anti-Human, Rat SKAP55 Polyclonal Antibody | anti-SKAP55 antibody
Anti-SKAP55 Antibody
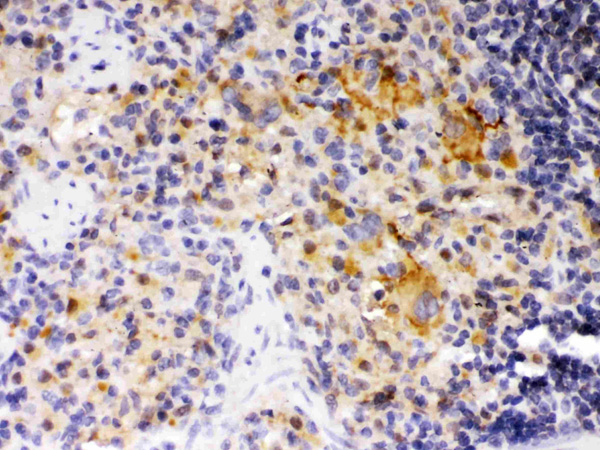
IHC (Immunohiostchemistry)
(SKAP55 was detected in paraffin-embedded sections of rat spleen tissues using rabbit anti- SKAP55 Antigen Affinity purified polyclonal antibody at 1 ug/mL. The immunohistochemical section was developed using SABC method.)
WB (Western Blot)
(Western blot analysis of SKAP55 expression in PANC whole cell lysates (lane 1) and JURKAT whole cell lysates (lane 2). SKAP55 at 60KD was detected using rabbit anti- SKAP55 Antigen Affinity purified polyclonal antibody at0.5ug/mL. The blot was developed using chemiluminescence (ECL) method.)
Background: Src kinase-associated phosphoprotein 1 is an adapter protein that in humans is encoded by the SKAP1 gene. This gene encodes a T cell adaptor protein, a class of intracellular molecules with modular domains capable of recruiting additional proteins but that exhibit no intrinsic enzymatic activity. The encoded protein contains a unique N-terminal region followed by a PH domain and C-terminal SH3 domain. Along with the adhesion and degranulation-promoting adaptor protein, the encoded protein plays a critical role in inside-out signaling by coupling T-cell antigen receptor stimulation to the activation of integrins.
NCBI and Uniprot Product Information
Customer Reviews
Loading reviews...
Share Your Experience
Similar Products
Product Notes
The SKAP55 skap1 (Catalog #AAA46352) is an Antibody and is intended for research purposes only. The product is available for immediate purchase. The Anti-SKAP55 Antibody reacts with Human, Rat and may cross-react with other species as described in the data sheet. AAA Biotech's SKAP55 can be used in a range of immunoassay formats including, but not limited to, IHC (Immunohistochemistry), WB (Western Blot). Researchers should empirically determine the suitability of the SKAP55 skap1 for an application not listed in the data sheet. Researchers commonly develop new applications and it is an integral, important part of the investigative research process. It is sometimes possible for the material contained within the vial of "SKAP55, Polyclonal Antibody" to become dispersed throughout the inside of the vial, particularly around the seal of said vial, during shipment and storage. We always suggest centrifuging these vials to consolidate all of the liquid away from the lid and to the bottom of the vial prior to opening. Please be advised that certain products may require dry ice for shipping and that, if this is the case, an additional dry ice fee may also be required.Precautions
All products in the AAA Biotech catalog are strictly for research-use only, and are absolutely not suitable for use in any sort of medical, therapeutic, prophylactic, in-vivo, or diagnostic capacity. By purchasing a product from AAA Biotech, you are explicitly certifying that said products will be properly tested and used in line with industry standard. AAA Biotech and its authorized distribution partners reserve the right to refuse to fulfill any order if we have any indication that a purchaser may be intending to use a product outside of our accepted criteria.Disclaimer
Though we do strive to guarantee the information represented in this datasheet, AAA Biotech cannot be held responsible for any oversights or imprecisions. AAA Biotech reserves the right to adjust any aspect of this datasheet at any time and without notice. It is the responsibility of the customer to inform AAA Biotech of any product performance issues observed or experienced within 30 days of receipt of said product. To see additional details on this or any of our other policies, please see our Terms & Conditions page.Item has been added to Shopping Cart
If you are ready to order, navigate to Shopping Cart and get ready to checkout.
