Rabbit anti-Human SNAP91 Polyclonal Antibody | anti-SNAP91 antibody
SNAP91 Antibody
Gene Names
SNAP91; CALM; AP180
Reactivity
Human
Applications
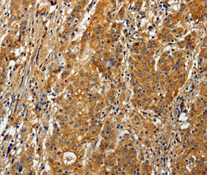
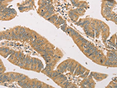
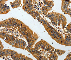
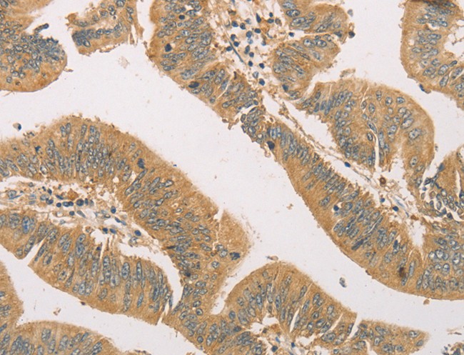
Immunohistochemistry
Purity
Antigen affinity purification.
Synonyms
SNAP91, Antibody; SNAP91 Antibody; CALM; AP180; anti-SNAP91 antibody
Host
Rabbit
Reactivity
Human
Clonality
Polyclonal
Specificity
The antibody detects endogenous levels of total SNAP91 protein.
Purity/Purification
Antigen affinity purification.
Form/Format
Rabbit IgG in pH7.3 PBS, 0.05% NaN3, 50% Glycerol.
Concentration
0.8 mg/ml (varies by lot)
Sequence Length
907
Applicable Applications for anti-SNAP91 antibody
IHC (Immunohistochemistry)
Immunogen Type
Recombinant Protein
Immunogen Description
Fusion protein corresponding to residues near the C terminal of human synaptosomal-associated protein, 91kDa
Target Name
SNAP91
Preparation and Storage
Store at -20 degree C
Related Product Information for anti-SNAP91 antibody
Clathrin coat assembly protein AP180 is a protein that in humans is encoded by the SNAP91 gene. Adaptins are components of the adapter complexes which link clathrin to receptors in coated vesicles. Clathrin-associated protein complexes are believed to interact with the cytoplasmic tails of membrane proteins, leading to their selection and concentration. Binding of AP180 to clathrin triskelia induces their assembly into 60-70 nm coats.
Product Categories/Family for anti-SNAP91 antibody
NCBI and Uniprot Product Information
NCBI GI #
NCBI GeneID
NCBI Accession #
NCBI GenBank Nucleotide #
Molecular Weight
89,656 Da
NCBI Official Full Name
clathrin coat assembly protein AP180 isoform a
NCBI Official Synonym Full Names
synaptosomal-associated protein, 91kDa
NCBI Official Symbol
SNAP91
NCBI Official Synonym Symbols
CALM; AP180
NCBI Protein Information
clathrin coat assembly protein AP180
UniProt Protein Name
Clathrin coat assembly protein AP180
UniProt Gene Name
SNAP91
UniProt Synonym Gene Names
KIAA0656
UniProt Entry Name
AP180_HUMAN
Customer Reviews
Loading reviews...
Share Your Experience
Similar Products
Product Notes
The SNAP91 snap91 (Catalog #AAA304169) is an Antibody produced from Rabbit and is intended for research purposes only. The product is available for immediate purchase. The SNAP91 Antibody reacts with Human and may cross-react with other species as described in the data sheet. AAA Biotech's SNAP91 can be used in a range of immunoassay formats including, but not limited to, IHC (Immunohistochemistry). Researchers should empirically determine the suitability of the SNAP91 snap91 for an application not listed in the data sheet. Researchers commonly develop new applications and it is an integral, important part of the investigative research process. It is sometimes possible for the material contained within the vial of "SNAP91, Polyclonal Antibody" to become dispersed throughout the inside of the vial, particularly around the seal of said vial, during shipment and storage. We always suggest centrifuging these vials to consolidate all of the liquid away from the lid and to the bottom of the vial prior to opening. Please be advised that certain products may require dry ice for shipping and that, if this is the case, an additional dry ice fee may also be required.Precautions
All products in the AAA Biotech catalog are strictly for research-use only, and are absolutely not suitable for use in any sort of medical, therapeutic, prophylactic, in-vivo, or diagnostic capacity. By purchasing a product from AAA Biotech, you are explicitly certifying that said products will be properly tested and used in line with industry standard. AAA Biotech and its authorized distribution partners reserve the right to refuse to fulfill any order if we have any indication that a purchaser may be intending to use a product outside of our accepted criteria.Disclaimer
Though we do strive to guarantee the information represented in this datasheet, AAA Biotech cannot be held responsible for any oversights or imprecisions. AAA Biotech reserves the right to adjust any aspect of this datasheet at any time and without notice. It is the responsibility of the customer to inform AAA Biotech of any product performance issues observed or experienced within 30 days of receipt of said product. To see additional details on this or any of our other policies, please see our Terms & Conditions page.Item has been added to Shopping Cart
If you are ready to order, navigate to Shopping Cart and get ready to checkout.
