Rabbit SOCS5 Polyclonal Antibody | anti-SOCS5 antibody
SOCS5 Antibody
Gene Names
SOCS5; CIS6; CISH6; Cish5; SOCS-5
Applications
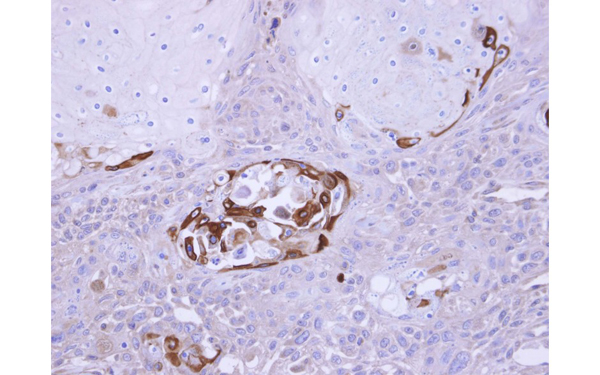
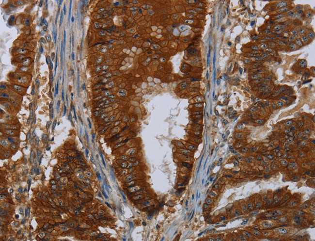
Western Blot, Immunohistochemistry
Purity
Antigen-Affinity Chromatography
Synonyms
SOCS5, Antibody; SOCS5 Antibody; Affinity Purified Rabbit Polyclonal SOCS5 Antibody; Polyclonal SOCS5 antibody; Anti-SOCS5 antibody; Cish5 antibody; KIAA0671 antibody; SOCS5; CIS-6 antibody; CIS6 antibody; SOCS5 antibody; SOCS 5 antibody; cytokine-inducible SH2-containing protein 5 antibody; CISH6 antibody; SOCS-5 antibody; SOCS 5; SOCS-5; anti-SOCS5 antibody
Host
Rabbit
Clonality
Polyclonal
Isotype
IgG
Purity/Purification
Antigen-Affinity Chromatography
Form/Format
Supplied as a concentrated soloution containing 1X PBS, 40% Glycerol (pH 7.0). 0.01% Thimerosal was added as a preservative.
Concentration
1 mg/ml (varies by lot)
Sequence Length
536
Applicable Applications for anti-SOCS5 antibody
WB (Western Blot), IHC (Immunohistochemistry)
Immunogen
SOCS5 antibody was raised in rabbit using a synthetic peptide contain a sequence corresponding to a region within amino acids 1 and 11 of SOCS5
Cross-Reactivity
Human
Preparation and Storage
Store at 4 degree C for short term storage. Aliquot and store at -20 degree C for long term storage. Avoid repeated freeze/thaw cycles.
Related Product Information for anti-SOCS5 antibody
The protein encoded by this gene contains a SH2 domain and a SOCS BOX domain. The protein thus belongs to the suppressor of cytokine signaling (SOCS) family, also known as STAT-induced STAT inhibitor (SSI) protein family. SOCS family members are known to be cytokine-inducible negative regulators of cytokine signaling. The specific function of this protein has not yet been determined.
Product Categories/Family for anti-SOCS5 antibody
NCBI and Uniprot Product Information
NCBI GI #
NCBI GeneID
NCBI Accession #
NCBI GenBank Nucleotide #
UniProt Accession #
Molecular Weight
61 kDa
NCBI Official Full Name
suppressor of cytokine signaling 5
NCBI Official Synonym Full Names
suppressor of cytokine signaling 5
NCBI Official Symbol
SOCS5
NCBI Official Synonym Symbols
CIS6; CISH6; Cish5; SOCS-5
NCBI Protein Information
suppressor of cytokine signaling 5
UniProt Protein Name
Suppressor of cytokine signaling 5
UniProt Gene Name
SOCS5
UniProt Synonym Gene Names
CIS6; CISH5; CISH6; KIAA0671; SOCS-5; CIS-6
UniProt Entry Name
SOCS5_HUMAN
Customer Reviews
Loading reviews...
Share Your Experience
Similar Products
Product Notes
The SOCS5 socs5 (Catalog #AAA225241) is an Antibody produced from Rabbit and is intended for research purposes only. The product is available for immediate purchase. AAA Biotech's SOCS5 can be used in a range of immunoassay formats including, but not limited to, WB (Western Blot), IHC (Immunohistochemistry). Researchers should empirically determine the suitability of the SOCS5 socs5 for an application not listed in the data sheet. Researchers commonly develop new applications and it is an integral, important part of the investigative research process. It is sometimes possible for the material contained within the vial of "SOCS5, Polyclonal Antibody" to become dispersed throughout the inside of the vial, particularly around the seal of said vial, during shipment and storage. We always suggest centrifuging these vials to consolidate all of the liquid away from the lid and to the bottom of the vial prior to opening. Please be advised that certain products may require dry ice for shipping and that, if this is the case, an additional dry ice fee may also be required.Precautions
All products in the AAA Biotech catalog are strictly for research-use only, and are absolutely not suitable for use in any sort of medical, therapeutic, prophylactic, in-vivo, or diagnostic capacity. By purchasing a product from AAA Biotech, you are explicitly certifying that said products will be properly tested and used in line with industry standard. AAA Biotech and its authorized distribution partners reserve the right to refuse to fulfill any order if we have any indication that a purchaser may be intending to use a product outside of our accepted criteria.Disclaimer
Though we do strive to guarantee the information represented in this datasheet, AAA Biotech cannot be held responsible for any oversights or imprecisions. AAA Biotech reserves the right to adjust any aspect of this datasheet at any time and without notice. It is the responsibility of the customer to inform AAA Biotech of any product performance issues observed or experienced within 30 days of receipt of said product. To see additional details on this or any of our other policies, please see our Terms & Conditions page.Item has been added to Shopping Cart
If you are ready to order, navigate to Shopping Cart and get ready to checkout.
