Rabbit SNAP25 Polyclonal Antibody | anti-SNAP25 antibody
SNAP25 Antibody
Phosphate buffered saline, pH 7.4, 150mM NaCl, 0.02% sodium azide and 50% glycerol.
IF (Immunofluorescence)
(AAA325950 staining RAW264.7 cells by IF/ICC. The sample were fixed with PFA and permeabilized in 0.1% Triton X-100, then blocked in 10% serum for 45 minutes at 25 degree C. The primary antibody was diluted at 1/200 and incubated with the sample for 1 hour at 37 degree C. An Alexa Fluor 594 conjugated goat anti-rabbit IgG (H+L) antibody, diluted at 1/600, was used as secondary antibody.)
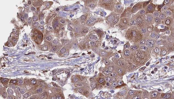
IHC (Immunohistochemistry)
(AAA325950 at 1/100 staining Human liver cancer tissue by IHC-P. The sample was formaldehyde fixed and a heat mediated antigen retrieval step in citrate buffer was performed. The sample was then blocked and incubated with the antibody for 1.5 hours at 22 degree C. An HRP conjugated goat anti-rabbit antibody was used as the secondary.)
Function: t-SNARE involved in the molecular regulation of neurotransmitter release. May play an important role in the synaptic function of specific neuronal systems. Associates with proteins involved in vesicle docking and membrane fusion. Regulates plasma membrane recycling through its interaction with CENPF. Modulates the gating characteristics of the delayed rectifier voltage-dependent potassium channel KCNB1 in pancreatic beta cells.
Subunit Structure: Part of the SNARE core complex containing SNAP25, VAMP2 and STX1A; this complex binds CPLX1 (PubMed:11832227). Found in a complex containing SYT1, SV2B and syntaxin-1 (By similarity). Found in a ternary complex with STX1A and VAMP8 (By similarity). Isoform 1 and isoform 2 interact with BLOC1S6 (PubMed:19546860). Interacts with CENPF (By similarity). Interacts with EQTN (By similarity). Interacts with HGS (By similarity). Interacts with KCNB1 (via N-terminus); reduces the voltage-dependent potassium channel KCNB1 activity in pancreatic beta cells (By similarity). Interacts with OTOF (By similarity). Interacts with RIMS1 (By similarity). Interacts with SNAPIN (By similarity). Interacts with STXBP6 (By similarity). Interacts with TRIM9 (By similarity). Interacts with ZDHHC13 (via ANK repeats) (By similarity). Interacts with ZDHHC17 (via ANK repeats) (PubMed:28882895, PubMed:28757145). Interacts with PLCL1 (via C2 domain) (By similarity). Associates with the BLOC-1 complex (PubMed:19546860). Interacts with PRRT2; this interaction may impair the formation of the SNARE complex (PubMed:22832103, PubMed:25915028).
Post-translational Modifications: Palmitoylated (PubMed:28757145). Cys-85 appears to be the main site, and palmitoylation is required for membrane association (By similarity).
Similarity: Belongs to the SNAP-25 family.
NCBI and Uniprot Product Information
Predicted: 24 kDa
Customer Reviews
Loading reviews...
Share Your Experience
Similar Products
Product Notes
The SNAP25 snap25 (Catalog #AAA325950) is an Antibody produced from Rabbit and is intended for research purposes only. The product is available for immediate purchase. The SNAP25 Antibody reacts with Human, Mouse, Rat and may cross-react with other species as described in the data sheet. AAA Biotech's SNAP25 can be used in a range of immunoassay formats including, but not limited to, ELISA, ICC (Immunocytochemistry), IF (Immunofluorescence), IHC (Immunohistochemistry), WB (Western Blot). Researchers should empirically determine the suitability of the SNAP25 snap25 for an application not listed in the data sheet. Researchers commonly develop new applications and it is an integral, important part of the investigative research process. It is sometimes possible for the material contained within the vial of "SNAP25, Polyclonal Antibody" to become dispersed throughout the inside of the vial, particularly around the seal of said vial, during shipment and storage. We always suggest centrifuging these vials to consolidate all of the liquid away from the lid and to the bottom of the vial prior to opening. Please be advised that certain products may require dry ice for shipping and that, if this is the case, an additional dry ice fee may also be required.Precautions
All products in the AAA Biotech catalog are strictly for research-use only, and are absolutely not suitable for use in any sort of medical, therapeutic, prophylactic, in-vivo, or diagnostic capacity. By purchasing a product from AAA Biotech, you are explicitly certifying that said products will be properly tested and used in line with industry standard. AAA Biotech and its authorized distribution partners reserve the right to refuse to fulfill any order if we have any indication that a purchaser may be intending to use a product outside of our accepted criteria.Disclaimer
Though we do strive to guarantee the information represented in this datasheet, AAA Biotech cannot be held responsible for any oversights or imprecisions. AAA Biotech reserves the right to adjust any aspect of this datasheet at any time and without notice. It is the responsibility of the customer to inform AAA Biotech of any product performance issues observed or experienced within 30 days of receipt of said product. To see additional details on this or any of our other policies, please see our Terms & Conditions page.Item has been added to Shopping Cart
If you are ready to order, navigate to Shopping Cart and get ready to checkout.
