Rabbit SGTA Polyclonal Antibody | anti-SGTA antibody
Phospho-SGTA (Ser301) Antibody
Predicted: Pig, Bovine, Sheep, Dog, Chicken, Xenopus
Predicted: Pig, Bovine, Sheep, Dog, Chicken, Xenopus
WB (Western Blot)
(Western blot analysis of extracts of Mouse liver tissue sample,using Phospho-SGTA (Ser301) Antibody.)
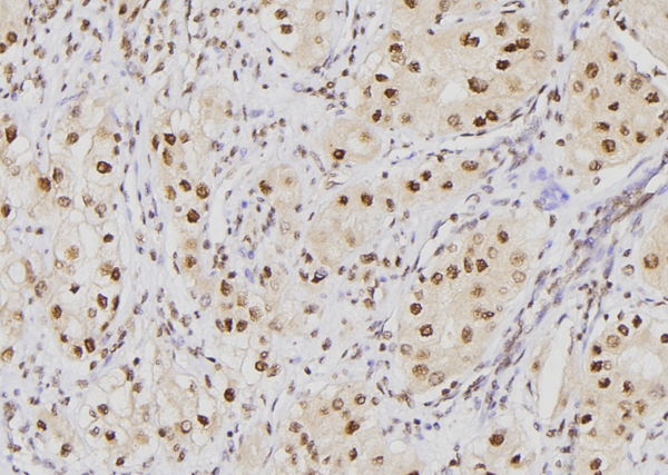
IHC (Immunohistochemisry)
(At 1/100 staining mouse heart tissue sections by IHC-P. The tissue was formaldehyde fixed and a heat mediated antigen retrieval step in citrate buffer was performed. The tissue was then blocked and incubated with the antibody for 1.5 hours at 22 degree C. An HRP conjugated goat anti-rabbit antibody was used as the secondary)
IHC (Immunohiostchemistry)
(At 1/100 staining rat kidney tissue sections by IHC-P. The tissue was formaldehyde fixed and a heat mediated antigen retrieval step in citrate buffer was performed. The tissue was then blocked and incubated with the antibody for 1.5 hours at 22 degree C. An HRP conjugated goat anti-rabbit antibody was used as the secondary)
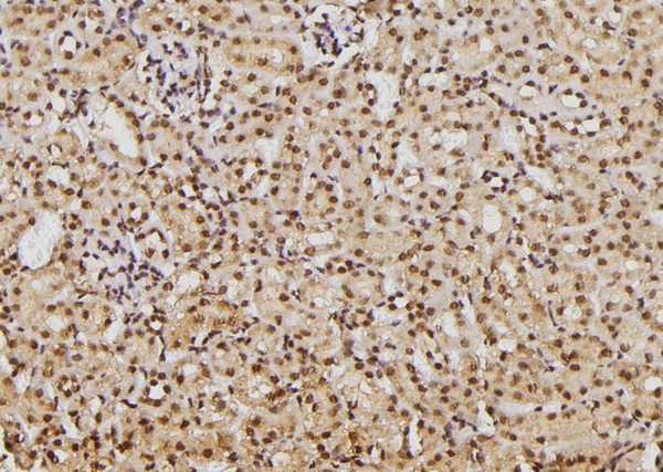
IHC (Immunohistochemistry)
(At 1/100 staining human kidney tissue sections by IHC-P. The tissue was formaldehyde fixed and a heat mediated antigen retrieval step in citrate buffer was performed. The tissue was then blocked and incubated with the antibody for 1.5 hours at 22 degree C. An HRP conjugated goat anti-rabbit antibody was used as the secondary)
Subunit Structure: Homodimer (PubMed:15708368). Homooligomer (By similarity). Interacts with DNAJC5 and DNAJC5B. Interacts (via TPR repeats) with HSP90AA1 (PubMed:15708368). Interacts (via Gln-rich region) with SLC2A1 (PubMed:15708368). Interacts with HSP90AB1 (PubMed:16580629). Interacts (via TPR repeats) with HSPA8/Hsc70; the interaction is direct (PubMed:24675744). Interacts with BAG6 (via ubiquitin-like domain); interaction prevents interaction between BAG6 and RNF126 (PubMed:23129660, PubMed:25179605, PubMed:27193484). Forms a multiprotein complex, at least composed of DNAJB12, DNAJB14, HSPA8/Hsc70 and SGTA; interaction with DNAJB14 and HSPA8/Hsc70 is direct (PubMed:24675744).
Similarity: The second tetratricopeptide repeat (TPR 2) mediates the interaction with SARS-CoV accessory protein 7a. Belongs to the SGT family.
NCBI and Uniprot Product Information
Predicted: 35 kDa
Customer Reviews
Loading reviews...
Share Your Experience
Similar Products
Product Notes
The SGTA sgta (Catalog #AAA328304) is an Antibody produced from Rabbit and is intended for research purposes only. The product is available for immediate purchase. The Phospho-SGTA (Ser301) Antibody reacts with Human, Mouse, Rat Predicted: Pig, Bovine, Sheep, Dog, Chicken, Xenopus and may cross-react with other species as described in the data sheet. AAA Biotech's SGTA can be used in a range of immunoassay formats including, but not limited to, ELISA (Peptide ELISA), IHC (Immunohistochemistry), WB (Western Blot). Researchers should empirically determine the suitability of the SGTA sgta for an application not listed in the data sheet. Researchers commonly develop new applications and it is an integral, important part of the investigative research process. It is sometimes possible for the material contained within the vial of "SGTA, Polyclonal Antibody" to become dispersed throughout the inside of the vial, particularly around the seal of said vial, during shipment and storage. We always suggest centrifuging these vials to consolidate all of the liquid away from the lid and to the bottom of the vial prior to opening. Please be advised that certain products may require dry ice for shipping and that, if this is the case, an additional dry ice fee may also be required.Precautions
All products in the AAA Biotech catalog are strictly for research-use only, and are absolutely not suitable for use in any sort of medical, therapeutic, prophylactic, in-vivo, or diagnostic capacity. By purchasing a product from AAA Biotech, you are explicitly certifying that said products will be properly tested and used in line with industry standard. AAA Biotech and its authorized distribution partners reserve the right to refuse to fulfill any order if we have any indication that a purchaser may be intending to use a product outside of our accepted criteria.Disclaimer
Though we do strive to guarantee the information represented in this datasheet, AAA Biotech cannot be held responsible for any oversights or imprecisions. AAA Biotech reserves the right to adjust any aspect of this datasheet at any time and without notice. It is the responsibility of the customer to inform AAA Biotech of any product performance issues observed or experienced within 30 days of receipt of said product. To see additional details on this or any of our other policies, please see our Terms & Conditions page.Item has been added to Shopping Cart
If you are ready to order, navigate to Shopping Cart and get ready to checkout.
