Rabbit SH2D1A Polyclonal Antibody | anti-SH2D1A antibody
SH2D1A Antibody
Phosphate buffered saline, pH 7.4, 150mM NaCl, 0.02% sodium azide and 50% glycerol.
WB (Western Blot)
(Western blot analysis of thymus lysate using SH2D1A antibody. The lane on the left is treated with the antigen-specific peptide.)
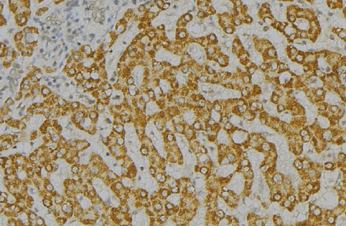
IHC (Immunohistochemistry)
(AAA326057 at 1/100 staining Mouse liver tissue by IHC-P. The sample was formaldehyde fixed and a heat mediated antigen retrieval step in citrate buffer was performed. The sample was then blocked and incubated with the antibody for 1.5 hours at 22 degree C. An HRP conjugated goat anti-rabbit antibody was used as the secondary.)
Function: Cytoplasmic adapter regulating receptors of the signaling lymphocytic activation molecule (SLAM) family such as SLAMF1, CD244, LY9, CD84, SLAMF6 and SLAMF7. In SLAM signaling seems to cooperate with SH2D1B/EAT-2. Initially it has been proposed that association with SLAMF1 prevents SLAMF1 binding to inhibitory effectors including INPP5D/SHIP1 and PTPN11/SHP-2 (PubMed:11806999). However, by simultaneous interactions, recruits FYN which subsequently phosphorylates and activates SLAMF1 (PubMed:12458214). Positively regulates CD244/2B4-and CD84-mediated natural killer (NK) cell functions. Can also promote CD48-, SLAMF6-, LY9-, and SLAMF7-mediated NK cell activation. In the context of NK cell-mediated cytotoxicity enhances conjugate formation with target cells (By similarity). May also regulate the activity of the neurotrophin receptors NTRK1, NTRK2 and NTRK3.
Subunit Structure: Interacts with NTRK1, NTRK2 and NTRK3 (By similarity). Interacts with CD84, CD244, LY9, SLAMF1 and FYN.
NCBI and Uniprot Product Information
Predicted: 15 kDa
Customer Reviews
Loading reviews...
Share Your Experience
Similar Products
Product Notes
The SH2D1A sh2d1a (Catalog #AAA326057) is an Antibody produced from Rabbit and is intended for research purposes only. The product is available for immediate purchase. The SH2D1A Antibody reacts with Human, Mouse, Rat and may cross-react with other species as described in the data sheet. AAA Biotech's SH2D1A can be used in a range of immunoassay formats including, but not limited to, ELISA, IHC (Immunohistochemistry), WB (Western Blot). Researchers should empirically determine the suitability of the SH2D1A sh2d1a for an application not listed in the data sheet. Researchers commonly develop new applications and it is an integral, important part of the investigative research process. It is sometimes possible for the material contained within the vial of "SH2D1A, Polyclonal Antibody" to become dispersed throughout the inside of the vial, particularly around the seal of said vial, during shipment and storage. We always suggest centrifuging these vials to consolidate all of the liquid away from the lid and to the bottom of the vial prior to opening. Please be advised that certain products may require dry ice for shipping and that, if this is the case, an additional dry ice fee may also be required.Precautions
All products in the AAA Biotech catalog are strictly for research-use only, and are absolutely not suitable for use in any sort of medical, therapeutic, prophylactic, in-vivo, or diagnostic capacity. By purchasing a product from AAA Biotech, you are explicitly certifying that said products will be properly tested and used in line with industry standard. AAA Biotech and its authorized distribution partners reserve the right to refuse to fulfill any order if we have any indication that a purchaser may be intending to use a product outside of our accepted criteria.Disclaimer
Though we do strive to guarantee the information represented in this datasheet, AAA Biotech cannot be held responsible for any oversights or imprecisions. AAA Biotech reserves the right to adjust any aspect of this datasheet at any time and without notice. It is the responsibility of the customer to inform AAA Biotech of any product performance issues observed or experienced within 30 days of receipt of said product. To see additional details on this or any of our other policies, please see our Terms & Conditions page.Item has been added to Shopping Cart
If you are ready to order, navigate to Shopping Cart and get ready to checkout.
