Rabbit anti-Human SDHD Polyclonal Antibody | anti-SDHD antibody
SDHD Antibody (N-term)
FCM/FACS (Flow Cytometry)
(SDHD Antibody (N-term) flow cytometric analysis of Hela cells (right histogram) compared to a negative control cell (left histogram).FITC-conjugated goat-anti-rabbit secondary antibodies were used for the analysis.)
IF (Immunofluorescence)
(Confocal immunofluorescent analysis of SDHD Antibody (N-term) with Hela cell followed by Alexa Fluor 488-conjugated goat anti-rabbit lgG (green). DAPI was used to stain the cell nuclear (blue).)
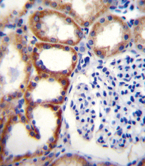
IHC (Immunohiostchemistry)
(SDHD Antibody (N-term) immunohistochemistry analysis in formalin fixed and paraffin embedded human kidney tissue followed by peroxidase conjugation of the secondary antibody and DAB staining.This data demonstrates the use of SDHD Antibody (N-term) for immunohistochemistry. Clinical relevance has not been evaluated.)
WB (Western Blot)
(SDHD Antibody (N-term) western blot analysis in Hela cell line lysates (35ug/lane).This demonstrates the SDHD antibody detected the SDHD protein (arrow).)
specifically involved in the oxidation of succinate, carries
electrons from FADH to CoQ. The complex is composed of four
nuclear-encoded subunits and is localized in the mitochondrial
inner membrane. The subunit D protein is one of two integral
membrane proteins anchoring the complex to the matrix side of the
membrane. Mutations in SDHD have been linked to hereditary
paraganglioma.
Gill, A.J., et al. Hum. Pathol. 41(6):805-814(2010)
Milosevic, D., et al. Clin. Biochem. 43 (7-8), 700-704 (2010) :
Hermsen, M.A., et al. Cell. Oncol. 32(4):275-283(2010)
Krawczyk, A., et al. Endokrynol Pol 61(1):43-48(2010)
NCBI and Uniprot Product Information
Customer Reviews
Loading reviews...
Share Your Experience
Similar Products
Product Notes
The SDHD sdhd (Catalog #AAA286343) is an Antibody produced from Rabbit and is intended for research purposes only. The product is available for immediate purchase. The immunogen sequence is 13-42. The SDHD Antibody (N-term) reacts with Human and may cross-react with other species as described in the data sheet. AAA Biotech's SDHD can be used in a range of immunoassay formats including, but not limited to, FCM/FACS (Flow Cytometry), IF (Immunofluorescence), IHC (Immunohistochemistry), ELISA, WB (Western Blot). Researchers should empirically determine the suitability of the SDHD sdhd for an application not listed in the data sheet. Researchers commonly develop new applications and it is an integral, important part of the investigative research process. It is sometimes possible for the material contained within the vial of "SDHD, Polyclonal Antibody" to become dispersed throughout the inside of the vial, particularly around the seal of said vial, during shipment and storage. We always suggest centrifuging these vials to consolidate all of the liquid away from the lid and to the bottom of the vial prior to opening. Please be advised that certain products may require dry ice for shipping and that, if this is the case, an additional dry ice fee may also be required.Precautions
All products in the AAA Biotech catalog are strictly for research-use only, and are absolutely not suitable for use in any sort of medical, therapeutic, prophylactic, in-vivo, or diagnostic capacity. By purchasing a product from AAA Biotech, you are explicitly certifying that said products will be properly tested and used in line with industry standard. AAA Biotech and its authorized distribution partners reserve the right to refuse to fulfill any order if we have any indication that a purchaser may be intending to use a product outside of our accepted criteria.Disclaimer
Though we do strive to guarantee the information represented in this datasheet, AAA Biotech cannot be held responsible for any oversights or imprecisions. AAA Biotech reserves the right to adjust any aspect of this datasheet at any time and without notice. It is the responsibility of the customer to inform AAA Biotech of any product performance issues observed or experienced within 30 days of receipt of said product. To see additional details on this or any of our other policies, please see our Terms & Conditions page.Item has been added to Shopping Cart
If you are ready to order, navigate to Shopping Cart and get ready to checkout.
