Rabbit anti-Mouse, Rat SLC2A9 Polyclonal Antibody | anti-SLC2A9 antibody
SLC2A9 Polyclonal Antibody
Gene Names
SLC2A9; GLUT9; GLUTX; UAQTL2; URATv1
Reactivity
Mouse, Rat
Applications
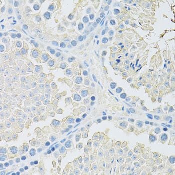
Immunohistochemistry, Western Blot
Purity
Affinity Purification
Synonyms
SLC2A9, Antibody; SLC2A9 Polyclonal Antibody; GLUT9; GLUTX; UAQTL2; URATv1; anti-SLC2A9 antibody
Host
Rabbit
Reactivity
Mouse, Rat
Clonality
Polyclonal
Isotype
IgG
Purity/Purification
Affinity Purification
Form/Format
PBS with 0.05% proclin300,50% glycerol,pH7.3.
Sequence
GPGGIPFILTGEFFQQSQRPAAFIIAGTVNWLSNFAVGLLFPFIQKSLDTYCFLVFATICITGAIYLYFVLPETKNRTYAEISQAFSKRNKAYPPEEKIDS
Sequence Length
511
Applicable Applications for anti-SLC2A9 antibody
IHC (Immunohistochemistry), WB (Western Blot)
Immunogen
A synthetic peptide of human SLC2A9
Immunogen Species
Human
Cellular Location
Apical cell membrane, Basolateral cell membrane, Multi-pass membrane protein, Multi-pass membrane protein
Preparation and Storage
Store at -20 degree C. Avoid freeze / thaw cycles.
Related Product Information for anti-SLC2A9 antibody
This gene encodes a member of the SLC2A facilitative glucose transporter family. Members of this family play a significant role in maintaining glucose homeostasis. The encoded protein may play a role in the development and survival of chondrocytes in cartilage matrices. Two transcript variants encoding distinct isoforms have been identified for this gene.
Product Categories/Family for anti-SLC2A9 antibody
NCBI and Uniprot Product Information
NCBI GI #
NCBI GeneID
NCBI Accession #
NCBI GenBank Nucleotide #
Molecular Weight
55kDa/58kDa
NCBI Official Full Name
solute carrier family 2, facilitated glucose transporter member 9 isoform 2
NCBI Official Synonym Full Names
solute carrier family 2 member 9
NCBI Official Symbol
SLC2A9
NCBI Official Synonym Symbols
GLUT9; GLUTX; UAQTL2; URATv1
NCBI Protein Information
solute carrier family 2, facilitated glucose transporter member 9
UniProt Protein Name
Solute carrier family 2, facilitated glucose transporter member 9
UniProt Gene Name
SLC2A9
UniProt Synonym Gene Names
GLUT9; GLUT-9
Customer Reviews
Loading reviews...
Share Your Experience
Similar Products
Product Notes
The SLC2A9 slc2a9 (Catalog #AAA281222) is an Antibody produced from Rabbit and is intended for research purposes only. The product is available for immediate purchase. The SLC2A9 Polyclonal Antibody reacts with Mouse, Rat and may cross-react with other species as described in the data sheet. AAA Biotech's SLC2A9 can be used in a range of immunoassay formats including, but not limited to, IHC (Immunohistochemistry), WB (Western Blot). Researchers should empirically determine the suitability of the SLC2A9 slc2a9 for an application not listed in the data sheet. Researchers commonly develop new applications and it is an integral, important part of the investigative research process. The amino acid sequence is listed below: GPGGIPFILT GEFFQQSQRP AAFIIAGTVN WLSNFAVGLL FPFIQKSLDT YCFLVFATIC ITGAIYLYFV LPETKNRTYA EISQAFSKRN KAYPPEEKID S. It is sometimes possible for the material contained within the vial of "SLC2A9, Polyclonal Antibody" to become dispersed throughout the inside of the vial, particularly around the seal of said vial, during shipment and storage. We always suggest centrifuging these vials to consolidate all of the liquid away from the lid and to the bottom of the vial prior to opening. Please be advised that certain products may require dry ice for shipping and that, if this is the case, an additional dry ice fee may also be required.Precautions
All products in the AAA Biotech catalog are strictly for research-use only, and are absolutely not suitable for use in any sort of medical, therapeutic, prophylactic, in-vivo, or diagnostic capacity. By purchasing a product from AAA Biotech, you are explicitly certifying that said products will be properly tested and used in line with industry standard. AAA Biotech and its authorized distribution partners reserve the right to refuse to fulfill any order if we have any indication that a purchaser may be intending to use a product outside of our accepted criteria.Disclaimer
Though we do strive to guarantee the information represented in this datasheet, AAA Biotech cannot be held responsible for any oversights or imprecisions. AAA Biotech reserves the right to adjust any aspect of this datasheet at any time and without notice. It is the responsibility of the customer to inform AAA Biotech of any product performance issues observed or experienced within 30 days of receipt of said product. To see additional details on this or any of our other policies, please see our Terms & Conditions page.Item has been added to Shopping Cart
If you are ready to order, navigate to Shopping Cart and get ready to checkout.
