Rabbit anti-Human, Mouse SESN3 Polyclonal Antibody | anti-SESN3 antibody
SESN3 Polyclonal Antibody
Gene Names
SESN3; SEST3
Reactivity
Human, Mouse
Applications
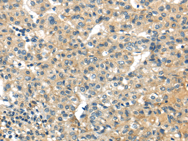
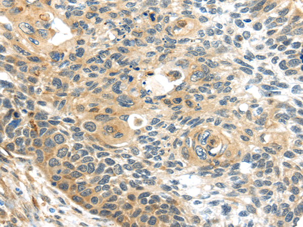
Immunohistochemistry, ELISA
Purity
Antigen Affinity Purification
Synonyms
SESN3, Antibody; SESN3 Polyclonal Antibody; SEST3; anti-SESN3 antibody
Host
Rabbit
Reactivity
Human, Mouse
Clonality
Polyclonal
Isotype
IgG
Purity/Purification
Antigen Affinity Purification
Concentration
1.2mg/ml (varies by lot)
Sequence Length
353
Applicable Applications for anti-SESN3 antibody
IHC (Immunohistochemistry), ELISA
Immunogen
Full length fusion protein
Buffer
PBS with 0.05% sodium azide, 50% glycerol, pH7.3
Preparation and Storage
Store at -20 degree C. Avoid freeze/thaw cycles.
Related Product Information for anti-SESN3 antibody
This gene encodes a member of the sestrin family of stress-induced proteins. The encoded protein reduces the levels of intracellular reactive oxygen species induced by activated Ras downstream of RAC-alpha serine/threonine-protein kinase (Akt) and FoxO transcription factor. The protein is required for normal regulation of blood glucose, insulin resistance and plays a role in lipid storage in obesity. Alternative splicing results in multiple transcript variants.
NCBI and Uniprot Product Information
NCBI GI #
NCBI GeneID
NCBI Accession #
NCBI GenBank Nucleotide #
Molecular Weight
41,522 Da
NCBI Official Full Name
sestrin-3 isoform 2
NCBI Official Synonym Full Names
sestrin 3
NCBI Official Symbol
SESN3
NCBI Official Synonym Symbols
SEST3
NCBI Protein Information
sestrin-3
UniProt Protein Name
Sestrin-3
UniProt Gene Name
SESN3
UniProt Entry Name
SESN3_HUMAN
Similar Products
Product Notes
The SESN3 sesn3 (Catalog #AAA173032) is an Antibody produced from Rabbit and is intended for research purposes only. The product is available for immediate purchase. The SESN3 Polyclonal Antibody reacts with Human, Mouse and may cross-react with other species as described in the data sheet. AAA Biotech's SESN3 can be used in a range of immunoassay formats including, but not limited to, IHC (Immunohistochemistry), ELISA. Researchers should empirically determine the suitability of the SESN3 sesn3 for an application not listed in the data sheet. Researchers commonly develop new applications and it is an integral, important part of the investigative research process. It is sometimes possible for the material contained within the vial of "SESN3, Polyclonal Antibody" to become dispersed throughout the inside of the vial, particularly around the seal of said vial, during shipment and storage. We always suggest centrifuging these vials to consolidate all of the liquid away from the lid and to the bottom of the vial prior to opening. Please be advised that certain products may require dry ice for shipping and that, if this is the case, an additional dry ice fee may also be required.Precautions
All products in the AAA Biotech catalog are strictly for research-use only, and are absolutely not suitable for use in any sort of medical, therapeutic, prophylactic, in-vivo, or diagnostic capacity. By purchasing a product from AAA Biotech, you are explicitly certifying that said products will be properly tested and used in line with industry standard. AAA Biotech and its authorized distribution partners reserve the right to refuse to fulfill any order if we have any indication that a purchaser may be intending to use a product outside of our accepted criteria.Disclaimer
Though we do strive to guarantee the information represented in this datasheet, AAA Biotech cannot be held responsible for any oversights or imprecisions. AAA Biotech reserves the right to adjust any aspect of this datasheet at any time and without notice. It is the responsibility of the customer to inform AAA Biotech of any product performance issues observed or experienced within 30 days of receipt of said product. To see additional details on this or any of our other policies, please see our Terms & Conditions page.Item has been added to Shopping Cart
If you are ready to order, navigate to Shopping Cart and get ready to checkout.
