Rabbit anti-Human SHROOM2 Polyclonal Antibody | anti-SHROOM2 antibody
SHROOM2 Antibody
Gene Names
SHROOM2; APXL; HSAPXL
Reactivity
Human
Applications
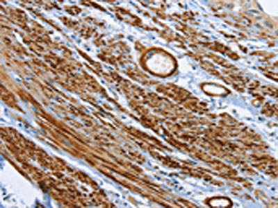
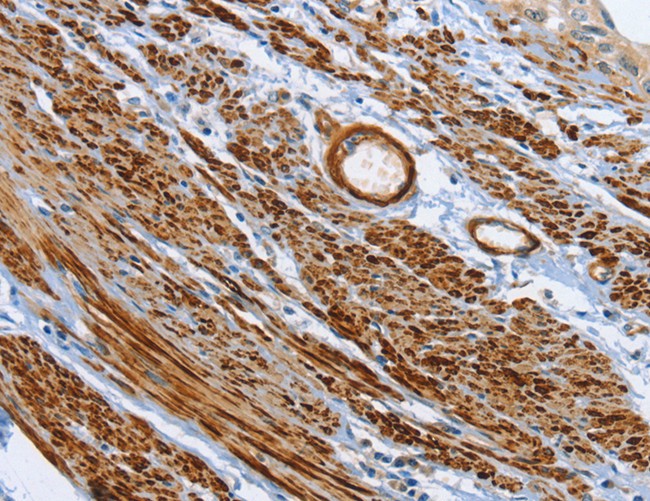
Immunohistochemistry
Purity
Antigen affinity purification.
Synonyms
SHROOM2, Antibody; SHROOM2 Antibody; APXL; HSAPXL; anti-SHROOM2 antibody
Host
Rabbit
Reactivity
Human
Clonality
Polyclonal
Specificity
The antibody detects endogenous levels of total SHROOM2 protein.
Purity/Purification
Antigen affinity purification.
Form/Format
Rabbit IgG in pH7.3 PBS, 0.05% NaN3, 50% Glycerol.
Concentration
2 mg/ml (varies by lot)
Sequence Length
1616
Applicable Applications for anti-SHROOM2 antibody
IHC (Immunohistochemistry)
Immunogen Type
Peptide
Immunogen Description
Synthetic peptide corresponding to residues near the N terminal of human shroom family member 2
Target Name
SHROOM2
Preparation and Storage
Store at -20 degree C
Related Product Information for anti-SHROOM2 antibody
The protein encoded by this gene shares significant similarities with the apical protein from Xenopus laevis which is implicated in amiloride-sensitive sodium channel activity. This gene is a strong candidate gene for ocular albinism type 1 syndrome.
Product Categories/Family for anti-SHROOM2 antibody
NCBI and Uniprot Product Information
NCBI GI #
NCBI GeneID
NCBI Accession #
NCBI GenBank Nucleotide #
Molecular Weight
176,410 Da
NCBI Official Full Name
protein Shroom2
NCBI Official Synonym Full Names
shroom family member 2
NCBI Official Symbol
SHROOM2
NCBI Official Synonym Symbols
APXL; HSAPXL
NCBI Protein Information
protein Shroom2
UniProt Protein Name
Protein Shroom2
UniProt Gene Name
SHROOM2
UniProt Synonym Gene Names
APXL
UniProt Entry Name
SHRM2_HUMAN
Customer Reviews
Loading reviews...
Share Your Experience
Similar Products
Product Notes
The SHROOM2 shroom2 (Catalog #AAA306004) is an Antibody produced from Rabbit and is intended for research purposes only. The product is available for immediate purchase. The SHROOM2 Antibody reacts with Human and may cross-react with other species as described in the data sheet. AAA Biotech's SHROOM2 can be used in a range of immunoassay formats including, but not limited to, IHC (Immunohistochemistry). Researchers should empirically determine the suitability of the SHROOM2 shroom2 for an application not listed in the data sheet. Researchers commonly develop new applications and it is an integral, important part of the investigative research process. It is sometimes possible for the material contained within the vial of "SHROOM2, Polyclonal Antibody" to become dispersed throughout the inside of the vial, particularly around the seal of said vial, during shipment and storage. We always suggest centrifuging these vials to consolidate all of the liquid away from the lid and to the bottom of the vial prior to opening. Please be advised that certain products may require dry ice for shipping and that, if this is the case, an additional dry ice fee may also be required.Precautions
All products in the AAA Biotech catalog are strictly for research-use only, and are absolutely not suitable for use in any sort of medical, therapeutic, prophylactic, in-vivo, or diagnostic capacity. By purchasing a product from AAA Biotech, you are explicitly certifying that said products will be properly tested and used in line with industry standard. AAA Biotech and its authorized distribution partners reserve the right to refuse to fulfill any order if we have any indication that a purchaser may be intending to use a product outside of our accepted criteria.Disclaimer
Though we do strive to guarantee the information represented in this datasheet, AAA Biotech cannot be held responsible for any oversights or imprecisions. AAA Biotech reserves the right to adjust any aspect of this datasheet at any time and without notice. It is the responsibility of the customer to inform AAA Biotech of any product performance issues observed or experienced within 30 days of receipt of said product. To see additional details on this or any of our other policies, please see our Terms & Conditions page.Item has been added to Shopping Cart
If you are ready to order, navigate to Shopping Cart and get ready to checkout.
