Rabbit anti-Human SIAH2 Polyclonal Antibody | anti-SIAH2 antibody
SIAH2 Rabbit anti-Human Polyclonal Antibody
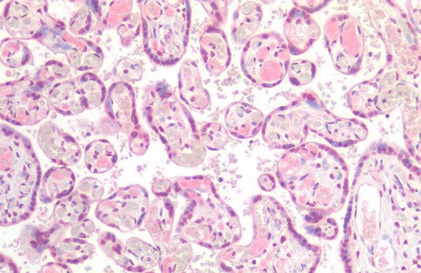
IHC (Immunohiostchemistry)
(SIAH2 Antibody-Human Placenta: Formalin-Fixed, Paraffin-Embedded (FFPE))
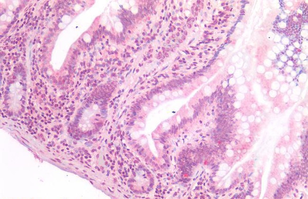
IHC (Immunohistochemistry)
(SIAH2 Antibody-Human Small Intestine: Formalin-Fixed, Paraffin-Embedded (FFPE))
SIAH2 is a novel target in breast and other cancers; in a study on advanced and metastatic breast cancer, Siewertz van Reesama et al found that both SIAH and EGFR outperform standard breast cancer biomarkers in predicting advanced stages of metastasis SIAH2 is a downstream member of the RAS pathway, where it is required for signal transduction. SIAH2 expression acts as a sign of activation of the RAS pathway, and its deficiency has been found to reduce MAPK signaling. SIAH2 has been found to be overexpressed in invasive breast cancers versus ductal carcinomas and normal tissue, where it may cause aberrant activation of the ERK pathway, encouraging proliferation and simultaneous dysregulation of apoptotic signaling. In immunohistochemistry, SIAH2 has both cytoplasmic and nuclear positivity in a majority of tissues.
NCBI and Uniprot Product Information
Customer Reviews
Loading reviews...
Share Your Experience
Similar Products
Product Notes
The SIAH2 siah2 (Catalog #AAA163035) is an Antibody produced from Rabbit and is intended for research purposes only. The product is available for immediate purchase. The SIAH2 Rabbit anti-Human Polyclonal Antibody reacts with Human and may cross-react with other species as described in the data sheet. AAA Biotech's SIAH2 can be used in a range of immunoassay formats including, but not limited to, IHC (Immunohistochemistry). Researchers should empirically determine the suitability of the SIAH2 siah2 for an application not listed in the data sheet. Researchers commonly develop new applications and it is an integral, important part of the investigative research process. It is sometimes possible for the material contained within the vial of "SIAH2, Polyclonal Antibody" to become dispersed throughout the inside of the vial, particularly around the seal of said vial, during shipment and storage. We always suggest centrifuging these vials to consolidate all of the liquid away from the lid and to the bottom of the vial prior to opening. Please be advised that certain products may require dry ice for shipping and that, if this is the case, an additional dry ice fee may also be required.Precautions
All products in the AAA Biotech catalog are strictly for research-use only, and are absolutely not suitable for use in any sort of medical, therapeutic, prophylactic, in-vivo, or diagnostic capacity. By purchasing a product from AAA Biotech, you are explicitly certifying that said products will be properly tested and used in line with industry standard. AAA Biotech and its authorized distribution partners reserve the right to refuse to fulfill any order if we have any indication that a purchaser may be intending to use a product outside of our accepted criteria.Disclaimer
Though we do strive to guarantee the information represented in this datasheet, AAA Biotech cannot be held responsible for any oversights or imprecisions. AAA Biotech reserves the right to adjust any aspect of this datasheet at any time and without notice. It is the responsibility of the customer to inform AAA Biotech of any product performance issues observed or experienced within 30 days of receipt of said product. To see additional details on this or any of our other policies, please see our Terms & Conditions page.Item has been added to Shopping Cart
If you are ready to order, navigate to Shopping Cart and get ready to checkout.
