Rabbit SP3 Polyclonal Antibody | anti-SP3 antibody
SP3 antibody - middle region
WB (Western Blot)
(WB Suggested Anti-SP3 Antibody Titration: 0.2-1 ug/mlELISA Titer: 1:312500Positive Control: Human Muscle)
WB (Western Blot)
(Host: MouseTarget Name: SP3Sample Tissue: Mouse Skeletal MuscleAntibody Dilution: 1ug/ml)
WB (Western Blot)
(Sample Type: Human U2OSSample Type: Human nuclear cell extracts (30ug)Primary Dilution: 1:1000Secondary Antibody: anti-Rabbit HRPSecondary Dilution: 1:20000Image Submitted By: Katarina LuciakovaCancer Research Institute See Customer Feedback tab for detailed information.SP3 is supported by BioGPS gene expression data to be expressed in U2OS)
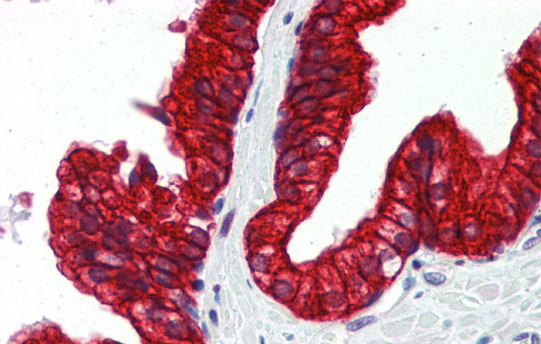
IHC (Immunohistochemistry)
(Immunohistochemistry with Human Prostate lysate tissue at an antibody concentration of 5.0ug/ml using anti-SP3 antibody)
Target Description: SP3 is a transcriptional factor that can act as an activator or repressor, probably in a isoform-specific manner. SP3 binds to GT and GC boxes promoters elements.This gene belongs to a family of Sp1 related genes that encode transcription factors that regulate transcription by binding to consensus GC- and GT-box regulatory elements in target genes. This protein contains a zinc finger DNA-binding domain and several transactivation domains, and has been reported to function as a bifunctional transcription factor that either stimulates or represses the transcription of numerous genes. Transcript variants encoding different isoforms have been described for this gene, and one has been reported to initiate translation from a non-AUG (AUA) start codon. Additional isoforms, resulting from the use of alternate downstream translation initiation sites, have also been noted.
NCBI and Uniprot Product Information
Customer Reviews
Loading reviews...
Share Your Experience
Similar Products
Product Notes
The SP3 sp3 (Catalog #AAA197568) is an Antibody produced from Rabbit and is intended for research purposes only. The product is available for immediate purchase. The SP3 antibody - middle region reacts with Cow, Dog, Guinea Pig, Horse, Human, Mouse, Rabbit, Rat and may cross-react with other species as described in the data sheet. AAA Biotech's SP3 can be used in a range of immunoassay formats including, but not limited to, WB (Western Blot), IHC (Immunohistochemistry). Researchers should empirically determine the suitability of the SP3 sp3 for an application not listed in the data sheet. Researchers commonly develop new applications and it is an integral, important part of the investigative research process. The amino acid sequence is listed below: Synthetic peptide located within the following region: TAGINADGHL INTGQAMDSS DNSERTGERV SPDINETNTD TDLFVPTSSS. It is sometimes possible for the material contained within the vial of "SP3, Polyclonal Antibody" to become dispersed throughout the inside of the vial, particularly around the seal of said vial, during shipment and storage. We always suggest centrifuging these vials to consolidate all of the liquid away from the lid and to the bottom of the vial prior to opening. Please be advised that certain products may require dry ice for shipping and that, if this is the case, an additional dry ice fee may also be required.Precautions
All products in the AAA Biotech catalog are strictly for research-use only, and are absolutely not suitable for use in any sort of medical, therapeutic, prophylactic, in-vivo, or diagnostic capacity. By purchasing a product from AAA Biotech, you are explicitly certifying that said products will be properly tested and used in line with industry standard. AAA Biotech and its authorized distribution partners reserve the right to refuse to fulfill any order if we have any indication that a purchaser may be intending to use a product outside of our accepted criteria.Disclaimer
Though we do strive to guarantee the information represented in this datasheet, AAA Biotech cannot be held responsible for any oversights or imprecisions. AAA Biotech reserves the right to adjust any aspect of this datasheet at any time and without notice. It is the responsibility of the customer to inform AAA Biotech of any product performance issues observed or experienced within 30 days of receipt of said product. To see additional details on this or any of our other policies, please see our Terms & Conditions page.Item has been added to Shopping Cart
If you are ready to order, navigate to Shopping Cart and get ready to checkout.
