Rabbit anti-Human SLC22A18AS Polyclonal Antibody | anti-SLC22A18AS antibody
SLC22A18AS Antibody
Gene Names
SLC22A18AS; BWR1B; BWSCR1B; ORCTL2S; SLC22A1LS; p27-BWR1B
Reactivity
Human
Applications
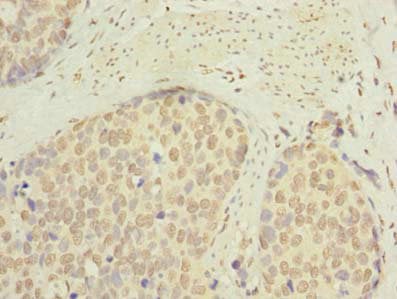
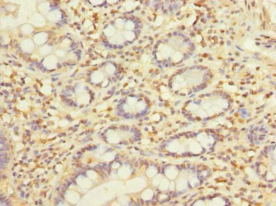
Immunohistochemistry, ELISA
Purity
>95%, Protein G Purified
Synonyms
SLC22A18AS, Antibody; SLC22A18AS Antibody; Beckwith-Wiedemann syndrome chromosomal region 1 candidate gene B protein; SLC22A18AS; BWR1B; BWSCR1B; ORCTL2S; SLC22A1LS; Organic cation transporter-like protein 2 antisense protein; Solute carrier family 22 member 1-like antisense protein; Solute carrier family 22 member 18 antisense protein; p27-Beckwith-Wiedemann region 1 B; p27-BWR1B; anti-SLC22A18AS antibody
Host
Rabbit
Reactivity
Human
Clonality
Polyclonal
Isotype
IgG
Purity/Purification
>95%, Protein G Purified
Sequence Length
150
Applicable Applications for anti-SLC22A18AS antibody
IHC (Immunohistochemistry), ELISA
Storage Buffer
Preservative: 0.03% Proclin 300
Constituents: 50% Glycerol, 0.01M PBS, PH 7.4
Constituents: 50% Glycerol, 0.01M PBS, PH 7.4
Conjugate
Non-conjugated
Immunogen
Recombinant human Beckwith-Wiedemann syndrome chromosomal region 1 candidate gene B protein
Preparation and Storage
Shipped at 4 degree C. Upon delivery aliquot and store at -20 degree C or -80 degree C. Avoid repeated freeze.
NCBI and Uniprot Product Information
NCBI GI #
NCBI GeneID
NCBI Accession #
NCBI GenBank Nucleotide #
Molecular Weight
15,438 Da
NCBI Official Full Name
beckwith-Wiedemann syndrome chromosomal region 1 candidate gene B protein isoform b
NCBI Official Synonym Full Names
solute carrier family 22 (organic cation transporter), member 18 antisense
NCBI Official Symbol
SLC22A18AS
NCBI Official Synonym Symbols
BWR1B; BWSCR1B; ORCTL2S; SLC22A1LS; p27-BWR1B
NCBI Protein Information
beckwith-Wiedemann syndrome chromosomal region 1 candidate gene B protein
UniProt Protein Name
Beckwith-Wiedemann syndrome chromosomal region 1 candidate gene B protein
UniProt Gene Name
SLC22A18AS
UniProt Synonym Gene Names
BWR1B; BWSCR1B; ORCTL2S; SLC22A1LS; p27-BWR1B
UniProt Entry Name
BWR1B_HUMAN
Customer Reviews
Loading reviews...
Share Your Experience
Similar Products
Product Notes
The SLC22A18AS slc22a18as (Catalog #AAA119454) is an Antibody produced from Rabbit and is intended for research purposes only. The product is available for immediate purchase. The SLC22A18AS Antibody reacts with Human and may cross-react with other species as described in the data sheet. AAA Biotech's SLC22A18AS can be used in a range of immunoassay formats including, but not limited to, IHC (Immunohistochemistry), ELISA. Researchers should empirically determine the suitability of the SLC22A18AS slc22a18as for an application not listed in the data sheet. Researchers commonly develop new applications and it is an integral, important part of the investigative research process. It is sometimes possible for the material contained within the vial of "SLC22A18AS, Polyclonal Antibody" to become dispersed throughout the inside of the vial, particularly around the seal of said vial, during shipment and storage. We always suggest centrifuging these vials to consolidate all of the liquid away from the lid and to the bottom of the vial prior to opening. Please be advised that certain products may require dry ice for shipping and that, if this is the case, an additional dry ice fee may also be required.Precautions
All products in the AAA Biotech catalog are strictly for research-use only, and are absolutely not suitable for use in any sort of medical, therapeutic, prophylactic, in-vivo, or diagnostic capacity. By purchasing a product from AAA Biotech, you are explicitly certifying that said products will be properly tested and used in line with industry standard. AAA Biotech and its authorized distribution partners reserve the right to refuse to fulfill any order if we have any indication that a purchaser may be intending to use a product outside of our accepted criteria.Disclaimer
Though we do strive to guarantee the information represented in this datasheet, AAA Biotech cannot be held responsible for any oversights or imprecisions. AAA Biotech reserves the right to adjust any aspect of this datasheet at any time and without notice. It is the responsibility of the customer to inform AAA Biotech of any product performance issues observed or experienced within 30 days of receipt of said product. To see additional details on this or any of our other policies, please see our Terms & Conditions page.Item has been added to Shopping Cart
If you are ready to order, navigate to Shopping Cart and get ready to checkout.
