Rabbit anti-Human SMC1 Polyclonal Antibody | anti-SMC1 antibody
Rabbit anti-Phospho SMC1 (S966) Antibody, Affinity Purified
Shelf Life: 1 year from date of receipt
WB (Western Blot)
(Detection of Phospho SMC1 (S966) by western blot. Samples: Whole cell lysate (50 ug) from Jurkat cells treated with 100 uM etoposide (+) or mock treated (-). Antibodies: Affinity purified rabbit anti-Phospho SMC1 (S966) antibody AAA210736 (lot AAA210736-7) used at 0.1 ug/ml. Detection: Chemiluminescence with an exposure time of 3 minutes. For detection of total SMC1, rabbit anti-SMC1 antibody was used.)
IP (Immunoprecipitation)
(Detection of human Phospho SMC1 (S966) by western blot of immunoprecipitates. Samples: Whole cell lysate (1.0 mg per IP reaction; 20% of IP loaded) from Jurkat cells treated with 100 uM etoposide (+) or mock treated (-). Antibodies: Rabbit anti-Phospho SMC1 (S966) antibody AAA210736 (lot AAA210736-7) used for IP at 3 ul per reaction. Phospho SMC1 (S966) was also immunoprecipitated by rabbit anti-SMC1 antibody . For blotting immunoprecipitated Phospho SMC1 (S966), AAA210736 was used at 1 ug/ml. Detection: Chemiluminescence with an exposure time of 3 minutes. For detection of total SMC1, rabbit anti-SMC1 antibody was used.)
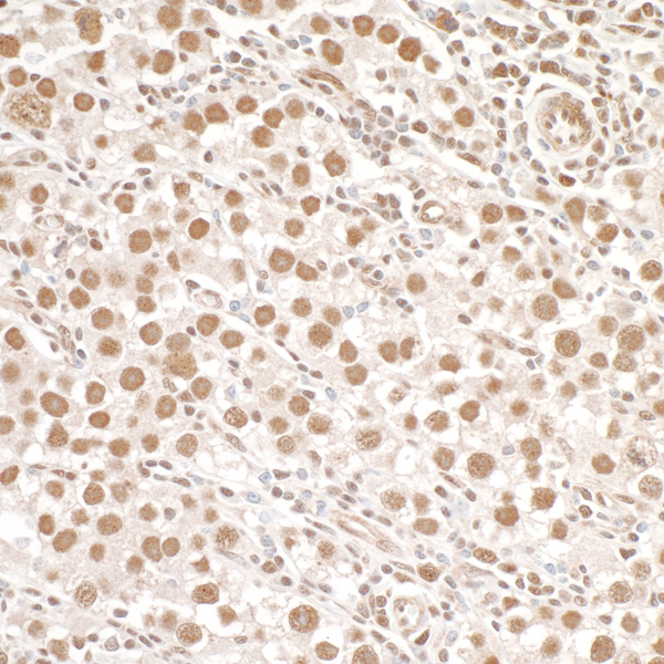
IHC (Immunohistochemisry)
(Detection of human Phospho SMC1 (S966) by immunohistochemistry. Sample: FFPE section of human breast carcinoma. Antibody: Affinity purified rabbit anti-Phospho SMC1 (S966) (Cat. No. AAA210736 lot 7) used at a dilution of 1:1,000 (1ug/ml). Detection: DAB)
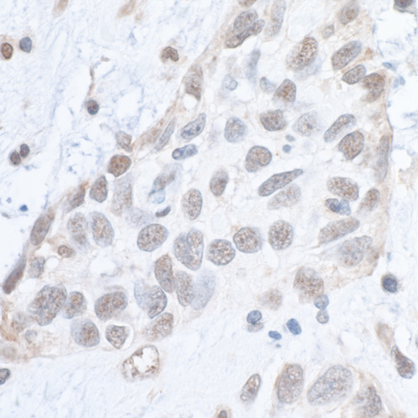
IHC (Immunohiostchemistry)
(Detection of human Phospho SMC1 (S966) by immunohistochemistry. Sample: FFPE section of human testicular seminoma. Antibody: Affinity purified rabbit anti-Phospho SMC1 (S966) (Cat. No. AAA210736 Lot 7) used at a dilution of 1:1,000 (1ug/ml). Detection: DAB)
ICC (Immunocytochemistry)
(Detection of human Phospho SMC1 (S966) by immunocytochemistry. Samples: Neocarzinostatin treated asynchronous HeLa cells. Antibody: Affinity purified rabbit anti-Phospho SMC1 (S966) (Cat. No. AAA210736 Lot 6) used at a dilution of 1:5,000 (0.2ug/ml). Detection: Red fluorescent Anti-rabbit IgG-DyLight 594 conjugated used at a dilution of 1:100.)
NCBI and Uniprot Product Information
Customer Reviews
Loading reviews...
Share Your Experience
Similar Products
Product Notes
The SMC1 smc1a (Catalog #AAA210736) is an Antibody produced from Rabbit and is intended for research purposes only. The product is available for immediate purchase. The Rabbit anti-Phospho SMC1 (S966) Antibody, Affinity Purified reacts with Human and may cross-react with other species as described in the data sheet. AAA Biotech's SMC1 can be used in a range of immunoassay formats including, but not limited to, ICC (Immunocytochemistry), IHC (Immunohistochemistry), IP (Immunoprecipitation), WB (Western Blot). Researchers should empirically determine the suitability of the SMC1 smc1a for an application not listed in the data sheet. Researchers commonly develop new applications and it is an integral, important part of the investigative research process. It is sometimes possible for the material contained within the vial of "SMC1, Polyclonal Antibody" to become dispersed throughout the inside of the vial, particularly around the seal of said vial, during shipment and storage. We always suggest centrifuging these vials to consolidate all of the liquid away from the lid and to the bottom of the vial prior to opening. Please be advised that certain products may require dry ice for shipping and that, if this is the case, an additional dry ice fee may also be required.Precautions
All products in the AAA Biotech catalog are strictly for research-use only, and are absolutely not suitable for use in any sort of medical, therapeutic, prophylactic, in-vivo, or diagnostic capacity. By purchasing a product from AAA Biotech, you are explicitly certifying that said products will be properly tested and used in line with industry standard. AAA Biotech and its authorized distribution partners reserve the right to refuse to fulfill any order if we have any indication that a purchaser may be intending to use a product outside of our accepted criteria.Disclaimer
Though we do strive to guarantee the information represented in this datasheet, AAA Biotech cannot be held responsible for any oversights or imprecisions. AAA Biotech reserves the right to adjust any aspect of this datasheet at any time and without notice. It is the responsibility of the customer to inform AAA Biotech of any product performance issues observed or experienced within 30 days of receipt of said product. To see additional details on this or any of our other policies, please see our Terms & Conditions page.Item has been added to Shopping Cart
If you are ready to order, navigate to Shopping Cart and get ready to checkout.
