Host
Rabbit
Reactivity
Human
Clonality
Polyclonal
Specificity
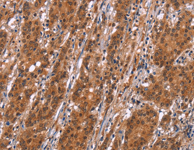
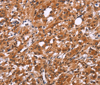
The antibody detects endogenous levels of total SLC8A2 protein.
Purity/Purification
Antigen affinity purification.
Form/Format
Rabbit IgG in pH7.3 PBS, 0.05% NaN3, 50% Glycerol.
Concentration
0.4 mg/ml (varies by lot)
Sequence Length
921
Applicable Applications for anti-SLC8A2 antibody
IHC (Immunohistochemistry)
Immunogen Type
Peptide
Immunogen Description
Synthetic peptide corresponding to a region derived from internal residues of human solute carrier family 8 (sodium/calcium exchanger), member 2
Target Name
SLC8A2
Preparation and Storage
Store at -20 degree C
Related Product Information for anti-SLC8A2 antibody
Sodium/calcium exchanger proteins are integral membrane proteins primarily seen in cardiac cells. In cardiac myocytes, the concentration of Ca2+ alternates between low levels during relaxation and high levels during contraction. The Na+/Ca2+ exchanger 1 (NCX1) protein mediates Ca2+ extrusion from cardiac cells during relaxation. Four NCX1 isoforms (NCX1.1, NCX1.3, NCX1.7, and NCX1.10) result from alternate splicing. NCX1 mRNA is present at high levels in the heart, with lower levels present in the brain. NCX2 is most abundantly expressed in brain, in contrast the the broader distribution of NCX1, which is also expressed in heart, kidney, lung, smooth and skeletal muscle. The difference in expression for the transporter subtypes is believed to reflect differences in their functional roles. Regulation mechanisms for these exchanger proteins have not been fully characterized.
Product Categories/Family for anti-SLC8A2 antibody
NCBI and Uniprot Product Information
NCBI GI #
NCBI GeneID
NCBI Accession #
NCBI GenBank Nucleotide #
Molecular Weight
100,368 Da
NCBI Official Full Name
sodium/calcium exchanger 2
NCBI Official Synonym Full Names
solute carrier family 8 (sodium/calcium exchanger), member 2
NCBI Official Symbol
SLC8A2
NCBI Official Synonym Symbols
NCX2
NCBI Protein Information
sodium/calcium exchanger 2
UniProt Protein Name
Sodium/calcium exchanger 2
UniProt Gene Name
SLC8A2
UniProt Synonym Gene Names
KIAA1087; NCX2
UniProt Entry Name
NAC2_HUMAN
Customer Reviews
Loading reviews...
Share Your Experience
Similar Products
Product Notes
The SLC8A2 slc8a2 (Catalog #AAA306867) is an Antibody produced from Rabbit and is intended for research purposes only. The product is available for immediate purchase. The SLC8A2 Antibody reacts with Human and may cross-react with other species as described in the data sheet. AAA Biotech's SLC8A2 can be used in a range of immunoassay formats including, but not limited to, IHC (Immunohistochemistry). Researchers should empirically determine the suitability of the SLC8A2 slc8a2 for an application not listed in the data sheet. Researchers commonly develop new applications and it is an integral, important part of the investigative research process. It is sometimes possible for the material contained within the vial of "SLC8A2, Polyclonal Antibody" to become dispersed throughout the inside of the vial, particularly around the seal of said vial, during shipment and storage. We always suggest centrifuging these vials to consolidate all of the liquid away from the lid and to the bottom of the vial prior to opening. Please be advised that certain products may require dry ice for shipping and that, if this is the case, an additional dry ice fee may also be required.Precautions
All products in the AAA Biotech catalog are strictly for research-use only, and are absolutely not suitable for use in any sort of medical, therapeutic, prophylactic, in-vivo, or diagnostic capacity. By purchasing a product from AAA Biotech, you are explicitly certifying that said products will be properly tested and used in line with industry standard. AAA Biotech and its authorized distribution partners reserve the right to refuse to fulfill any order if we have any indication that a purchaser may be intending to use a product outside of our accepted criteria.Disclaimer
Though we do strive to guarantee the information represented in this datasheet, AAA Biotech cannot be held responsible for any oversights or imprecisions. AAA Biotech reserves the right to adjust any aspect of this datasheet at any time and without notice. It is the responsibility of the customer to inform AAA Biotech of any product performance issues observed or experienced within 30 days of receipt of said product. To see additional details on this or any of our other policies, please see our Terms & Conditions page.Item has been added to Shopping Cart
If you are ready to order, navigate to Shopping Cart and get ready to checkout.
