Rabbit anti-Human, Rat SLAMF7 Polyclonal Antibody | anti-SLAMF7 antibody
SLAMF7 Polyclonal Antibody
Gene Names
SLAMF7; 19A; CS1; CD319; CRACC
Reactivity
Human, Rat
Applications
Immunohistochemistry, Western Blot
Purity
Affinity Purification
Synonyms
SLAMF7, Antibody; SLAMF7 Polyclonal Antibody; SLAMF7; 19A; CD319; CRACC; CS1; SLAM family member 7; anti-SLAMF7 antibody
Host
Rabbit
Reactivity
Human, Rat
Clonality
Polyclonal
Isotype
IgG
Purity/Purification
Affinity Purification
Form/Format
PBS with 0.02% sodium azide, 50% glycerol, pH7.3.
Concentration
2.84 mg/ml (varies by lot)
Sequence Length
165
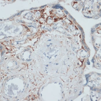
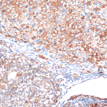
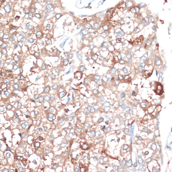
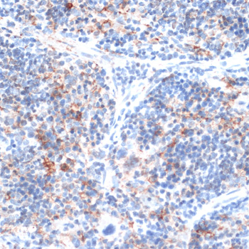
Applicable Applications for anti-SLAMF7 antibody
IHC (Immunohistochemistry), WB (Western Blot)
Immunogen
Recombinant fusion protein containing a sequence corresponding to amino acids 23-226 of human SLAMF7 (NP_067004.3).
Immunogen Sequence
SGPVKELVGSVGGAVTFPLKSKVKQVDSIVWTFNTTPLVTIQPEGGTIIVTQNRNRERVDFPDGGYSLKLSKLKKNDSGIYYVGIYSSSLQQPSTQEYVLHVYEHLSKPKVTMGLQSNKNGTCVTNLTCCMEHGEEDVIYTWKALGQAANESHNGSILPISWRWGESDMTFICVARNPVSRNFSSPILARKLCEGAADDPDSSM
Positive Samples
A-549, THP-1, Jurkat, 22Rv1
Cellular Location
Membrane, Single-Pass Type I Membrane Protein
Preparation and Storage
Store at -20 degree C. Avoid freeze/thaw cycles.
NCBI and Uniprot Product Information
NCBI GI #
NCBI GeneID
NCBI Accession #
NCBI GenBank Nucleotide #
UniProt Accession #
Molecular Weight
Calculated: 17kDa; 21kDa; 22kDa; 25kDa; 32kDa; 37kDa
Observed: 70kDa
Observed: 70kDa
NCBI Official Full Name
SLAM family member 7 isoform b
NCBI Official Synonym Full Names
SLAM family member 7
NCBI Official Symbol
SLAMF7
NCBI Official Synonym Symbols
19A; CS1; CD319; CRACC
NCBI Protein Information
SLAM family member 7
UniProt Protein Name
SLAM family member 7
UniProt Gene Name
SLAMF7
UniProt Synonym Gene Names
CS1; CRACC
UniProt Entry Name
SLAF7_HUMAN
Customer Reviews
Loading reviews...
Share Your Experience
Similar Products
Product Notes
The SLAMF7 slamf7 (Catalog #AAA281475) is an Antibody produced from Rabbit and is intended for research purposes only. The product is available for immediate purchase. The SLAMF7 Polyclonal Antibody reacts with Human, Rat and may cross-react with other species as described in the data sheet. AAA Biotech's SLAMF7 can be used in a range of immunoassay formats including, but not limited to, IHC (Immunohistochemistry), WB (Western Blot). Researchers should empirically determine the suitability of the SLAMF7 slamf7 for an application not listed in the data sheet. Researchers commonly develop new applications and it is an integral, important part of the investigative research process. It is sometimes possible for the material contained within the vial of "SLAMF7, Polyclonal Antibody" to become dispersed throughout the inside of the vial, particularly around the seal of said vial, during shipment and storage. We always suggest centrifuging these vials to consolidate all of the liquid away from the lid and to the bottom of the vial prior to opening. Please be advised that certain products may require dry ice for shipping and that, if this is the case, an additional dry ice fee may also be required.Precautions
All products in the AAA Biotech catalog are strictly for research-use only, and are absolutely not suitable for use in any sort of medical, therapeutic, prophylactic, in-vivo, or diagnostic capacity. By purchasing a product from AAA Biotech, you are explicitly certifying that said products will be properly tested and used in line with industry standard. AAA Biotech and its authorized distribution partners reserve the right to refuse to fulfill any order if we have any indication that a purchaser may be intending to use a product outside of our accepted criteria.Disclaimer
Though we do strive to guarantee the information represented in this datasheet, AAA Biotech cannot be held responsible for any oversights or imprecisions. AAA Biotech reserves the right to adjust any aspect of this datasheet at any time and without notice. It is the responsibility of the customer to inform AAA Biotech of any product performance issues observed or experienced within 30 days of receipt of said product. To see additional details on this or any of our other policies, please see our Terms & Conditions page.Item has been added to Shopping Cart
If you are ready to order, navigate to Shopping Cart and get ready to checkout.
