Rabbit SMAD1 Polyclonal Antibody | anti-SMAD1 antibody
SMAD1 Antibody
Phosphate buffered saline, pH 7.4, 150mM NaCl, 0.02% sodium azide and 50% glycerol.
WB (Western Blot)
(Western blot analysis of Jurkat whole cell lysates, using SMAD1 Antibody. The lane on the left is treated with the antigen-specific peptide.)
IF (Immunofluorescence)
(AAA326024 staining HeLa cells by IF/ICC. The sample were fixed with PFA and permeabilized in 0.1% Triton X-100, then blocked in 10% serum for 45 minutes at 25 degree C. The primary antibody was diluted at 1/200 and incubated with the sample for 1 hour at 37 degree C. An Alexa Fluor 594 conjugated goat anti-rabbit IgG (H+L) antibody, diluted at 1/600, was used as secondary antibody.)
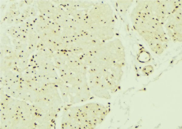
IHC (Immunohistochemistry)
(AAA326024 at 1/100 staining Mouse muscle tissue by IHC-P. The sample was formaldehyde fixed and a heat mediated antigen retrieval step in citrate buffer was performed. The sample was then blocked and incubated with the antibody for 1.5 hours at 22 degree C. An HRP conjugated goat anti-rabbit antibody was used as the secondary.)
Function: Transcriptional modulator activated by BMP (bone morphogenetic proteins) type 1 receptor kinase. SMAD1 is a receptor-regulated SMAD (R-SMAD). SMAD1/OAZ1/PSMB4 complex mediates the degradation of the CREBBP/EP300 repressor SNIP1. May act synergistically with SMAD4 and YY1 in bone morphogenetic protein (BMP)-mediated cardiac-specific gene expression.
Subunit Structure: Found in a complex with SMAD4 and YY1. Interacts with HGS, NANOG and ZCCHC12 (By similarity). Upon C-terminus phosphorylation: forms trimers with another SMAD1 and the co-SMAD SMAD4. Interacts with PEBP2-alpha subunit, CREB-binding protein (CBP), p300, SMURF1, SMURF2, USP15 and HOXC8. Associates with ZNF423 or ZNF521 in response to BMP2 leading to activate transcription of BMP target genes. Interacts with SKOR1. Interacts (via MH2 domain) with LEMD3. Binding to LEMD3 results in at least a partial reduction of receptor-mediated phosphorylation. Forms a ternary complex with PSMB4 and OAZ1 before PSMB4 is incorporated into the 20S proteasome. Found in a macromolecular complex with FAM83G. Interacts (via MH2 domain) with FAM83G (via MH2 domain); in a SMAD4-independent manner. Interacts with ZC3H3 (By similarity). Interacts with TMEM119 (By similarity). Interacts (via MH1 and MH2 domains) with ZNF8 (By similarity). Interacts with RANBP3L; the interaction increases when SMAD1 is not phosphorylated and mediates SMAD1 nuclear export (PubMed:25755279).
Post-translational Modifications: Phosphorylation of the C-terminal SVS motif by BMP type 1 receptor kinase activates SMAD1 by promoting dissociation from the receptor and trimerization with SMAD4. Ubiquitinated by SMAD-specific E3 ubiquitin ligase SMURF1, leading to its degradation. Monoubiquitinated, leading to prevent DNA-binding. Deubiquitination by USP15 alleviates inhibition and promotes activation of TGF-beta target genes. Dephosphorylation, probably by PPM1A, induces its export from the nucleus to the cytoplasm (By similarity).
Similarity: The MH2 domain mediates phosphorylation-dependent trimerization through L3 loop binding of phosphoserines in the adjacent subunit. Belongs to the dwarfin/SMAD family.
NCBI and Uniprot Product Information
Predicted: 53 kDa
Customer Reviews
Loading reviews...
Share Your Experience
Similar Products
Product Notes
The SMAD1 smad1 (Catalog #AAA326024) is an Antibody produced from Rabbit and is intended for research purposes only. The product is available for immediate purchase. The SMAD1 Antibody reacts with Human, Mouse, Rat and may cross-react with other species as described in the data sheet. AAA Biotech's SMAD1 can be used in a range of immunoassay formats including, but not limited to, ELISA, ICC (Immunocytochemistry), IF (Immunofluorescence), IHC (Immunohistochemistry), WB (Western Blot). Researchers should empirically determine the suitability of the SMAD1 smad1 for an application not listed in the data sheet. Researchers commonly develop new applications and it is an integral, important part of the investigative research process. It is sometimes possible for the material contained within the vial of "SMAD1, Polyclonal Antibody" to become dispersed throughout the inside of the vial, particularly around the seal of said vial, during shipment and storage. We always suggest centrifuging these vials to consolidate all of the liquid away from the lid and to the bottom of the vial prior to opening. Please be advised that certain products may require dry ice for shipping and that, if this is the case, an additional dry ice fee may also be required.Precautions
All products in the AAA Biotech catalog are strictly for research-use only, and are absolutely not suitable for use in any sort of medical, therapeutic, prophylactic, in-vivo, or diagnostic capacity. By purchasing a product from AAA Biotech, you are explicitly certifying that said products will be properly tested and used in line with industry standard. AAA Biotech and its authorized distribution partners reserve the right to refuse to fulfill any order if we have any indication that a purchaser may be intending to use a product outside of our accepted criteria.Disclaimer
Though we do strive to guarantee the information represented in this datasheet, AAA Biotech cannot be held responsible for any oversights or imprecisions. AAA Biotech reserves the right to adjust any aspect of this datasheet at any time and without notice. It is the responsibility of the customer to inform AAA Biotech of any product performance issues observed or experienced within 30 days of receipt of said product. To see additional details on this or any of our other policies, please see our Terms & Conditions page.Item has been added to Shopping Cart
If you are ready to order, navigate to Shopping Cart and get ready to checkout.
