Rabbit SNAP29 Polyclonal Antibody | anti-SNAP29 antibody
SNAP29 Antibody
Gene Names
SNAP29; CEDNIK; SNAP-29
Reactivity
Human, Mouse, RatPredicted: Bovine, Rabbit
Applications
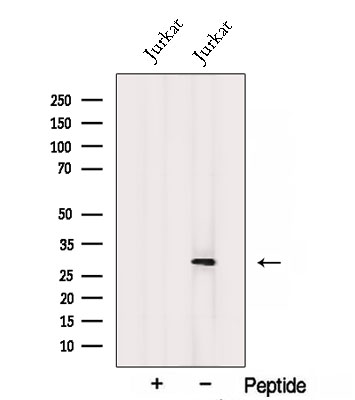
Western Blot
Purity
The antiserum was purified by peptide affinity chromatography using SulfoLink Coupling Resin (Thermo Fisher Scientific).
Synonyms
SNAP29, Antibody; SNAP29 Antibody; CEDNIK; FLJ21051; SNAP 29; SNAP-29; SNAP29; SNP29_HUMAN; Soluble 29 kDa NSF attachment protein; Synaptosomal associated protein 29; Synaptosomal associated protein 29kDa; Synaptosomal-associated protein 29; Vesicle membrane fusion protein SNAP 29; Vesicle membrane fusion protein SNAP29; Vesicle-membrane fusion protein SNAP-29; anti-SNAP29 antibody
Host
Rabbit
Reactivity
Human, Mouse, Rat
Predicted: Bovine, Rabbit
Predicted: Bovine, Rabbit
Clonality
Polyclonal
Isotype
IgG
Specificity
SNAP29 Antibody detects endogenous levels of SNAP29.
Purity/Purification
The antiserum was purified by peptide affinity chromatography using SulfoLink Coupling Resin (Thermo Fisher Scientific).
Form/Format
Liquid; Phosphate buffered saline, pH 7.4, 150mM NaCl, 0.02% sodium azide and 50% glycerol.
Concentration
1mg/ml (varies by lot)
Sequence Length
258
Applicable Applications for anti-SNAP29 antibody
WB (Western Blot)
Immunogen
A synthesized peptide derived from human SNAP29.
Tissue Specificity
Found in brain, heart, kidney, liver, lung, placenta, skeletal muscle, spleen and pancreas.
Fragment
Fab Fragment
Conjugate
Unconjugated
Subcellular Location
Golgi Apparatus; Plasma Membrane
Preparation and Storage
Store at -20 degree C. Stable for 12 months from date of receipt.
Related Product Information for anti-SNAP29 antibody
Description: SNAREs, soluble N-ethylmaleimide-sensitive factor-attachment protein receptors, are essential proteins for fusion of cellular membranes. SNAREs localized on opposing membranes assemble to form a trans-SNARE complex, an extended, parallel four alpha-helical bundle that drives membrane fusion. SNAP29 is a SNARE involved in autophagy through the direct control of autophagosome membrane fusion with the lysososome membrane. Plays also a role in ciliogenesis by regulating membrane fusions.
Subunit Structure: Forms a SNARE complex, composed of VAMP8, SNAP29 and STX17, involved in fusion of autophagosome with lysosome (PubMed:23217709, PubMed:25686604). Interacts with multiple syntaxins including STX6 (By similarity). Interacts with EIPR1 (By similarity).
Similarity: Belongs to the SNAP-25 family.
Subunit Structure: Forms a SNARE complex, composed of VAMP8, SNAP29 and STX17, involved in fusion of autophagosome with lysosome (PubMed:23217709, PubMed:25686604). Interacts with multiple syntaxins including STX6 (By similarity). Interacts with EIPR1 (By similarity).
Similarity: Belongs to the SNAP-25 family.
NCBI and Uniprot Product Information
NCBI GI #
NCBI GeneID
UniProt Accession #
Molecular Weight
Observed: 29 kDa
Predicted: 29 kDa
Predicted: 29 kDa
NCBI Official Full Name
Synaptosomal-associated protein 29
NCBI Official Synonym Full Names
synaptosome associated protein 29
NCBI Official Symbol
SNAP29
NCBI Official Synonym Symbols
CEDNIK; SNAP-29
NCBI Protein Information
synaptosomal-associated protein 29
UniProt Protein Name
Synaptosomal-associated protein 29
UniProt Gene Name
SNAP29
UniProt Synonym Gene Names
SNAP-29
UniProt Entry Name
SNP29_HUMAN
Customer Reviews
Loading reviews...
Share Your Experience
Similar Products
Product Notes
The SNAP29 snap29 (Catalog #AAA328727) is an Antibody produced from Rabbit and is intended for research purposes only. The product is available for immediate purchase. The SNAP29 Antibody reacts with Human, Mouse, Rat Predicted: Bovine, Rabbit and may cross-react with other species as described in the data sheet. AAA Biotech's SNAP29 can be used in a range of immunoassay formats including, but not limited to, WB (Western Blot). Researchers should empirically determine the suitability of the SNAP29 snap29 for an application not listed in the data sheet. Researchers commonly develop new applications and it is an integral, important part of the investigative research process. It is sometimes possible for the material contained within the vial of "SNAP29, Polyclonal Antibody" to become dispersed throughout the inside of the vial, particularly around the seal of said vial, during shipment and storage. We always suggest centrifuging these vials to consolidate all of the liquid away from the lid and to the bottom of the vial prior to opening. Please be advised that certain products may require dry ice for shipping and that, if this is the case, an additional dry ice fee may also be required.Precautions
All products in the AAA Biotech catalog are strictly for research-use only, and are absolutely not suitable for use in any sort of medical, therapeutic, prophylactic, in-vivo, or diagnostic capacity. By purchasing a product from AAA Biotech, you are explicitly certifying that said products will be properly tested and used in line with industry standard. AAA Biotech and its authorized distribution partners reserve the right to refuse to fulfill any order if we have any indication that a purchaser may be intending to use a product outside of our accepted criteria.Disclaimer
Though we do strive to guarantee the information represented in this datasheet, AAA Biotech cannot be held responsible for any oversights or imprecisions. AAA Biotech reserves the right to adjust any aspect of this datasheet at any time and without notice. It is the responsibility of the customer to inform AAA Biotech of any product performance issues observed or experienced within 30 days of receipt of said product. To see additional details on this or any of our other policies, please see our Terms & Conditions page.Item has been added to Shopping Cart
If you are ready to order, navigate to Shopping Cart and get ready to checkout.
