Rabbit SCNN1A Polyclonal Antibody | anti-SCNN1A antibody
SCNN1A Antibody
Phosphate buffered saline, pH 7.4, 150mM NaCl, 0.02% sodium azide and 50% glycerol.
IHC (Immunohiostchemistry)
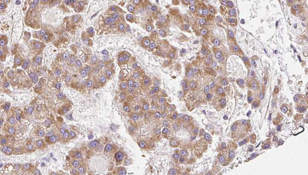
(AAA327844 at 1/100 staining Human liver cancer tissue by IHC-P. The sample was formaldehyde fixed and a heat mediated antigen retrieval step in citrate buffer was performed. The sample was then blocked and incubated with the antibody for 1.5 hours at 22 degree C. An HRP conjugated goat anti-rabbit antibody was used as the secondary.)
Subunit Structure: Heterotrimer containing an alpha/SCNN1A, a beta/SCNN1B and a gamma/SCNN1G subunit. An additional delta/SCNN1D subunit exists only in some organisms and can replace the alpha/SCNN1A subunit to form an alternative channel with specific properties (By similarity). Interacts with NEDD4 (via WW domains) (PubMed:11244092, PubMed:11696533, PubMed:12167593, PubMed:23665454). Interacts with NEDD4L (via WW domains) (PubMed:11244092, PubMed:11696533). Interacts with WWP1 (via WW domains) (PubMed:9169421). Interacts with WWP2 (via WW domains) (PubMed:12167593, PubMed:9169421). Interacts with the full-length immature form of PCSK9 (pro-PCSK9) (PubMed:22493497).
Post-translational Modifications: Ubiquitinated; this targets individual subunits for endocytosis and proteasome-mediated degradation. ENaC cleavage by furin, and subsequently by prostasin (PRSS8), leads to a stepwise increase in the open probability of the channel as a result of release of the alpha and gamma subunit inhibitory tracts, respectively. Interaction of ENaC subunit SCNN1B with BPIFA1 protects ENaC against proteolytic activation. N-glycosylated.
Similarity: Belongs to the amiloride-sensitive sodium channel (TC 1.A.6) family. SCNN1A subfamily.
NCBI and Uniprot Product Information
Predicted: 76 kDa
Customer Reviews
Loading reviews...
Share Your Experience
Similar Products
Product Notes
The SCNN1A scnn1a (Catalog #AAA327844) is an Antibody produced from Rabbit and is intended for research purposes only. The product is available for immediate purchase. The SCNN1A Antibody reacts with Human, Mouse, Rat and may cross-react with other species as described in the data sheet. AAA Biotech's SCNN1A can be used in a range of immunoassay formats including, but not limited to, ELISA, IHC (Immunohistochemistry), WB (Western Blot). Researchers should empirically determine the suitability of the SCNN1A scnn1a for an application not listed in the data sheet. Researchers commonly develop new applications and it is an integral, important part of the investigative research process. It is sometimes possible for the material contained within the vial of "SCNN1A, Polyclonal Antibody" to become dispersed throughout the inside of the vial, particularly around the seal of said vial, during shipment and storage. We always suggest centrifuging these vials to consolidate all of the liquid away from the lid and to the bottom of the vial prior to opening. Please be advised that certain products may require dry ice for shipping and that, if this is the case, an additional dry ice fee may also be required.Precautions
All products in the AAA Biotech catalog are strictly for research-use only, and are absolutely not suitable for use in any sort of medical, therapeutic, prophylactic, in-vivo, or diagnostic capacity. By purchasing a product from AAA Biotech, you are explicitly certifying that said products will be properly tested and used in line with industry standard. AAA Biotech and its authorized distribution partners reserve the right to refuse to fulfill any order if we have any indication that a purchaser may be intending to use a product outside of our accepted criteria.Disclaimer
Though we do strive to guarantee the information represented in this datasheet, AAA Biotech cannot be held responsible for any oversights or imprecisions. AAA Biotech reserves the right to adjust any aspect of this datasheet at any time and without notice. It is the responsibility of the customer to inform AAA Biotech of any product performance issues observed or experienced within 30 days of receipt of said product. To see additional details on this or any of our other policies, please see our Terms & Conditions page.Item has been added to Shopping Cart
If you are ready to order, navigate to Shopping Cart and get ready to checkout.
