Rabbit SKP1A Polyclonal Antibody | anti-SKP1A antibody
Phospho-SKP1A (Thr131) Antibody
Predicted: Pig, Zebrafish, Bovine, Horse, Sheep, Rabbit, Dog, Chicken, Xenopus
Predicted: Pig, Zebrafish, Bovine, Horse, Sheep, Rabbit, Dog, Chicken, Xenopus
WB (Western Blot)
(Western blot analysis of Phospho-SKP1A(Thr131) in lysates of COS7, using Phospho-SKP1A(Thr131) Antibody.)
IHC (Immunohistochemisry)
(At 1/100 staining mouse kidney tissue sections by IHC-P. The tissue was formaldehyde fixed and a heat mediated antigen retrieval step in citrate buffer was performed. The tissue was then blocked and incubated with the antibody for 1.5 hours at 22 degree C. An HRP conjugated goat anti-rabbit antibody was used as the secondary)
IHC (Immunohiostchemistry)
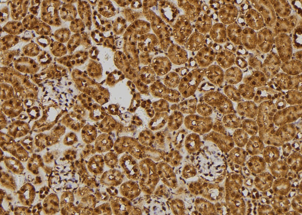
(At 1/100 staining rat kidney tissue sections by IHC-P. The tissue was formaldehyde fixed and a heat mediated antigen retrieval step in citrate buffer was performed. The tissue was then blocked and incubated with the antibody for 1.5 hours at 22 degree C. An HRP conjugated goat anti-rabbit antibody was used as the secondary)
IHC (Immunohistochemistry)
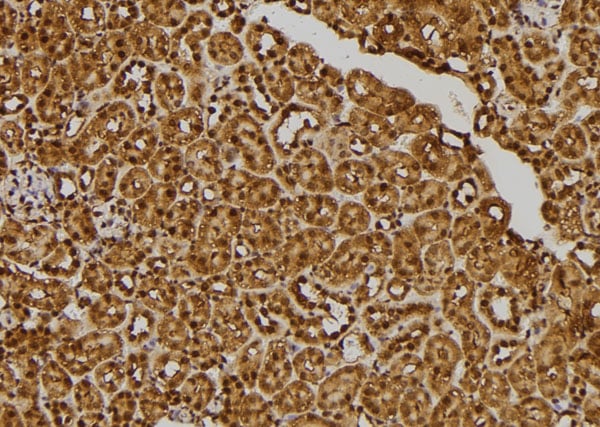
(At 1/100 staining human kidney tissue sections by IHC-P. The tissue was formaldehyde fixed and a heat mediated antigen retrieval step in citrate buffer was performed. The tissue was then blocked and incubated with the antibody for 1.5 hours at 22 degree C. An HRP conjugated goat anti-rabbit antibody was used as the secondary)
Subunit Structure: Component of multiple SCF (SKP1-CUL1-F-box) E3 ubiquitin-protein ligase complexes formed of CUL1, SKP1, RBX1 and a variable F-box domain-containing protein as substrate-specific subunit. Component of the SCF(FBXW11) complex containing FBXW11. Component of the SCF(SKP2) complex containing SKP2, in which it interacts directly with SKP1, SKP2 and RBX1. Component of the SCF(FBXW2) complex containing FBXw2. Component of the SCF(FBXO32) complex containing FBXO32. Component of the probable SCF(FBXO7) complex containing FBXO7. Component of the SCF(FBXO10) complex containing FBXO10. Component of the SCF(FBXO11) complex containing FBXO11. Component of the SCF(FBXO25) complex containing FBXO25. Component of the SCF(FBXO33) complex containing FBXO33. Component of the probable SCF(FBXO4) complex containing FBXO4. Component of the SCF(FBXO44) complex, composed of SKP1, CUL1 and FBXO44. Component of the SCF(BTRC) complex, composed of SKP1, CUL1 and BTRC. This complex binds phosphorylated NFKBIA. Part of a SCF complex consisting of CUL1, RBX1, SKP1 and FBXO2. Component of a SCF(SKP2)-like complex containing CUL1, SKP1, TRIM21 and SKP2. Component of the SCF(FBXO17) complex, composed of SKP1, CUL1 and FBXO17. Component of the SCF(FBXO27) complex, composed of SKP1, CUL1 and FBXO27. Component of the SCF(CCNF) complex consisting of CUL1, RBX1, SKP1 and CCNF. Component of the SCF(FBXL3) complex composed of CUL1, SKP1, RBX1 and FBXL3. Component of the SCF(FBXL21) complex composed of CUL1, SKP1, RBX1 and FBXL21. Component of the SCF(FBXO9) composed of CUL1, SKP1, RBX1 and FBXO9. Component of the SCF(FBXW7) composed of CUL1, SKP1, RBX1 and FBXW7. Interacts with CEP68 (PubMed:25503564). Interacts with NOTCH2 (PubMed:29149593).
Similarity: Belongs to the SKP1 family.
NCBI and Uniprot Product Information
Predicted: 19 kDa
Customer Reviews
Loading reviews...
Share Your Experience
Similar Products
Product Notes
The SKP1A skp1 (Catalog #AAA328235) is an Antibody produced from Rabbit and is intended for research purposes only. The product is available for immediate purchase. The Phospho-SKP1A (Thr131) Antibody reacts with Human, Mouse, Rat Predicted: Pig, Zebrafish, Bovine, Horse, Sheep, Rabbit, Dog, Chicken, Xenopus and may cross-react with other species as described in the data sheet. AAA Biotech's SKP1A can be used in a range of immunoassay formats including, but not limited to, ELISA (Peptide ELISA), IHC (Immunohistochemistry), WB (Western Blot). Researchers should empirically determine the suitability of the SKP1A skp1 for an application not listed in the data sheet. Researchers commonly develop new applications and it is an integral, important part of the investigative research process. It is sometimes possible for the material contained within the vial of "SKP1A, Polyclonal Antibody" to become dispersed throughout the inside of the vial, particularly around the seal of said vial, during shipment and storage. We always suggest centrifuging these vials to consolidate all of the liquid away from the lid and to the bottom of the vial prior to opening. Please be advised that certain products may require dry ice for shipping and that, if this is the case, an additional dry ice fee may also be required.Precautions
All products in the AAA Biotech catalog are strictly for research-use only, and are absolutely not suitable for use in any sort of medical, therapeutic, prophylactic, in-vivo, or diagnostic capacity. By purchasing a product from AAA Biotech, you are explicitly certifying that said products will be properly tested and used in line with industry standard. AAA Biotech and its authorized distribution partners reserve the right to refuse to fulfill any order if we have any indication that a purchaser may be intending to use a product outside of our accepted criteria.Disclaimer
Though we do strive to guarantee the information represented in this datasheet, AAA Biotech cannot be held responsible for any oversights or imprecisions. AAA Biotech reserves the right to adjust any aspect of this datasheet at any time and without notice. It is the responsibility of the customer to inform AAA Biotech of any product performance issues observed or experienced within 30 days of receipt of said product. To see additional details on this or any of our other policies, please see our Terms & Conditions page.Item has been added to Shopping Cart
If you are ready to order, navigate to Shopping Cart and get ready to checkout.
