Rabbit anti-Human, Rat Smad5 Polyclonal Antibody | anti-SMAD5 antibody
Smad5 Rabbit Polyclonal Antibody
Gene Names
SMAD5; DWFC; JV5-1; MADH5
Reactivity
Human, Rat
Applications
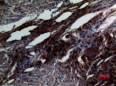
ELISA, Immunofluorescence, Immunohistochemistry, Western Blot
Purity
The antibody was affinity-purified from rabbit antiserum by affinity-chromatography using epitope-specific immunogen.
Synonyms
Smad5, Antibody; Smad5 Rabbit Polyclonal Antibody; SMAD5; MADH5; Mothers against decapentaplegic homolog 5; MAD homolog 5; Mothers against DPP homolog 5; JV5-1; SMAD family member 5; SMAD 5; Smad5; hSmad5; BH6842; anti-SMAD5 antibody
Host
Rabbit
Reactivity
Human, Rat
Clonality
Polyclonal
Specificity
Smad5 Polyclonal Antibody detects endogenous levels of Smad5 protein.
Purity/Purification
The antibody was affinity-purified from rabbit antiserum by affinity-chromatography using epitope-specific immunogen.
Form/Format
Liquid in PBS containing 50% glycerol, 0.5% BSA and 0.02% sodium azide.
Concentration
1mg/ml (varies by lot)
Applicable Applications for anti-SMAD5 antibody
ELISA, IF (Immunofluorescence), IHC (Immunohistochemistry), WB (Western Blot)
Immunogen
Synthesized peptide derived from the Internal region of human Smad5.
Modification
Unmodified/Total
Preparation and Storage
Store at -20 degree C/1 year
Related Product Information for anti-SMAD5 antibody
The protein encoded by this gene is involved in the transforming growth factor beta signaling pathway that results in an inhibition of the proliferation of hematopoietic progenitor cells. The encoded protein is activated by bone morphogenetic proteins type 1 receptor kinase, and may be involved in cancer. Alternative splicing results in multiple transcript variants. [provided by RefSeq, Feb 2014]
NCBI and Uniprot Product Information
NCBI GI #
NCBI GeneID
NCBI Accession #
NCBI GenBank Nucleotide #
Molecular Weight
465
NCBI Official Full Name
mothers against decapentaplegic homolog 5
NCBI Official Synonym Full Names
SMAD family member 5
NCBI Official Symbol
SMAD5
NCBI Official Synonym Symbols
DWFC; JV5-1; MADH5
NCBI Protein Information
mothers against decapentaplegic homolog 5; SMA- and MAD-related protein 5; SMAD, mothers against DPP homolog 5; MAD, mothers against decapentaplegic homolog 5; mothers against decapentaplegic, drosophila, homolog of, 5
UniProt Protein Name
Mothers against decapentaplegic homolog 5
UniProt Gene Name
SMAD5
UniProt Synonym Gene Names
MADH5; MAD homolog 5; Mothers against DPP homolog 5; SMAD 5; Smad5; hSmad5
UniProt Entry Name
SMAD5_HUMAN
Customer Reviews
Loading reviews...
Share Your Experience
Similar Products
Product Notes
The SMAD5 smad5 (Catalog #AAA318716) is an Antibody produced from Rabbit and is intended for research purposes only. The product is available for immediate purchase. The Smad5 Rabbit Polyclonal Antibody reacts with Human, Rat and may cross-react with other species as described in the data sheet. AAA Biotech's Smad5 can be used in a range of immunoassay formats including, but not limited to, ELISA, IF (Immunofluorescence), IHC (Immunohistochemistry), WB (Western Blot). Researchers should empirically determine the suitability of the SMAD5 smad5 for an application not listed in the data sheet. Researchers commonly develop new applications and it is an integral, important part of the investigative research process. It is sometimes possible for the material contained within the vial of "Smad5, Polyclonal Antibody" to become dispersed throughout the inside of the vial, particularly around the seal of said vial, during shipment and storage. We always suggest centrifuging these vials to consolidate all of the liquid away from the lid and to the bottom of the vial prior to opening. Please be advised that certain products may require dry ice for shipping and that, if this is the case, an additional dry ice fee may also be required.Precautions
All products in the AAA Biotech catalog are strictly for research-use only, and are absolutely not suitable for use in any sort of medical, therapeutic, prophylactic, in-vivo, or diagnostic capacity. By purchasing a product from AAA Biotech, you are explicitly certifying that said products will be properly tested and used in line with industry standard. AAA Biotech and its authorized distribution partners reserve the right to refuse to fulfill any order if we have any indication that a purchaser may be intending to use a product outside of our accepted criteria.Disclaimer
Though we do strive to guarantee the information represented in this datasheet, AAA Biotech cannot be held responsible for any oversights or imprecisions. AAA Biotech reserves the right to adjust any aspect of this datasheet at any time and without notice. It is the responsibility of the customer to inform AAA Biotech of any product performance issues observed or experienced within 30 days of receipt of said product. To see additional details on this or any of our other policies, please see our Terms & Conditions page.Item has been added to Shopping Cart
If you are ready to order, navigate to Shopping Cart and get ready to checkout.
