Rabbit SHP-2 Polyclonal Antibody | anti-SHP-2 antibody
Phospho-SHP-2 (Tyr580) Antibody
Phosphate buffered saline, pH 7.4, 150mM NaCl, 0.02% sodium azide and 50% glycerol.
IF (Immunofluorescence)
(AAA321706 staining A431 by IF/ICC. The sample were fixed with PFA and permeabilized in 0.1% Triton X-100, then blocked in 10% serum for 45 minutes at 25 degree C. The primary antibody was diluted at 1/200 and incubated with the sample for 1 hour at 37 degree C. An Alexa Fluor 594 conjugated goat anti-rabbit IgG (H+L) Ab, diluted at 1/600, was used as the secondary antibody.)
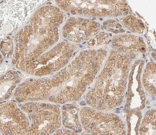
IHC (Immunohiostchemistry)
(AAA321706 at 1/200 staining human kidney tissue sections by IHC-P. The tissue was formaldehyde fixed and a heat mediated antigen retrieval step in citrate buffer was performed. The tissue was then blocked and incubated with the antibody for 1.5 hours at 22 degree C. An HRP conjugated goat anti-rabbit antibody was used as the secondary.)
WB (Western Blot)
(Western blot analysis of SHP-2 phosphorylation expression in A431 whole cell lysates, The lane on the left is treated with the antigen-specific peptide.)
Function: Acts downstream of various receptor and cytoplasmic protein tyrosine kinases to participate in the signal transduction from the cell surface to the nucleus. Positively regulates MAPK signal transduction pathway (PubMed:28074573). Dephosphorylates GAB1, ARHGAP35 and EGFR (PubMed:28074573). Dephosphorylates ROCK2 at 'Tyr-722' resulting in stimulatation of its RhoA binding activity. Dephosphorylates CDC73 (PubMed:26742426).
Subunit Structure: Interacts with phosphorylated LIME1 and BCAR3. Interacts with SHB and INPP5D/SHIP1 (By similarity). Interacts with MILR1 (tyrosine-phosphorylated). Interacts with FLT1 (tyrosine-phosphorylated), FLT3 (tyrosine-phosphorylated), FLT4 (tyrosine-phosphorylated), KIT and GRB2. Interacts with PDGFRA (tyrosine phosphorylated). Interacts (via SH2 domain) with TEK/TIE2 (tyrosine phosphorylated) (By similarity). Interacts with PTPNS1 and CD84. Interacts with phosphorylated SIT1 and MPZL1. Interacts with FCRL4, FCRL6 and ANKHD1. Interacts with KIR2DL1; the interaction is enhanced by ARRB2. Interacts with GAB2. Interacts with TERT; the interaction retains TERT in the nucleus. Interacts with PECAM1 and FER. Interacts with EPHA2 (activated); participates in PTK2/FAK1 dephosphorylation in EPHA2 downstream signaling. Interacts with ROS1; mediates PTPN11 phosphorylation. Interacts with PDGFRB (tyrosine phosphorylated); this interaction increases the PTPN11 phosphatase activity. Interacts with GAREM1 isoform 1 (tyrosine phosphorylated); the interaction increases MAPK/ERK activity and does not affect the GRB2/SOS complex formation. Interacts with CDC73 (PubMed:26742426). Interacts with CEACAM1 (via cytoplasmic domain); this interaction depends on the monomer/dimer equilibrium and is phosphorylation-dependent (By similarity). Interacts with MPIG6B (via ITIM motif) (PubMed:23112346). Interacts with SIGLEC10 (By similarity). Interacts with FCRL3 (via phosphorylated ITIM motifs) (PubMed:11162587, PubMed:19843936).
Post-translational Modifications: Phosphorylated on Tyr-546 and Tyr-584 upon receptor protein tyrosine kinase activation; which creates a binding site for GRB2 and other SH2-containing proteins. Phosphorylated upon activation of the receptor-type kinase FLT3. Phosphorylated upon activation of the receptor-type kinase PDGFRA (By similarity). Phosphorylated by activated PDGFRB.
Similarity: The SH2 domains repress phosphatase activity. Binding of these domains to phosphotyrosine-containing proteins relieves this auto-inhibition, possibly by inducing a conformational change in the enzyme. Belongs to the protein-tyrosine phosphatase family. Non-receptor class 2 subfamily.
NCBI and Uniprot Product Information
Predicted: 69 kDa
Customer Reviews
Loading reviews...
Share Your Experience
Similar Products
Product Notes
The SHP-2 ptpn11 (Catalog #AAA321706) is an Antibody produced from Rabbit and is intended for research purposes only. The product is available for immediate purchase. The Phospho-SHP-2 (Tyr580) Antibody reacts with Human, Mouse, Rat and may cross-react with other species as described in the data sheet. AAA Biotech's SHP-2 can be used in a range of immunoassay formats including, but not limited to, ELISA, ICC (Immunocytochemistry), IF (Immunofluorescence), IHC (Immunohistochemistry), WB (Western Blot). Researchers should empirically determine the suitability of the SHP-2 ptpn11 for an application not listed in the data sheet. Researchers commonly develop new applications and it is an integral, important part of the investigative research process. It is sometimes possible for the material contained within the vial of "SHP-2, Polyclonal Antibody" to become dispersed throughout the inside of the vial, particularly around the seal of said vial, during shipment and storage. We always suggest centrifuging these vials to consolidate all of the liquid away from the lid and to the bottom of the vial prior to opening. Please be advised that certain products may require dry ice for shipping and that, if this is the case, an additional dry ice fee may also be required.Precautions
All products in the AAA Biotech catalog are strictly for research-use only, and are absolutely not suitable for use in any sort of medical, therapeutic, prophylactic, in-vivo, or diagnostic capacity. By purchasing a product from AAA Biotech, you are explicitly certifying that said products will be properly tested and used in line with industry standard. AAA Biotech and its authorized distribution partners reserve the right to refuse to fulfill any order if we have any indication that a purchaser may be intending to use a product outside of our accepted criteria.Disclaimer
Though we do strive to guarantee the information represented in this datasheet, AAA Biotech cannot be held responsible for any oversights or imprecisions. AAA Biotech reserves the right to adjust any aspect of this datasheet at any time and without notice. It is the responsibility of the customer to inform AAA Biotech of any product performance issues observed or experienced within 30 days of receipt of said product. To see additional details on this or any of our other policies, please see our Terms & Conditions page.Item has been added to Shopping Cart
If you are ready to order, navigate to Shopping Cart and get ready to checkout.
