Rabbit SERPINF1 Polyclonal Antibody | anti-SERPINF1 antibody
SERPINF1 antibody - N-terminal region
Gene Names
SERPINF1; OI6; OI12; PEDF; EPC-1; PIG35
Reactivity
Dog, Guinea Pig, Horse, Human, Mouse, Rat, Sheep
Applications
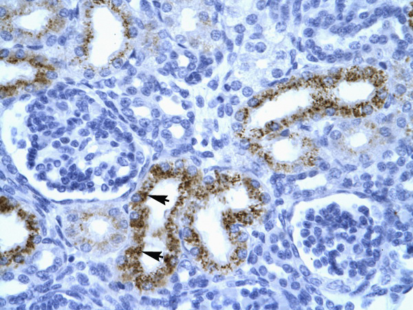
Western Blot, Immunohistochemistry
Purity
Affinity Purified
Synonyms
SERPINF1, Antibody; SERPINF1 antibody - N-terminal region; anti-SERPINF1 antibody
Host
Rabbit
Reactivity
Dog, Guinea Pig, Horse, Human, Mouse, Rat, Sheep
Clonality
Polyclonal
Purity/Purification
Affinity Purified
Form/Format
Liquid. Purified antibody supplied in 1x PBS buffer with 0.09% (w/v) sodium azide and 2% sucrose.
Sequence
Synthetic peptide located within the following region: GALLGHSSCQNPASPPEEGSPDPDSTGALVEEEDPFFKVPVNKLAAAVSN
Sequence Length
418
Applicable Applications for anti-SERPINF1 antibody
WB (Western Blot), IHC (Immunohistochemistry)
Homology
Dog: 78%; Guinea Pig: 80%; Horse: 80%; Human: 100%; Mouse: 86%; Rat: 75%; Sheep: 86%
Immunogen
The immunogen is a synthetic peptide directed towards the N terminal region of human SERPINF1
Preparation and Storage
For short term use, store at 2-8 degree C up to 1 week. For long term storage, store at -20 degree C in small aliquots to prevent freeze-thaw cycles.
Related Product Information for anti-SERPINF1 antibody
This is a rabbit polyclonal antibody against SERPINF1. It was validated on Western Blot and immunohistochemistry
Target Description: The SERPINF1 gene may play a significant role in determining the balance of angiogenesis/ antiangiogenesis during atherogenesis. A novel role of extracellular phosphorylation is shown to completely change the nature of this gene from a neutrophic to an antiangiogenic factor.
Target Description: The SERPINF1 gene may play a significant role in determining the balance of angiogenesis/ antiangiogenesis during atherogenesis. A novel role of extracellular phosphorylation is shown to completely change the nature of this gene from a neutrophic to an antiangiogenic factor.
Product Categories/Family for anti-SERPINF1 antibody
NCBI and Uniprot Product Information
NCBI GI #
NCBI GeneID
NCBI Accession #
NCBI GenBank Nucleotide #
UniProt Accession #
Molecular Weight
46kDa
NCBI Official Full Name
pigment epithelium-derived factor isoform 1
NCBI Official Synonym Full Names
serpin family F member 1
NCBI Official Symbol
SERPINF1
NCBI Official Synonym Symbols
OI6; OI12; PEDF; EPC-1; PIG35
NCBI Protein Information
pigment epithelium-derived factor
UniProt Protein Name
Pigment epithelium-derived factor
UniProt Gene Name
SERPINF1
UniProt Synonym Gene Names
PEDF; PEDF
UniProt Entry Name
PEDF_HUMAN
Customer Reviews
Loading reviews...
Share Your Experience
Similar Products
Product Notes
The SERPINF1 serpinf1 (Catalog #AAA201732) is an Antibody produced from Rabbit and is intended for research purposes only. The product is available for immediate purchase. The SERPINF1 antibody - N-terminal region reacts with Dog, Guinea Pig, Horse, Human, Mouse, Rat, Sheep and may cross-react with other species as described in the data sheet. AAA Biotech's SERPINF1 can be used in a range of immunoassay formats including, but not limited to, WB (Western Blot), IHC (Immunohistochemistry). Researchers should empirically determine the suitability of the SERPINF1 serpinf1 for an application not listed in the data sheet. Researchers commonly develop new applications and it is an integral, important part of the investigative research process. The amino acid sequence is listed below: Synthetic peptide located within the following region: GALLGHSSCQ NPASPPEEGS PDPDSTGALV EEEDPFFKVP VNKLAAAVSN. It is sometimes possible for the material contained within the vial of "SERPINF1, Polyclonal Antibody" to become dispersed throughout the inside of the vial, particularly around the seal of said vial, during shipment and storage. We always suggest centrifuging these vials to consolidate all of the liquid away from the lid and to the bottom of the vial prior to opening. Please be advised that certain products may require dry ice for shipping and that, if this is the case, an additional dry ice fee may also be required.Precautions
All products in the AAA Biotech catalog are strictly for research-use only, and are absolutely not suitable for use in any sort of medical, therapeutic, prophylactic, in-vivo, or diagnostic capacity. By purchasing a product from AAA Biotech, you are explicitly certifying that said products will be properly tested and used in line with industry standard. AAA Biotech and its authorized distribution partners reserve the right to refuse to fulfill any order if we have any indication that a purchaser may be intending to use a product outside of our accepted criteria.Disclaimer
Though we do strive to guarantee the information represented in this datasheet, AAA Biotech cannot be held responsible for any oversights or imprecisions. AAA Biotech reserves the right to adjust any aspect of this datasheet at any time and without notice. It is the responsibility of the customer to inform AAA Biotech of any product performance issues observed or experienced within 30 days of receipt of said product. To see additional details on this or any of our other policies, please see our Terms & Conditions page.Item has been added to Shopping Cart
If you are ready to order, navigate to Shopping Cart and get ready to checkout.
