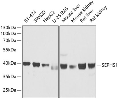
Rabbit SEPHS1 Polyclonal Antibody | anti-SEPHS1 antibody
SEPHS1 Rabbit Polyclonal Antibody
Gene Names
SEPHS1; SPS; SELD; SPS1
Reactivity
Human, Mouse, Rat
Applications
Immunofluorescence, Western Blot
Purity
Affinity purification
Synonyms
SEPHS1, Antibody; SEPHS1 Rabbit Polyclonal Antibody; SEPHS1; SELD; SPS; SPS1; selenide; anti-SEPHS1 antibody
Host
Rabbit
Reactivity
Human, Mouse, Rat
Clonality
Polyclonal
Isotype
IgG
Purity/Purification
Affinity purification
Form/Format
Buffer: PBS with 0.02% sodium azide, 50% glycerol, pH7.3.
Applicable Applications for anti-SEPHS1 antibody
IF (Immunofluorescence), WB (Western Blot)
Immunogen
Recombinant fusion protein of human SEPHS1 (NP_036379.2).
Preparation and Storage
Store at -20 degree C. Avoid freeze/thaw cycles.
Related Product Information for anti-SEPHS1 antibody
This gene encodes an enzyme that synthesizes selenophosphate from selenide and ATP. Selenophosphate is the selenium donor used to synthesize selenocysteine, which is co-translationally incorporated into selenoproteins at in-frame UGA codons.
Product Categories/Family for anti-SEPHS1 antibody
NCBI and Uniprot Product Information
NCBI GI #
NCBI GeneID
NCBI Accession #
NCBI GenBank Nucleotide #
Molecular Weight
35,620 Da
NCBI Official Full Name
selenide, water dikinase 1 isoform 3
NCBI Official Synonym Full Names
selenophosphate synthetase 1
NCBI Official Symbol
SEPHS1
NCBI Official Synonym Symbols
SPS; SELD; SPS1
NCBI Protein Information
selenide, water dikinase 1; selenium donor protein 1; selenophosphate synthase 1; selenophosphate synthetase 1 +E9; selenophosphate synthetase 1 +E9a; selenophosphate synthetase 1 delta E2; selenophosphate synthetase 1 delta E8; selenophosphate synthetase
UniProt Protein Name
Selenide, water dikinase 1
UniProt Gene Name
SEPHS1
UniProt Synonym Gene Names
SELD; SPS; SPS1
UniProt Entry Name
SPS1_HUMAN
Customer Reviews
Loading reviews...
Share Your Experience
Similar Products
Product Notes
The SEPHS1 sephs1 (Catalog #AAA313409) is an Antibody produced from Rabbit and is intended for research purposes only. The product is available for immediate purchase. The SEPHS1 Rabbit Polyclonal Antibody reacts with Human, Mouse, Rat and may cross-react with other species as described in the data sheet. AAA Biotech's SEPHS1 can be used in a range of immunoassay formats including, but not limited to, IF (Immunofluorescence), WB (Western Blot). Researchers should empirically determine the suitability of the SEPHS1 sephs1 for an application not listed in the data sheet. Researchers commonly develop new applications and it is an integral, important part of the investigative research process. It is sometimes possible for the material contained within the vial of "SEPHS1, Polyclonal Antibody" to become dispersed throughout the inside of the vial, particularly around the seal of said vial, during shipment and storage. We always suggest centrifuging these vials to consolidate all of the liquid away from the lid and to the bottom of the vial prior to opening. Please be advised that certain products may require dry ice for shipping and that, if this is the case, an additional dry ice fee may also be required.Precautions
All products in the AAA Biotech catalog are strictly for research-use only, and are absolutely not suitable for use in any sort of medical, therapeutic, prophylactic, in-vivo, or diagnostic capacity. By purchasing a product from AAA Biotech, you are explicitly certifying that said products will be properly tested and used in line with industry standard. AAA Biotech and its authorized distribution partners reserve the right to refuse to fulfill any order if we have any indication that a purchaser may be intending to use a product outside of our accepted criteria.Disclaimer
Though we do strive to guarantee the information represented in this datasheet, AAA Biotech cannot be held responsible for any oversights or imprecisions. AAA Biotech reserves the right to adjust any aspect of this datasheet at any time and without notice. It is the responsibility of the customer to inform AAA Biotech of any product performance issues observed or experienced within 30 days of receipt of said product. To see additional details on this or any of our other policies, please see our Terms & Conditions page.Item has been added to Shopping Cart
If you are ready to order, navigate to Shopping Cart and get ready to checkout.
