Rabbit SOX17 Polyclonal Antibody | anti-SOX17 antibody
SOX17 antibody - middle region
Predicted Species Reactivity: Human, Mouse, Rat, Dog, Guinea Pig
Predicted Species Reactivity: Human, Mouse, Rat, Dog, Guinea Pig
WB (Western Blot)
(WB Suggested Anti-SOX17 Antibody Titration: 0.2-1 ug/mlELISA Titer: 1:312500Positive Control: Hela cell lysate)
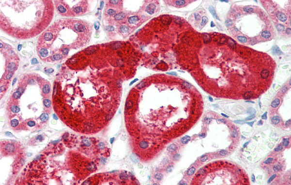
IHC (Immunohiostchemistry)
(Rabbit Anti-SOX17 AntibodyParaffin Embedded Tissue: Human KidneyAntibody Concentration: 5 ug/ml)
FCM/FACS (Flow Cytometry)
(Researcher: Dr. Ade Kallas, University of tartuApplication: Flow CytometrySpecies + Tissue/Cell type: A. Human H9 cells and B. Human H9 cells+Na+ButyratePrimary antibody dilution: 2ug+1x106 cellsSecondary antibody: Chicken anti rabbit-Alexa Fluor 488Secondary antibody dilution: 1:1000)
Target Description: The SOX17 gene encodes a member of the SOX (SRY-related HMG-box) family of transcription factors involved in the regulation of embryonic development and in the determination of the cell fate. The encoded protein may act as a transcriptional regulator after forming a protein complex with other proteins. This gene encodes a member of the SOX (SRY-related HMG-box) family of transcription factors involved in the regulation of embryonic development and in the determination of the cell fate. The encoded protein may act as a transcriptional regulator after forming a protein complex with other proteins.
NCBI and Uniprot Product Information
Customer Reviews
Loading reviews...
Share Your Experience
Similar Products
Product Notes
The SOX17 sox17 (Catalog #AAA198502) is an Antibody produced from Rabbit and is intended for research purposes only. The product is available for immediate purchase. The SOX17 antibody - middle region reacts with Tested Species Reactivity: Human Predicted Species Reactivity: Human, Mouse, Rat, Dog, Guinea Pig and may cross-react with other species as described in the data sheet. AAA Biotech's SOX17 can be used in a range of immunoassay formats including, but not limited to, FCM/FACS (Flow Cytometry), IHC (Immunohistochemistry), WB (Western Blot). Researchers should empirically determine the suitability of the SOX17 sox17 for an application not listed in the data sheet. Researchers commonly develop new applications and it is an integral, important part of the investigative research process. The amino acid sequence is listed below: Synthetic peptide located within the following region: RTEFEQYLHF VCKPEMGLPY QGHDSGVNLP DSHGAISSVV SDASSAVYYC. It is sometimes possible for the material contained within the vial of "SOX17, Polyclonal Antibody" to become dispersed throughout the inside of the vial, particularly around the seal of said vial, during shipment and storage. We always suggest centrifuging these vials to consolidate all of the liquid away from the lid and to the bottom of the vial prior to opening. Please be advised that certain products may require dry ice for shipping and that, if this is the case, an additional dry ice fee may also be required.Precautions
All products in the AAA Biotech catalog are strictly for research-use only, and are absolutely not suitable for use in any sort of medical, therapeutic, prophylactic, in-vivo, or diagnostic capacity. By purchasing a product from AAA Biotech, you are explicitly certifying that said products will be properly tested and used in line with industry standard. AAA Biotech and its authorized distribution partners reserve the right to refuse to fulfill any order if we have any indication that a purchaser may be intending to use a product outside of our accepted criteria.Disclaimer
Though we do strive to guarantee the information represented in this datasheet, AAA Biotech cannot be held responsible for any oversights or imprecisions. AAA Biotech reserves the right to adjust any aspect of this datasheet at any time and without notice. It is the responsibility of the customer to inform AAA Biotech of any product performance issues observed or experienced within 30 days of receipt of said product. To see additional details on this or any of our other policies, please see our Terms & Conditions page.Item has been added to Shopping Cart
If you are ready to order, navigate to Shopping Cart and get ready to checkout.
