Rabbit SERPINA5 Polyclonal Antibody | anti-SERPINA5 antibody
Anti-SERPINA5 Antibody
Each vial contains 5mg BSA, 0.9mg NaCl, 0.2mg Na2HPO4, 0.05mg NaN3.
Predicted Species: Species predicted to be fit for the product based on sequence similarities.
By Heat: Boiling the paraffin sections in 10mM citrate buffer, pH6.0, for 20mins is required for the staining of formalin/paraffin sections.
Other applications have not been tested.
IHC (Immunohistochemisry)
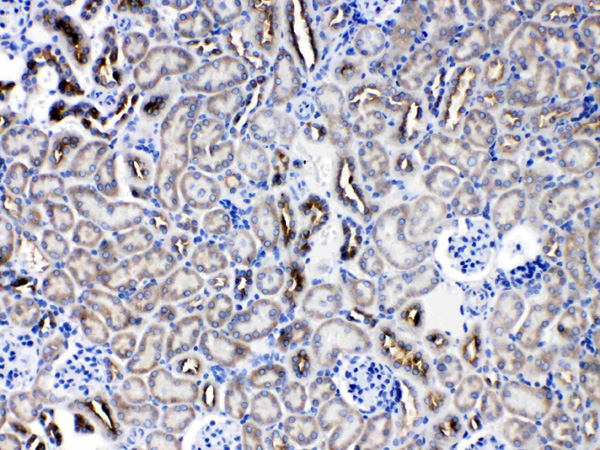
(SERPINA5 was detected in paraffin-embedded sections of rat kidney tissues using rabbit anti- SERPINA5 Antigen Affinity purified polyclonal antibody at 1ug/mL. The immunohistochemical section was developed using SABC method.)
IHC (Immunohiostchemistry)
(SERPINA5 was detected in paraffin-embedded sections of mouse kidney tissues using rabbit anti- SERPINA5 Antigen Affinity purified polyclonal antibody at 1ug/mL. The immunohistochemical section was developed using SABC method.)
WB (Western Blot)
(Western blot analysis of SERPINA5 expression in rat liver extract (lane 1) and SKOV3 whole cell lysates (lane 2). SERPINA5 at 46KD was detected using rabbit anti- SERPINA5 Antigen Affinity purified polyclonal antibody at 0.5ug/mL. The blot was developed using chemiluminescence (ECL) method.)
Background: Protein C inhibitor (PCI), also known as SERPINA5, is serine protease inhibitor of serpin type that is found in most tissues and fluids, including blood plasma, seminal plasma and urine of human. It is a 52kD glycoprotein and belongs to serine protease inhibitor (Serpin) super family of protein. This family member is a glycoprotein that can inhibit several serine proteases, including protein C and various plasminogen activators and kallikreins, and it thus plays diverse roles in hemostasis and thrombosis in multiple organs. This gene is mapped on the q arm of chromosome 14.
2. Pratt CW, Church FC (May 1992). "Heparin binding to protein C inhibitor" (PDF). The Journal of Biological Chemistry. 267 (13): 8789-94.
3. Suzuki K, Nishioka J, Hashimoto S (1983). "Protein C inhibitor. Purification from human plasma and characterization". The Journal of Biological Chemistry. 258 (1): 163-8.
NCBI and Uniprot Product Information
Customer Reviews
Loading reviews...
Share Your Experience
Similar Products
Product Notes
The SERPINA5 serpina5 (Catalog #AAA46736) is an Antibody produced from Rabbit and is intended for research purposes only. The product is available for immediate purchase. The Anti-SERPINA5 Antibody reacts with Human, Mouse, Rat and may cross-react with other species as described in the data sheet. AAA Biotech's SERPINA5 can be used in a range of immunoassay formats including, but not limited to, IHC (Immunohistochemistry), WB (Western Blot). Researchers should empirically determine the suitability of the SERPINA5 serpina5 for an application not listed in the data sheet. Researchers commonly develop new applications and it is an integral, important part of the investigative research process. It is sometimes possible for the material contained within the vial of "SERPINA5, Polyclonal Antibody" to become dispersed throughout the inside of the vial, particularly around the seal of said vial, during shipment and storage. We always suggest centrifuging these vials to consolidate all of the liquid away from the lid and to the bottom of the vial prior to opening. Please be advised that certain products may require dry ice for shipping and that, if this is the case, an additional dry ice fee may also be required.Precautions
All products in the AAA Biotech catalog are strictly for research-use only, and are absolutely not suitable for use in any sort of medical, therapeutic, prophylactic, in-vivo, or diagnostic capacity. By purchasing a product from AAA Biotech, you are explicitly certifying that said products will be properly tested and used in line with industry standard. AAA Biotech and its authorized distribution partners reserve the right to refuse to fulfill any order if we have any indication that a purchaser may be intending to use a product outside of our accepted criteria.Disclaimer
Though we do strive to guarantee the information represented in this datasheet, AAA Biotech cannot be held responsible for any oversights or imprecisions. AAA Biotech reserves the right to adjust any aspect of this datasheet at any time and without notice. It is the responsibility of the customer to inform AAA Biotech of any product performance issues observed or experienced within 30 days of receipt of said product. To see additional details on this or any of our other policies, please see our Terms & Conditions page.Item has been added to Shopping Cart
If you are ready to order, navigate to Shopping Cart and get ready to checkout.
