Rabbit anti-Human SLC22A2 Polyclonal Antibody | anti-SLC22A2 antibody
SLC22A2 Antibody
Gene Names
SLC22A2; OCT2
Reactivity
Human
Applications
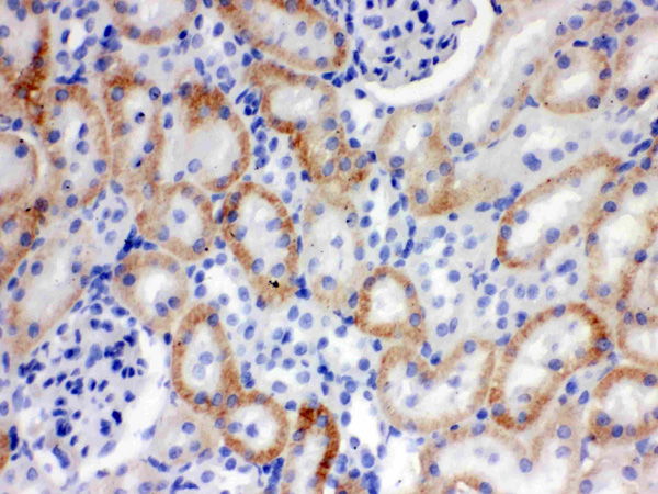
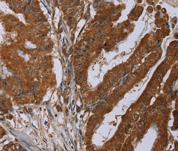
Immunohistochemistry, Western Blot
Purity
Antigen affinity purification.
Synonyms
SLC22A2, Antibody; SLC22A2 Antibody; anti-SLC22A2 antibody
Host
Rabbit
Reactivity
Human
Clonality
Polyclonal
Specificity
The antibody detects endogenous levels of total SLC22A2 protein.
Purity/Purification
Antigen affinity purification.
Form/Format
Rabbit IgG in pH7.3 PBS, 0.05% NaN3, 50% Glycerol.
Concentration
1.7 mg/ml (varies by lot)
Sequence Length
555
Applicable Applications for anti-SLC22A2 antibody
IHC (Immunohistochemistry), WB (Western Blot)
Immunogen Type
Peptide
Immunogen Description
Synthetic peptide corresponding to a region derived from internal residues of human solute carrier family 22 (organic cation transporter), member 2
Target Name
SLC22A2
Preparation and Storage
Store at -20 degree C
Related Product Information for anti-SLC22A2 antibody
Polyspecific organic cation transporters in the liver, kidney, intestine, and other organs are critical for elimination of many endogenous small organic cations as well as a wide array of drugs and environmental toxins. This gene is one of three similar cation transporter genes located in a cluster on chromosome 6. The encoded protein contains twelve putative transmembrane domains and is a plasma integral membrane protein. It is found primarily in the kidney, where it may mediate the first step in cation reabsorption.
Product Categories/Family for anti-SLC22A2 antibody
NCBI and Uniprot Product Information
NCBI GI #
NCBI GeneID
NCBI Accession #
NCBI GenBank Nucleotide #
Molecular Weight
26,685 Da
NCBI Official Full Name
solute carrier family 22 member 2
NCBI Official Synonym Full Names
solute carrier family 22 (organic cation transporter), member 2
NCBI Official Symbol
SLC22A2
NCBI Official Synonym Symbols
OCT2
NCBI Protein Information
solute carrier family 22 member 2
UniProt Protein Name
Solute carrier family 22 member 2
UniProt Gene Name
SLC22A2
UniProt Synonym Gene Names
OCT2; hOCT2
UniProt Entry Name
S22A2_HUMAN
Customer Reviews
Loading reviews...
Share Your Experience
Similar Products
Product Notes
The SLC22A2 slc22a2 (Catalog #AAA303986) is an Antibody produced from Rabbit and is intended for research purposes only. The product is available for immediate purchase. The SLC22A2 Antibody reacts with Human and may cross-react with other species as described in the data sheet. AAA Biotech's SLC22A2 can be used in a range of immunoassay formats including, but not limited to, IHC (Immunohistochemistry), WB (Western Blot). Researchers should empirically determine the suitability of the SLC22A2 slc22a2 for an application not listed in the data sheet. Researchers commonly develop new applications and it is an integral, important part of the investigative research process. It is sometimes possible for the material contained within the vial of "SLC22A2, Polyclonal Antibody" to become dispersed throughout the inside of the vial, particularly around the seal of said vial, during shipment and storage. We always suggest centrifuging these vials to consolidate all of the liquid away from the lid and to the bottom of the vial prior to opening. Please be advised that certain products may require dry ice for shipping and that, if this is the case, an additional dry ice fee may also be required.Precautions
All products in the AAA Biotech catalog are strictly for research-use only, and are absolutely not suitable for use in any sort of medical, therapeutic, prophylactic, in-vivo, or diagnostic capacity. By purchasing a product from AAA Biotech, you are explicitly certifying that said products will be properly tested and used in line with industry standard. AAA Biotech and its authorized distribution partners reserve the right to refuse to fulfill any order if we have any indication that a purchaser may be intending to use a product outside of our accepted criteria.Disclaimer
Though we do strive to guarantee the information represented in this datasheet, AAA Biotech cannot be held responsible for any oversights or imprecisions. AAA Biotech reserves the right to adjust any aspect of this datasheet at any time and without notice. It is the responsibility of the customer to inform AAA Biotech of any product performance issues observed or experienced within 30 days of receipt of said product. To see additional details on this or any of our other policies, please see our Terms & Conditions page.Item has been added to Shopping Cart
If you are ready to order, navigate to Shopping Cart and get ready to checkout.
