SAP97 Polyclonal Antibody | anti-SAP97 antibody
Anti-SAP97 Antibody
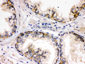
IHC (Immunohiostchemistry)
(Anti- SAP97 Picoband antibody, AAA46412, IHC(P)IHC(P): Human Prostatic Cancer Tissue)
WB (Western Blot)
(Anti- SAP97 Picoband antibody, AAA46412, Western blottingAll lanes: Anti SAP97 (AAA46412) at 0.5ug/mlLane 1: Rat Lung Tissue Lysate at 50ugLane 2: Mouse Lung Tissue Lysate at 50ugLane 3: HELA Whole Cell Lysate at 40ugLane 4: MM231 Whole Cell Lysate at 40ugLane 5: COLO320 Whole Cell Lysate at 40ugLane 6: A549 Whole Cell Lysate at 40ugLane 7: NIH3T3 Whole Cell Lysate at 40ugPredicted bind size: 130KDObserved bind size: 130KD)
Background: Disks large homolog 1 (DLG1), also known as synapse-associated protein 97 or SAP97, is a protein that in humans is encoded by the SAP97 gene. SAP97 is expressed throughout the body in epithelial cells, including the kidney and brain. There is some evidence that SAP97 regulates cell-to-cell adhesion during cell death, and may interact with HPV. In the brain, SAP97's function is involved in the trafficking of transmembrane receptors from the ER to the plasma membrane. SAP97's function has been investigated by reducing its expression by knockout or increasing its expression heterologously. Mice in which the SAP97 gene has been knocked out die perinatally, have a cleft palate, and deficiencies in renal function. Overexpression of SAP97 in mammalian neurons leads to increased synaptic strength.
NCBI and Uniprot Product Information
Customer Reviews
Loading reviews...
Share Your Experience
Similar Products
Product Notes
The SAP97 dlg1 (Catalog #AAA46412) is an Antibody and is intended for research purposes only. The product is available for immediate purchase. The Anti-SAP97 Antibody reacts with Human, Mouse, Rat and may cross-react with other species as described in the data sheet. AAA Biotech's SAP97 can be used in a range of immunoassay formats including, but not limited to, IHC (Immunohistochemistry), WB (Western Blot). Researchers should empirically determine the suitability of the SAP97 dlg1 for an application not listed in the data sheet. Researchers commonly develop new applications and it is an integral, important part of the investigative research process. It is sometimes possible for the material contained within the vial of "SAP97, Polyclonal Antibody" to become dispersed throughout the inside of the vial, particularly around the seal of said vial, during shipment and storage. We always suggest centrifuging these vials to consolidate all of the liquid away from the lid and to the bottom of the vial prior to opening. Please be advised that certain products may require dry ice for shipping and that, if this is the case, an additional dry ice fee may also be required.Precautions
All products in the AAA Biotech catalog are strictly for research-use only, and are absolutely not suitable for use in any sort of medical, therapeutic, prophylactic, in-vivo, or diagnostic capacity. By purchasing a product from AAA Biotech, you are explicitly certifying that said products will be properly tested and used in line with industry standard. AAA Biotech and its authorized distribution partners reserve the right to refuse to fulfill any order if we have any indication that a purchaser may be intending to use a product outside of our accepted criteria.Disclaimer
Though we do strive to guarantee the information represented in this datasheet, AAA Biotech cannot be held responsible for any oversights or imprecisions. AAA Biotech reserves the right to adjust any aspect of this datasheet at any time and without notice. It is the responsibility of the customer to inform AAA Biotech of any product performance issues observed or experienced within 30 days of receipt of said product. To see additional details on this or any of our other policies, please see our Terms & Conditions page.Item has been added to Shopping Cart
If you are ready to order, navigate to Shopping Cart and get ready to checkout.
