Rabbit SOD (Cu/Zn) Polyclonal Antibody | anti-SOD1 antibody
SOD (Cu/Zn) Antibody
WB (Western Blot)
(Western blot analysis of Human Cell line lysates showing detection of SOD1 protein using Rabbit Anti-SOD1 Polyclonal Antibody (SPC-116). Load: 15 ugprotein. Block: 1.5% BSA. Primary Antibody: Rabbit Anti-SOD1 Polyclonal Antibody (SPC-116) at 1:1000 for 2 hours at RT. Secondary Antibody: Donkey Anti-Rabbit IgG: HRP for 1 hour at RT.)
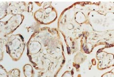
IHC (Immunohistochemistry)
(Immunohistochemistry analysis using Rabbit Anti-SOD1 Polyclonal Antibody (SPC-116). Tissue: Placenta. Species: Human. Primary Antibody: Rabbit Anti-SOD1 Polyclonal Antibody (SPC-116) at 1:100. Courtesy of: Courtesy of Joan Telfer, University of Glasgow.)
Scientific Background: Superoxide dismutase (SOD) is an endogenously produced intracellular enzyme present in almost every cell in the body (3). It works by catalyzing the dismutation of the superoxide radical O2" to O2 and H2O2, which are then metabolized to H2O and O2 by catalase and glutathione peroxidase (2,5). In general, SODs play a major role in antioxidant defense mechanisms (4). There are two main types of SOD in mammalian cells. One form (SOD1) contains Cu and Zn ions as a homodimer and exists in the cytoplasm. The two subunits of 16 kDa each are linked by two cysteines forming an intra-subunit disulphide bridge (3). The second form (SOD2) is a manganese containing enzyme and resides in the mitochondrial matrix. It is a homotetramer of 80 kDa. The third form (SOD3 or EC-SOD) is like SOD1 in that it contains Cu and Zn ions, however it is distinct in that it is a homotetramer, with a mass of 30 kDA and it exists only in the extracellular space(9). SOD3 can also be distinguished by its heparin-binding capacity (1).
NCBI and Uniprot Product Information
Customer Reviews
Loading reviews...
Share Your Experience
Similar Products
Product Notes
The SOD1 sod1 (Catalog #AAA103644) is an Antibody produced from Rabbit and is intended for research purposes only. The product is available for immediate purchase. The SOD (Cu/Zn) Antibody reacts with Human, Rat, Mouse, Bovine, Monkey, Coral, Dog, Hamster, Pig, Rabbit, Sheep, Xenopus and may cross-react with other species as described in the data sheet. AAA Biotech's SOD (Cu/Zn) can be used in a range of immunoassay formats including, but not limited to, IHC (Immunohistochemistry), ELISA, IP (Immunoprecipitation), WB (Western Blot). Researchers should empirically determine the suitability of the SOD1 sod1 for an application not listed in the data sheet. Researchers commonly develop new applications and it is an integral, important part of the investigative research process. It is sometimes possible for the material contained within the vial of "SOD (Cu/Zn), Polyclonal Antibody" to become dispersed throughout the inside of the vial, particularly around the seal of said vial, during shipment and storage. We always suggest centrifuging these vials to consolidate all of the liquid away from the lid and to the bottom of the vial prior to opening. Please be advised that certain products may require dry ice for shipping and that, if this is the case, an additional dry ice fee may also be required.Precautions
All products in the AAA Biotech catalog are strictly for research-use only, and are absolutely not suitable for use in any sort of medical, therapeutic, prophylactic, in-vivo, or diagnostic capacity. By purchasing a product from AAA Biotech, you are explicitly certifying that said products will be properly tested and used in line with industry standard. AAA Biotech and its authorized distribution partners reserve the right to refuse to fulfill any order if we have any indication that a purchaser may be intending to use a product outside of our accepted criteria.Disclaimer
Though we do strive to guarantee the information represented in this datasheet, AAA Biotech cannot be held responsible for any oversights or imprecisions. AAA Biotech reserves the right to adjust any aspect of this datasheet at any time and without notice. It is the responsibility of the customer to inform AAA Biotech of any product performance issues observed or experienced within 30 days of receipt of said product. To see additional details on this or any of our other policies, please see our Terms & Conditions page.Item has been added to Shopping Cart
If you are ready to order, navigate to Shopping Cart and get ready to checkout.
