Loading...

Skip to main content
Call us at +1-800-604-9114 for more information about our products or contact us online Need help? +1-800-604-9114 or contact us
product-image-AAA319868_WB13.png WB (Western Blot) (Western blot analysis of lysates from HEK293 cells, primary antibody was diluted at 1:1000, 4 degree over night)

Rabbit anti-Human, Mouse SOX13 Polyclonal Antibody | anti-SOX13 antibody

SOX13 Antibody

Average rating 0.0
No ratings yet
Gene Names
SOX13; ICA12; Sox-13
Reactivity
Human, Mouse
Applications
Immunohistochemistry, ELISA, Western Blot
Purity
The antibody was affinity-purified from rabbit antiserum by affinity-chromatography using epitope-specific immunogen.
Synonyms
SOX13, Antibody; SOX13 Antibody; SOX13; anti-SOX13 antibody
Ordering
Host
Rabbit
Reactivity
Human, Mouse
Clonality
Polyclonal
Isotype
Rabbit IgG
Specificity
This antibody detects endogenous levels of SOX13 at Human/Mouse
Purity/Purification
The antibody was affinity-purified from rabbit antiserum by affinity-chromatography using epitope-specific immunogen.
Form/Format
Liquid in PBS containing 50% glycerol, 0.5% BSA and 0.02% sodium azide.
Concentration
1mg/ml (varies by lot)
Applicable Applications for anti-SOX13 antibody
IHC (Immunohistochemistry), ELISA, WB (Western Blot)
Immunogen
Synthesized peptide derived from human SOX13 AA range: 561-611
Modification
Unmodified/Total
Preparation and Storage
Store at -20 degree C/1 year

WB (Western Blot)

(Western blot analysis of lysates from HEK293 cells, primary antibody was diluted at 1:1000, 4 degree over night)

product-image-AAA319868_WB13.png WB (Western Blot) (Western blot analysis of lysates from HEK293 cells, primary antibody was diluted at 1:1000, 4 degree over night)

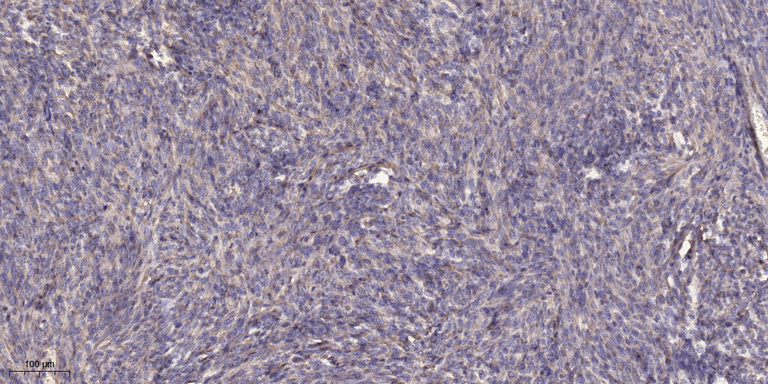
IHC (Immunohistochemistry)

(Immunohistochemical analysis of paraffin-embedded human Colon cancer. 1, Antibody was diluted at 1:200(4 degree overnight). 2, Tris-EDTA,pH9.0 was used for antigen retrieval. 3,Secondary antibody was diluted at 1:200(room temperature, 45min).)

product-image-AAA319868_IHC15.png IHC (Immunohistochemistry) (Immunohistochemical analysis of paraffin-embedded human Colon cancer. 1, Antibody was diluted at 1:200(4 degree overnight). 2, Tris-EDTA,pH9.0 was used for antigen retrieval. 3,Secondary antibody was diluted at 1:200(room temperature, 45min).)
Related Product Information for anti-SOX13 antibody
This gene encodes a member of the SOX (SRY-related HMG-box) family of transcription factors involved in the regulation of embryonic development and in the determination of cell fate. The encoded protein may act as a transcriptional regulator after forming a protein complex with other proteins. It has also been determined to be a type-1 diabetes autoantigen, also known as islet cell antibody 12. [provided by RefSeq, Jul 2008]
Product Categories/Family for anti-SOX13 antibody

NCBI and Uniprot Product Information

NCBI GI #
NCBI GeneID
NCBI Accession #
NCBI GenBank Nucleotide #
UniProt Accession #
Molecular Weight
69,228 Da
NCBI Official Full Name
transcription factor SOX-13
NCBI Official Synonym Full Names
SRY-box 13
NCBI Official Symbol
SOX13
NCBI Official Synonym Symbols
ICA12; Sox-13
NCBI Protein Information
transcription factor SOX-13
UniProt Protein Name
Transcription factor SOX-13
UniProt Gene Name
SOX13
UniProt Entry Name
SOX13_HUMAN

Customer Reviews

View All Reviews

Loading reviews...

Share Your Experience

Rating

Similar Products

Product Notes

The SOX13 sox13 (Catalog #AAA319868) is an Antibody produced from Rabbit and is intended for research purposes only. The product is available for immediate purchase. The SOX13 Antibody reacts with Human, Mouse and may cross-react with other species as described in the data sheet. AAA Biotech's SOX13 can be used in a range of immunoassay formats including, but not limited to, IHC (Immunohistochemistry), ELISA, WB (Western Blot). Researchers should empirically determine the suitability of the SOX13 sox13 for an application not listed in the data sheet. Researchers commonly develop new applications and it is an integral, important part of the investigative research process. It is sometimes possible for the material contained within the vial of "SOX13, Polyclonal Antibody" to become dispersed throughout the inside of the vial, particularly around the seal of said vial, during shipment and storage. We always suggest centrifuging these vials to consolidate all of the liquid away from the lid and to the bottom of the vial prior to opening. Please be advised that certain products may require dry ice for shipping and that, if this is the case, an additional dry ice fee may also be required.

Precautions

All products in the AAA Biotech catalog are strictly for research-use only, and are absolutely not suitable for use in any sort of medical, therapeutic, prophylactic, in-vivo, or diagnostic capacity. By purchasing a product from AAA Biotech, you are explicitly certifying that said products will be properly tested and used in line with industry standard. AAA Biotech and its authorized distribution partners reserve the right to refuse to fulfill any order if we have any indication that a purchaser may be intending to use a product outside of our accepted criteria.

Disclaimer

Though we do strive to guarantee the information represented in this datasheet, AAA Biotech cannot be held responsible for any oversights or imprecisions. AAA Biotech reserves the right to adjust any aspect of this datasheet at any time and without notice. It is the responsibility of the customer to inform AAA Biotech of any product performance issues observed or experienced within 30 days of receipt of said product. To see additional details on this or any of our other policies, please see our Terms & Conditions page.

Item has been added to Shopping Cart

If you are ready to order, navigate to Shopping Cart and get ready to checkout.

Submit a Question

Please complete the form below and a representative will contact you as soon as possible.

Request more Information

Please complete the form below and a representative will contact you as soon as possible.

Request a Manual

Please complete the form below and a representative will contact you as soon as possible.

Request a Quote

Please complete the form below and a representative will contact you as soon as possible.