Rabbit anti-Human Serine/threonine-protein kinase PAK 6 Polyclonal Antibody | anti-PAK6 antibody
Rabbit anti-human Serine/threonine-protein kinase PAK 6 polyclonal Antibody(PAK6)
Reactivity
Human
Applications
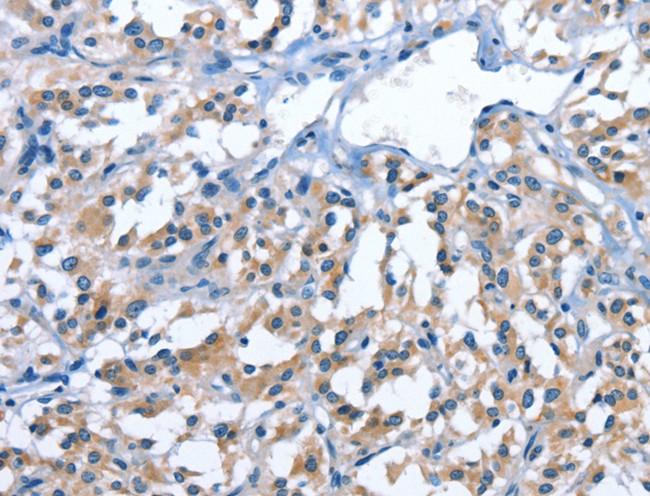
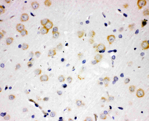
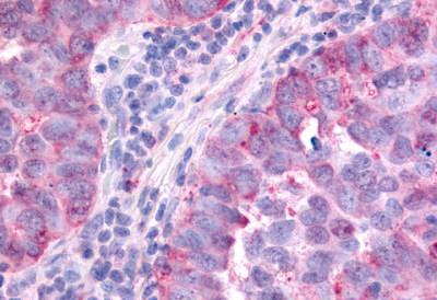
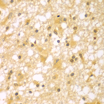
Immunohistochemistry, ELISA
Purity
Antigen Affinity Purified
Synonyms
Serine/threonine-protein kinase PAK 6, Antibody; Rabbit anti-human Serine/threonine-protein kinase PAK 6 polyclonal Antibody(PAK6); PAK-5; p21-activated kinase 6; PAK-6; PAK6; PAK5; anti-PAK6 antibody
Host
Rabbit
Reactivity
Human
Clonality
Polyclonal
Isotype
IgG
Purity/Purification
Antigen Affinity Purified
Sequence Length
681
Applicable Applications for anti-PAK6 antibody
IHC (Immunohistochemistry), ELISA
Storage Buffer
PBS with 0.02% sodium azide, 50% glycerol, pH7.3.
Conjugate
Non-conjugated
Immunogen
Recombinant human Serine/threonine-protein kinase PAK 6 protein (1-270aa)
Santa Cruz Alternative
Potential replacement for Santa Cruz Biotechnology antibody catalog# sc-25976 / sc-25975 / sc-32857
Preparation and Storage
Shipped at 4 degree C. Upon delivery aliquot and store at -20 degree C or -80 degree C. Avoid repeated freeze.
Related Product Information for anti-PAK6 antibody
Serine/threonine protein kinase that plays a role in the regulation of gene transcription. The kinase activity is induced by various effectors including AR or MAP2K6/MAPKK6. Phosphorylates the DNA-binding domain of androgen receptor/AR and thereby inhibits AR-mediated transcription. Inhibits also ESR1-mediated transcription. May play a role in cytoskeleton regulation by interacting with IQGAP1. May protect cells from apoptosis through phosphorylation of BAD.
NCBI and Uniprot Product Information
NCBI GI #
NCBI GeneID
NCBI Accession #
NCBI GenBank Nucleotide #
Molecular Weight
69,777 Da
NCBI Official Full Name
serine/threonine-protein kinase PAK 6
NCBI Official Symbol
BUB1B-PAK6
NCBI Protein Information
serine/threonine-protein kinase PAK 6
UniProt Protein Name
Serine/threonine-protein kinase PAK 6
UniProt Gene Name
PAK6
UniProt Synonym Gene Names
PAK5; PAK-6
UniProt Entry Name
PAK6_HUMAN
Customer Reviews
Loading reviews...
Share Your Experience
Similar Products
Product Notes
The PAK6 pak6 (Catalog #AAA119210) is an Antibody produced from Rabbit and is intended for research purposes only. The product is available for immediate purchase. The Rabbit anti-human Serine/threonine-protein kinase PAK 6 polyclonal Antibody(PAK6) reacts with Human and may cross-react with other species as described in the data sheet. AAA Biotech's Serine/threonine-protein kinase PAK 6 can be used in a range of immunoassay formats including, but not limited to, IHC (Immunohistochemistry), ELISA. Researchers should empirically determine the suitability of the PAK6 pak6 for an application not listed in the data sheet. Researchers commonly develop new applications and it is an integral, important part of the investigative research process. It is sometimes possible for the material contained within the vial of "Serine/threonine-protein kinase PAK 6, Polyclonal Antibody" to become dispersed throughout the inside of the vial, particularly around the seal of said vial, during shipment and storage. We always suggest centrifuging these vials to consolidate all of the liquid away from the lid and to the bottom of the vial prior to opening. Please be advised that certain products may require dry ice for shipping and that, if this is the case, an additional dry ice fee may also be required.Precautions
All products in the AAA Biotech catalog are strictly for research-use only, and are absolutely not suitable for use in any sort of medical, therapeutic, prophylactic, in-vivo, or diagnostic capacity. By purchasing a product from AAA Biotech, you are explicitly certifying that said products will be properly tested and used in line with industry standard. AAA Biotech and its authorized distribution partners reserve the right to refuse to fulfill any order if we have any indication that a purchaser may be intending to use a product outside of our accepted criteria.Disclaimer
Though we do strive to guarantee the information represented in this datasheet, AAA Biotech cannot be held responsible for any oversights or imprecisions. AAA Biotech reserves the right to adjust any aspect of this datasheet at any time and without notice. It is the responsibility of the customer to inform AAA Biotech of any product performance issues observed or experienced within 30 days of receipt of said product. To see additional details on this or any of our other policies, please see our Terms & Conditions page.Item has been added to Shopping Cart
If you are ready to order, navigate to Shopping Cart and get ready to checkout.
