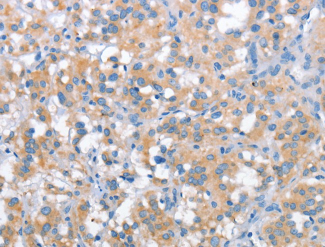
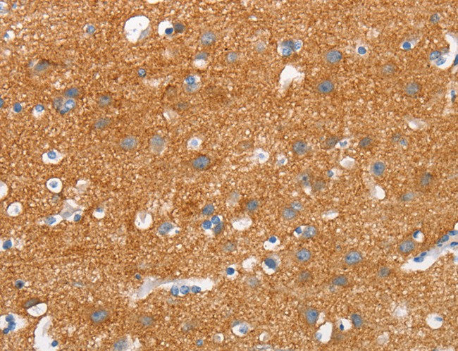
Rabbit SNCA Polyclonal Antibody | anti-SNCA antibody
SNCA Polyclonal Antibody
Gene Names
SNCA; PD1; NACP; PARK1; PARK4
Reactivity
Human, Mouse, Rat
Applications
Immunohistochemistry, ELISA
Purity
Antigen affinity purification
Synonyms
SNCA, Antibody; SNCA Polyclonal Antibody; PD1; NACP; PARK1; PARK4; anti-SNCA antibody
Host
Rabbit
Reactivity
Human, Mouse, Rat
Clonality
Polyclonal
Isotype
IgG
Purity/Purification
Antigen affinity purification
Concentration
1.9mg/mL (varies by lot)
Sequence Length
140
Applicable Applications for anti-SNCA antibody
IHC (Immunohistochemistry), ELISA
Immunogen
Synthetic peptide of human SNCA
Buffer
PBS with 0.05% sodium azide, 50% glycerol, pH7.3
Preparation and Storage
Store at -20 degree C (regular) and -80 degree C (long term). Avoid freeze / thaw cycles.
Related Product Information for anti-SNCA antibody
Alpha-synuclein is a member of the synuclein family, which also includes beta- and gamma-synuclein. Synucleins are abundantly expressed in the brain and alpha- and beta-synuclein inhibit phospholipase D2 selectively. SNCA may serve to integrate presynaptic signaling and membrane trafficking. Defects in SNCA have been implicated in the pathogenesis of Parkinson disease. SNCA peptides are a major component of amyloid plaques in the brains of patients with Alzheimer's disease. Four alternatively spliced transcripts encoding two different isoforms have been identified for this gene.
Product Categories/Family for anti-SNCA antibody
NCBI and Uniprot Product Information
NCBI GI #
NCBI GeneID
Molecular Weight
13,109 Da
NCBI Official Full Name
SNCA, partial
NCBI Official Synonym Full Names
synuclein, alpha (non A4 component of amyloid precursor)
NCBI Official Symbol
SNCA
NCBI Official Synonym Symbols
PD1; NACP; PARK1; PARK4
NCBI Protein Information
alpha-synuclein; non A-beta component of AD amyloid; synuclein alpha-140
UniProt Protein Name
Alpha-synuclein
UniProt Gene Name
SNCA
UniProt Synonym Gene Names
NACP; PARK1; NACP
UniProt Entry Name
SYUA_HUMAN
Similar Products
Product Notes
The SNCA snca (Catalog #AAA168221) is an Antibody produced from Rabbit and is intended for research purposes only. The product is available for immediate purchase. The SNCA Polyclonal Antibody reacts with Human, Mouse, Rat and may cross-react with other species as described in the data sheet. AAA Biotech's SNCA can be used in a range of immunoassay formats including, but not limited to, IHC (Immunohistochemistry), ELISA. Researchers should empirically determine the suitability of the SNCA snca for an application not listed in the data sheet. Researchers commonly develop new applications and it is an integral, important part of the investigative research process. It is sometimes possible for the material contained within the vial of "SNCA, Polyclonal Antibody" to become dispersed throughout the inside of the vial, particularly around the seal of said vial, during shipment and storage. We always suggest centrifuging these vials to consolidate all of the liquid away from the lid and to the bottom of the vial prior to opening. Please be advised that certain products may require dry ice for shipping and that, if this is the case, an additional dry ice fee may also be required.Precautions
All products in the AAA Biotech catalog are strictly for research-use only, and are absolutely not suitable for use in any sort of medical, therapeutic, prophylactic, in-vivo, or diagnostic capacity. By purchasing a product from AAA Biotech, you are explicitly certifying that said products will be properly tested and used in line with industry standard. AAA Biotech and its authorized distribution partners reserve the right to refuse to fulfill any order if we have any indication that a purchaser may be intending to use a product outside of our accepted criteria.Disclaimer
Though we do strive to guarantee the information represented in this datasheet, AAA Biotech cannot be held responsible for any oversights or imprecisions. AAA Biotech reserves the right to adjust any aspect of this datasheet at any time and without notice. It is the responsibility of the customer to inform AAA Biotech of any product performance issues observed or experienced within 30 days of receipt of said product. To see additional details on this or any of our other policies, please see our Terms & Conditions page.Item has been added to Shopping Cart
If you are ready to order, navigate to Shopping Cart and get ready to checkout.
