Host
Rabbit
Clonality
Polyclonal
Form/Format
100ug peptide affinity-purified rabbit IgG (2mg/ml)
Sequence Length
617
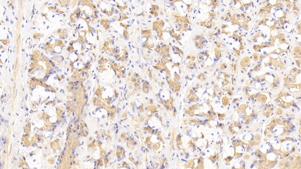
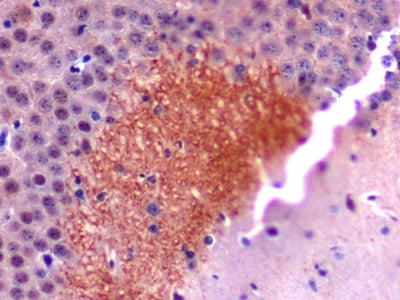
Applicable Applications for anti-SgII antibody
IHC (Immunohistochemistry), IB (Immunoblot)
Antigen
Synthetic peptide derived from the N-terminus of mature SgII protein:
Dilution Instructions
Dilute in PBS or medium that is identical to that used in the assay system.
Preparation and Storage
This antibody is stable for at least one (1) year at -20 degree C to -70 degree C. Avoid repeated freeze-thaw cycles.
Related Product Information for anti-SgII antibody
Secretogranin II (SgII), encoded by the gene SCG2, is a member of the granin family of neuroendocrine secretory proteins. The granin family also includes chromogranin A (CgA), chromogranin B (CgB), and several other secretogranin-like proteins. Studies in rodents suggest that the full-length protein, SgII, is involved in the packaging or sorting of peptide hormones and neuropeptides into secretory vesicles. SgII occurs in a variety of neoplasms arising from endocrine and neuroendocrine cells and can be a useful histological tumor marker for those cells.
Product Categories/Family for anti-SgII antibody
NCBI and Uniprot Product Information
NCBI GI #
Molecular Weight
70,941 Da
NCBI Official Full Name
secretogranin II
UniProt Protein Name
Secretogranin-2
UniProt Gene Name
SCG2
UniProt Synonym Gene Names
CHGC; SgII; SN
UniProt Entry Name
SCG2_HUMAN
Customer Reviews
Loading reviews...
Share Your Experience
Similar Products
Product Notes
The SgII scg2 (Catalog #AAA47946) is an Antibody produced from Rabbit and is intended for research purposes only. The product is available for immediate purchase. AAA Biotech's Secretogranin II can be used in a range of immunoassay formats including, but not limited to, IHC (Immunohistochemistry), IB (Immunoblot). Researchers should empirically determine the suitability of the SgII scg2 for an application not listed in the data sheet. Researchers commonly develop new applications and it is an integral, important part of the investigative research process. It is sometimes possible for the material contained within the vial of "Secretogranin II, Polyclonal Antibody" to become dispersed throughout the inside of the vial, particularly around the seal of said vial, during shipment and storage. We always suggest centrifuging these vials to consolidate all of the liquid away from the lid and to the bottom of the vial prior to opening. Please be advised that certain products may require dry ice for shipping and that, if this is the case, an additional dry ice fee may also be required.Precautions
All products in the AAA Biotech catalog are strictly for research-use only, and are absolutely not suitable for use in any sort of medical, therapeutic, prophylactic, in-vivo, or diagnostic capacity. By purchasing a product from AAA Biotech, you are explicitly certifying that said products will be properly tested and used in line with industry standard. AAA Biotech and its authorized distribution partners reserve the right to refuse to fulfill any order if we have any indication that a purchaser may be intending to use a product outside of our accepted criteria.Disclaimer
Though we do strive to guarantee the information represented in this datasheet, AAA Biotech cannot be held responsible for any oversights or imprecisions. AAA Biotech reserves the right to adjust any aspect of this datasheet at any time and without notice. It is the responsibility of the customer to inform AAA Biotech of any product performance issues observed or experienced within 30 days of receipt of said product. To see additional details on this or any of our other policies, please see our Terms & Conditions page.Item has been added to Shopping Cart
If you are ready to order, navigate to Shopping Cart and get ready to checkout.
