SMAD5 (SMAD5) Antibody – Rabbit Polyclonal
SMAD5 Polyclonal Antibody
Gene Names
SMAD5; DWFC; JV5-1; MADH5
Reactivity
Human, Mouse, Rat
Applications
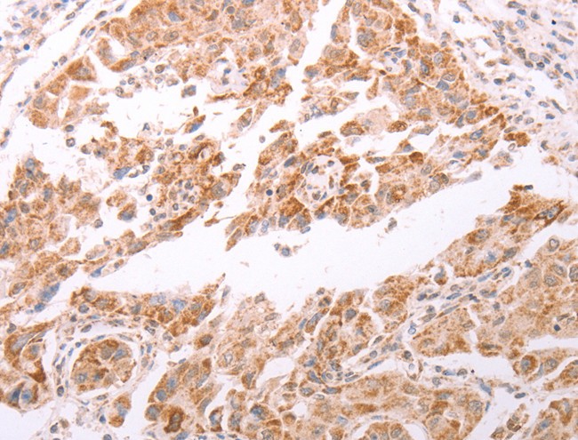
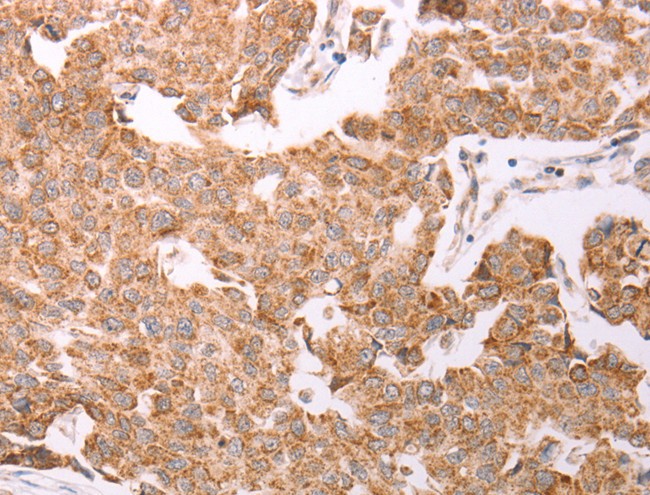
Immunohistochemistry, ELISA
Purity
Antigen affinity purification
Synonyms
SMAD5, Antibody; SMAD5 Polyclonal Antibody; DWFC; JV5-1; MADH5; anti-SMAD5 antibody
Product Overview
Host
Rabbit
Reactivity
Human, Mouse, Rat
Clonality
Polyclonal
Isotype
IgG
Purity/Purification
Antigen affinity purification
Concentration
0.7mg/mL (varies by lot)
Sequence Length
465
Applicable Applications for anti-SMAD5 antibody
IHC (Immunohistochemistry), ELISA
Immunogen
Recombinant protein of human SMAD5
Buffer
PBS with 0.05% sodium azide, 50% glycerol, pH7.3
Preparation and Storage
Store at -20 degree C (regular) and -80 degree C (long term). Avoid freeze / thaw cycles.
Related Product Information for anti-SMAD5 antibody
The protein encoded by this gene is involved in the TGF-beta signaling pathway that results in an inhibition of the proliferation of hematopoietic progenitor cells. The encoded protein is activated by BMP type 1 receptor kinase. Three transcript variants encoding the same protein have been found for this gene.
Product Categories/Family for anti-SMAD5 antibody
NCBI and Uniprot Product Information
NCBI GI #
NCBI GeneID
Molecular Weight
52,258 Da
NCBI Official Full Name
SMAD5
NCBI Official Synonym Full Names
SMAD family member 5
NCBI Official Symbol
SMAD5
NCBI Official Synonym Symbols
DWFC; JV5-1; MADH5
NCBI Protein Information
mothers against decapentaplegic homolog 5; MAD, mothers against decapentaplegic homolog 5; SMA- and MAD-related protein 5; SMAD, mothers against DPP homolog 5; mothers against decapentaplegic, drosophila, homolog of, 5
UniProt Protein Name
Mothers against decapentaplegic homolog 5
UniProt Gene Name
SMAD5
UniProt Synonym Gene Names
MADH5; MAD homolog 5; Mothers against DPP homolog 5; SMAD 5; Smad5; hSmad5
UniProt Entry Name
SMAD5_HUMAN
Customer Reviews
Loading reviews...
Share Your Experience
Similar Products
Additional Details
Product Notes
The SMAD5 smad5 (Catalog #AAA168615) is an Antibody produced from Rabbit and is intended for research purposes only. The product is available for immediate purchase. The SMAD5 Polyclonal Antibody reacts with Human, Mouse, Rat and may cross-react with other species as described in the data sheet. AAA Biotech's SMAD5 can be used in a range of immunoassay formats including, but not limited to, IHC (Immunohistochemistry), ELISA. Researchers should empirically determine the suitability of the SMAD5 smad5 for an application not listed in the data sheet. Researchers commonly develop new applications and it is an integral, important part of the investigative research process. It is sometimes possible for the material contained within the vial of "SMAD5, Polyclonal Antibody" to become dispersed throughout the inside of the vial, particularly around the seal of said vial, during shipment and storage. We always suggest centrifuging these vials to consolidate all of the liquid away from the lid and to the bottom of the vial prior to opening. Please be advised that certain products may require dry ice for shipping and that, if this is the case, an additional dry ice fee may also be required.Precautions
All products in the AAA Biotech catalog are strictly for research-use only, and are absolutely not suitable for use in any sort of medical, therapeutic, prophylactic, in-vivo, or diagnostic capacity. By purchasing a product from AAA Biotech, you are explicitly certifying that said products will be properly tested and used in line with industry standard. AAA Biotech and its authorized distribution partners reserve the right to refuse to fulfill any order if we have any indication that a purchaser may be intending to use a product outside of our accepted criteria.Disclaimer
Though we do strive to guarantee the information represented in this datasheet, AAA Biotech cannot be held responsible for any oversights or imprecisions. AAA Biotech reserves the right to adjust any aspect of this datasheet at any time and without notice. It is the responsibility of the customer to inform AAA Biotech of any product performance issues observed or experienced within 30 days of receipt of said product. To see additional details on this or any of our other policies, please see our Terms & Conditions page.Item has been added to Shopping Cart
If you are ready to order, navigate to Shopping Cart and get ready to checkout.
