primary antibody at 4°C overnight. An HRP conjugated anti-Rabbit antibody was used as the secondary antibody.)
IHC (Immunohistochemistry-Paraffin)
(AAA31255 at 1/100 staining Rat spleen tissue by IHC-P. The sample was formaldehyde fixed and a heat mediated antigen retrieval step in citrate buffer was performed. The sample was then blocked and incubated with the primary antibody at 4°C overnight. An HRP conjugated anti-Rabbit antibody was used as the secondary antibody.)
IHC (Immunohistchemistry-Paraffin)
(AAA31255 at 1/100 staining Rat brain tissue by IHC-P. The sample was formaldehyde fixed and a heat mediated antigen retrieval step in citrate buffer was performed. The sample was then blocked and incubated with the primary antibody at 4°C overnight. An HRP conjugated anti-Rabbit antibody was used as the secondary antibody.)
IHC (Immunohistochemistry-Paraffin)
(AAA31255 at 1/100 staining Rat stomach tissue by IHC-P. The sample was formaldehyde fixed and a heat mediated antigen retrieval step in citrate buffer was performed. The sample was then blocked and incubated with the primary antibody at 4°C overnight. An HRP conjugated anti-Rabbit antibody was used as the secondary antibody.)
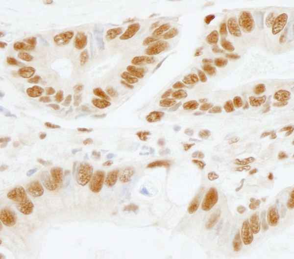
IHC (Immunohistochemistry-Paraffin)
(AAA31255 at 1/100 staining Rat colorectal tissue by IHC-P. The sample was formaldehyde fixed and a heat mediated antigen retrieval step in citrate buffer was performed. The sample was then blocked and incubated with the primary antibody at 4°C overnight. An HRP conjugated anti-Rabbit antibody was used as the secondary antibody.)
IHC (Immunohistochemistry-Paraffin)
(AAA31255 at 1/100 staining Human mammary cancer by IHC-P. The sample was formaldehyde fixed and a heat mediated antigen retrieval step in citrate buffer was performed. The sample was then blocked and incubated with the primary antibody at 4°C overnight. An HRP conjugated anti-Rabbit antibody was used as the secondary antibody.)
WB (Western Blot)
(Western blot analysis of extracts from various samples, using SAP155 Antibody.Lane 1: C6 cells, treated with blocking peptide;Lane 2: C6 cells;Lane 3: Mouse liver;Lane 4: 3T3;Lane 5: RAW264.7 cells.)
WB (Western Blot)
(Western blot analysis of extracts from Hela cells, using SAP155 Antibody. The lane on the left was treated with blocking peptide.)
Post Translational Modifications: Phosphorylated. Phosphorylation occurs concomitantly with the splicing catalytic steps. Phosphorylation on Thr-244, Thr-248 and Thr-313 by cyclin-dependent kinases promotes interaction with PPP1R8 during mitosis.Citrullinated by PADI4.
Subcellular Location: Nucleus. Nucleus speckle. Note: During mitosis, transiently dispersed from the nuclear speckles to the cytoplasm.
Subunit Structure: Component of the B-WICH complex, at least composed of SMARCA5/SNF2H, BAZ1B/WSTF, SF3B1, DEK, MYO1C, ERCC6, MYBBP1A and DDX21 (PubMed:16603771). Identified in the spliceosome C complex (PubMed:11991638). Component of the U11/U12 snRNPs that are part of the U12-type spliceosome (PubMed:15146077). Component of splicing factor SF3B complex which is composed of at least eight subunits; SF3B1, SF3B2, SF3B3, SF3B4, SF3B5, SF3B6, PHF5A and DDX42 (PubMed:12234937, PubMed:12738865, PubMed:28541300, PubMed:27720643). SF3B associates with the splicing factor SF3A and a 12S RNA unit to form the U2 small nuclear ribonucleoproteins complex (U2 snRNP). Interacts directly with the splicing factor U2AF (PubMed:12234937). Within the SF3B complex interacts directly (via HEAT domain) with SF3B3, SF3B5 and (via HEAT domain) with PHF5A (PubMed:27720643). Interacts directly with SF3B6 (PubMed:16432215, Ref.36, PubMed:21062891). The SF3B complex composed of SF3B1, SF3B2, SF3B3, SF3B4, SF3B5, SF3B6 and PHF5A interacts with U2AF2 (PubMed:27720643). Phosphorylated form interacts with PPP1R8 (PubMed:12105215). Interacts with PQBP1 (PubMed:23512658). Interacts with RBM17 (PubMed:17589525). Interacts with RBM39 (PubMed:24795046). Interacts with SETX (PubMed:21700224). Interacts with RBM15 (PubMed:26575292).
Similarity: Belongs to the SF3B1 family.
NCBI and Uniprot Product Information
Predicted Molecular Weight: (Calculated)146kDa.
Customer Reviews
Loading reviews...
Share Your Experience
Similar Products
Product Notes
The SF3B1 sf3b1 (Catalog #AAA31255) is an Antibody produced from Rabbit and is intended for research purposes only. The product is available for immediate purchase. The SAP155 Antibody reacts with Human, Mouse, Rat Predicted Reactivity: Pig(100%), Bovine(100%), Horse(100%), Sheep(100%), Rabbit(100%), Dog(100%), Chicken(100%), Xenopus(100%) and may cross-react with other species as described in the data sheet. AAA Biotech's SAP155 can be used in a range of immunoassay formats including, but not limited to, ELISA. WB: 1:500-1:2000 IHC: 1:50-1:200 IF: 1:100-1:500 ICC: 1:100-1:500 ELISA(peptide): 1:20,000-1:40,000. Researchers should empirically determine the suitability of the SF3B1 sf3b1 for an application not listed in the data sheet. Researchers commonly develop new applications and it is an integral, important part of the investigative research process. It is sometimes possible for the material contained within the vial of "SAP155, Polyclonal Antibody" to become dispersed throughout the inside of the vial, particularly around the seal of said vial, during shipment and storage. We always suggest centrifuging these vials to consolidate all of the liquid away from the lid and to the bottom of the vial prior to opening. Please be advised that certain products may require dry ice for shipping and that, if this is the case, an additional dry ice fee may also be required.Precautions
All products in the AAA Biotech catalog are strictly for research-use only, and are absolutely not suitable for use in any sort of medical, therapeutic, prophylactic, in-vivo, or diagnostic capacity. By purchasing a product from AAA Biotech, you are explicitly certifying that said products will be properly tested and used in line with industry standard. AAA Biotech and its authorized distribution partners reserve the right to refuse to fulfill any order if we have any indication that a purchaser may be intending to use a product outside of our accepted criteria.Disclaimer
Though we do strive to guarantee the information represented in this datasheet, AAA Biotech cannot be held responsible for any oversights or imprecisions. AAA Biotech reserves the right to adjust any aspect of this datasheet at any time and without notice. It is the responsibility of the customer to inform AAA Biotech of any product performance issues observed or experienced within 30 days of receipt of said product. To see additional details on this or any of our other policies, please see our Terms & Conditions page.Item has been added to Shopping Cart
If you are ready to order, navigate to Shopping Cart and get ready to checkout.
