SAPK4 Polyclonal Antibody | anti-SAPK4 antibody
Anti-SAPK4 Antibody
IHC (Immunohistochemistry)
(Anti- SAPK4 Picoband antibody, AAA46212,IHC(P)IHC(P): Human Intestinal Cancer Tissue)
IHC (Immunohistochemisry)
(Anti- SAPK4 Picoband antibody, AAA46212,IHC(P)IHC(P): Rat Intestine Tissue)
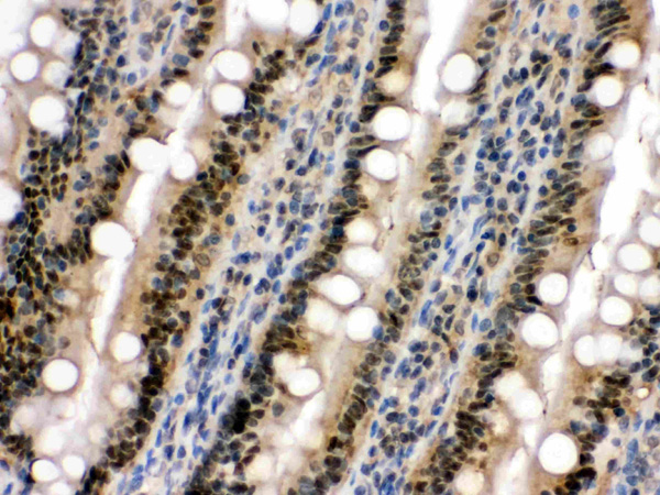
IHC (Immunohiostchemistry)
(Anti- SAPK4 Picoband antibody, AAA46212,IHC(P)IHC(P): Mouse Intestine Tissue)
WB (Western Blot)
(Anti- SAPK4 Picoband antibody, AAA46212, Western blottingAll lanes: Anti SAPK4 (AAA46212) at 0.5ug/mlLane 1: Rat Kidney Tissue Lysate at 50ugLane 2: HELA Whole Cell Lysate at 40ugLane 3: A549 Whole Cell Lysate at 40ugPredicted bind size: 42KDObserved bind size: 42KD)
Background: MAPK13 (Mitogen-Activated Protein Kinase 13), also called p38-DELTA or Stress-Activated Protein Kinase 4(SAPK4), is an enzyme that in humans is encoded by the MAPK13 gene. The protein encoded by this gene is a member of the MAP kinase family. MAP kinases act as an integration point for multiple biochemical signals, and are involved in a wide variety of cellular processes such as proliferation, differentiation, transcription regulation and development. This kinase is closely related to p38 MAP kinase, both of which can be activated by proinflammatory cytokines and cellular stress. MAP kinase kinases 3, and 6 can phosphorylate and activate this kinase. Transcription factor ATF2, and microtubule dynamics regulator stathmin have been shown to be the substrates of this kinase.
NCBI and Uniprot Product Information
Customer Reviews
Loading reviews...
Share Your Experience
Similar Products
Product Notes
The SAPK4 mapk13 (Catalog #AAA46212) is an Antibody and is intended for research purposes only. The product is available for immediate purchase. The Anti-SAPK4 Antibody reacts with Human, Mouse, Rat and may cross-react with other species as described in the data sheet. AAA Biotech's SAPK4 can be used in a range of immunoassay formats including, but not limited to, IHC (Immunohistochemistry), WB (Western Blot). Researchers should empirically determine the suitability of the SAPK4 mapk13 for an application not listed in the data sheet. Researchers commonly develop new applications and it is an integral, important part of the investigative research process. It is sometimes possible for the material contained within the vial of "SAPK4, Polyclonal Antibody" to become dispersed throughout the inside of the vial, particularly around the seal of said vial, during shipment and storage. We always suggest centrifuging these vials to consolidate all of the liquid away from the lid and to the bottom of the vial prior to opening. Please be advised that certain products may require dry ice for shipping and that, if this is the case, an additional dry ice fee may also be required.Precautions
All products in the AAA Biotech catalog are strictly for research-use only, and are absolutely not suitable for use in any sort of medical, therapeutic, prophylactic, in-vivo, or diagnostic capacity. By purchasing a product from AAA Biotech, you are explicitly certifying that said products will be properly tested and used in line with industry standard. AAA Biotech and its authorized distribution partners reserve the right to refuse to fulfill any order if we have any indication that a purchaser may be intending to use a product outside of our accepted criteria.Disclaimer
Though we do strive to guarantee the information represented in this datasheet, AAA Biotech cannot be held responsible for any oversights or imprecisions. AAA Biotech reserves the right to adjust any aspect of this datasheet at any time and without notice. It is the responsibility of the customer to inform AAA Biotech of any product performance issues observed or experienced within 30 days of receipt of said product. To see additional details on this or any of our other policies, please see our Terms & Conditions page.Item has been added to Shopping Cart
If you are ready to order, navigate to Shopping Cart and get ready to checkout.
