Rabbit SNAI2 Polyclonal Antibody | anti-SNAI2 antibody
SNAI2 Antibody
Phosphate buffered saline, pH 7.4, 150mM NaCl, 0.02% sodium azide and 50% glycerol.
WB (Western Blot)
(Western blot analysis of pancreas lysate using SNAI2 antibody. The lane on the left is treated with the antigen-specific peptide.)
IHC (Immunohistochemisry)
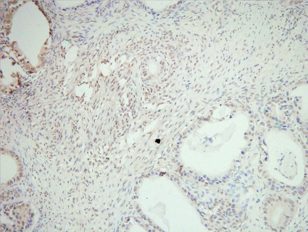
(SNAI2 Antibody(AAA325983) staining human cervical carcinoma tissue sections by IHC-f at 1:200.)
IHC (Immunohiostchemistry)
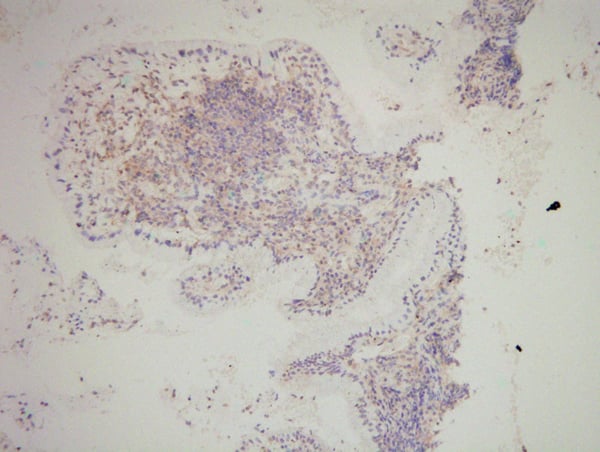
(SNAI2 Antibody(AAA325983) staining human ovarian cancer tissue sections by IHC-f at 1:200.)
IHC (Immunohistochemistry)
(SNAI2 Antibody(AAA325983) staining human ovarian cancer tissue sections by IHC-f at 1:200.(200x).)
Function: Transcriptional repressor that modulates both activator-dependent and basal transcription. Involved in the generation and migration of neural crest cells. Plays a role in mediating RAF1-induced transcriptional repression of the TJ protein, occludin (OCLN) and subsequent oncogenic transformation of epithelial cells (By similarity). Represses BRCA2 expression by binding to its E2-box-containing silencer and recruiting CTBP1 and HDAC1 in breast cells. In epidermal keratinocytes, binds to the E-box in ITGA3 promoter and represses its transcription. Involved in the regulation of ITGB1 and ITGB4 expression and cell adhesion and proliferation in epidermal keratinocytes. Binds to E-box2 domain of BSG and activates its expression during TGFB1-induced epithelial-mesenchymal transition (EMT) in hepatocytes. Represses E-Cadherin/CDH1 transcription via E-box elements. Involved in osteoblast maturation. Binds to RUNX2 and SOC9 promoters and may act as a positive and negative transcription regulator, respectively, in osteoblasts. Binds to CXCL12 promoter via E-box regions in mesenchymal stem cells and osteoblasts. Plays an essential role in TWIST1-induced EMT and its ability to promote invasion and metastasis.
Subunit Structure: Interacts (via SNAG domain) with LIMD1 (via LIM domains), WTIP (via LIM domains) and AJUBA (via LIM domains) (By similarity). Interacts (via zinc fingers) with KPNA2, KPNB1, and TNPO1. May interact (via zinc fingers) with IPO7.
Post-translational Modifications: GSK3B-mediated phosphorylation results in cytoplasmic localization and degradation.
Similarity: Repression activity depends on the C-terminal DNA-binding zinc fingers and on the N-terminal repression domain. Belongs to the snail C2H2-type zinc-finger protein family.
NCBI and Uniprot Product Information
Predicted: 30 kDa
Customer Reviews
Loading reviews...
Share Your Experience
Similar Products
Product Notes
The SNAI2 snai2 (Catalog #AAA325983) is an Antibody produced from Rabbit and is intended for research purposes only. The product is available for immediate purchase. The SNAI2 Antibody reacts with Human, Mouse, Rat and may cross-react with other species as described in the data sheet. AAA Biotech's SNAI2 can be used in a range of immunoassay formats including, but not limited to, ELISA, IHC (Immunohistochemistry), WB (Western Blot). Researchers should empirically determine the suitability of the SNAI2 snai2 for an application not listed in the data sheet. Researchers commonly develop new applications and it is an integral, important part of the investigative research process. It is sometimes possible for the material contained within the vial of "SNAI2, Polyclonal Antibody" to become dispersed throughout the inside of the vial, particularly around the seal of said vial, during shipment and storage. We always suggest centrifuging these vials to consolidate all of the liquid away from the lid and to the bottom of the vial prior to opening. Please be advised that certain products may require dry ice for shipping and that, if this is the case, an additional dry ice fee may also be required.Precautions
All products in the AAA Biotech catalog are strictly for research-use only, and are absolutely not suitable for use in any sort of medical, therapeutic, prophylactic, in-vivo, or diagnostic capacity. By purchasing a product from AAA Biotech, you are explicitly certifying that said products will be properly tested and used in line with industry standard. AAA Biotech and its authorized distribution partners reserve the right to refuse to fulfill any order if we have any indication that a purchaser may be intending to use a product outside of our accepted criteria.Disclaimer
Though we do strive to guarantee the information represented in this datasheet, AAA Biotech cannot be held responsible for any oversights or imprecisions. AAA Biotech reserves the right to adjust any aspect of this datasheet at any time and without notice. It is the responsibility of the customer to inform AAA Biotech of any product performance issues observed or experienced within 30 days of receipt of said product. To see additional details on this or any of our other policies, please see our Terms & Conditions page.Item has been added to Shopping Cart
If you are ready to order, navigate to Shopping Cart and get ready to checkout.
