Rabbit anti-Human SLC27A5 Polyclonal Antibody | anti-SLC27A5 antibody
SLC27A5 Antibody
Gene Names
SLC27A5; BAL; ACSB; BACS; FATP5; ACSVL6; FACVL3; FATP-5; VLACSR; VLCSH2; VLCS-H2
Reactivity
Human
Applications
Immunofluorescence, Immunohistochemistry, Western Blot, ELISA
Purity
Affinity-purified from rabbit antiserum by affinity-chromatography using epitope-specific immunogen.
Synonyms
SLC27A5, Antibody; SLC27A5 Antibody; EC 6.2.1.7; FACVL3; FATP5; MGC143799; S27A5; anti-SLC27A5 antibody
Host
Rabbit
Reactivity
Human
Clonality
Polyclonal
Isotype
IgG
Purity/Purification
Affinity-purified from rabbit antiserum by affinity-chromatography using epitope-specific immunogen.
Form/Format
Liquid; Rabbit IgG In Phosphate Buffered Saline (without Mg2+ and Ca2+), pH 7.4, 150mM NaCl, 0.02% Sodium Azide and 50% Glycerol.
Applicable Applications for anti-SLC27A5 antibody
IF (Immunofluorescence), IHC (Immunohistochemistry), WB (Western Blot), ELISA
Immunogen
Synthesized peptide derived from internal of human SLC27A5.
Immunogen Species
Human
Conjugate
Non-conjugated
Preparation and Storage
Upon receipt, store at -20 degree C or -80 degree C. Avoid repeated freeze.
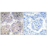
IHC (Immunohiostchemistry)
(Immunohistochemistry analysis of paraffin-embedded human liver carcinoma tissue using SLC27A5 antibody.)
Product Categories/Family for anti-SLC27A5 antibody
NCBI and Uniprot Product Information
NCBI GI #
NCBI GeneID
NCBI Accession #
NCBI GenBank Nucleotide #
Molecular Weight
75,385 Da
NCBI Official Full Name
bile acyl-CoA synthetase
NCBI Official Synonym Full Names
solute carrier family 27 (fatty acid transporter), member 5
NCBI Official Symbol
SLC27A5
NCBI Official Synonym Symbols
BAL; ACSB; BACS; FATP5; ACSVL6; FACVL3; FATP-5; VLACSR; VLCSH2; VLCS-H2
NCBI Protein Information
bile acyl-CoA synthetase; BA-CoA ligase; VLACS-related; cholate--CoA ligase; bile acid-CoA ligase; fatty acid transport protein 5; solute carrier family 27 member 5; very long-chain acyl-CoA synthetase homolog 2; fatty-acid-Coenzyme A ligase, very long-ch
UniProt Protein Name
Bile acyl-CoA synthetase
UniProt Gene Name
SLC27A5
UniProt Synonym Gene Names
ACSB; ACSVL6; FACVL3; FATP5; BACS; BA-CoA ligase; BAL; FATP-5; VLCS-H2; VLCSH2; VLACS-related; VLACSR
UniProt Entry Name
S27A5_HUMAN
Similar Products
Product Notes
The SLC27A5 slc27a5 (Catalog #AAA242990) is an Antibody produced from Rabbit and is intended for research purposes only. The product is available for immediate purchase. The SLC27A5 Antibody reacts with Human and may cross-react with other species as described in the data sheet. AAA Biotech's SLC27A5 can be used in a range of immunoassay formats including, but not limited to, IF (Immunofluorescence), IHC (Immunohistochemistry), WB (Western Blot), ELISA. Researchers should empirically determine the suitability of the SLC27A5 slc27a5 for an application not listed in the data sheet. Researchers commonly develop new applications and it is an integral, important part of the investigative research process. It is sometimes possible for the material contained within the vial of "SLC27A5, Polyclonal Antibody" to become dispersed throughout the inside of the vial, particularly around the seal of said vial, during shipment and storage. We always suggest centrifuging these vials to consolidate all of the liquid away from the lid and to the bottom of the vial prior to opening. Please be advised that certain products may require dry ice for shipping and that, if this is the case, an additional dry ice fee may also be required.Precautions
All products in the AAA Biotech catalog are strictly for research-use only, and are absolutely not suitable for use in any sort of medical, therapeutic, prophylactic, in-vivo, or diagnostic capacity. By purchasing a product from AAA Biotech, you are explicitly certifying that said products will be properly tested and used in line with industry standard. AAA Biotech and its authorized distribution partners reserve the right to refuse to fulfill any order if we have any indication that a purchaser may be intending to use a product outside of our accepted criteria.Disclaimer
Though we do strive to guarantee the information represented in this datasheet, AAA Biotech cannot be held responsible for any oversights or imprecisions. AAA Biotech reserves the right to adjust any aspect of this datasheet at any time and without notice. It is the responsibility of the customer to inform AAA Biotech of any product performance issues observed or experienced within 30 days of receipt of said product. To see additional details on this or any of our other policies, please see our Terms & Conditions page.Item has been added to Shopping Cart
If you are ready to order, navigate to Shopping Cart and get ready to checkout.
